Foram encontradas 55 questões.
De acordo com os estudiosos da temática “Direitos Humanos”, o problema da criminalidade praticada por adolescentes e que impacta a segurança pública da sociedade brasileira pode ser solucionado com a adoção da seguinte medida:
Provas
Questão presente nas seguintes provas
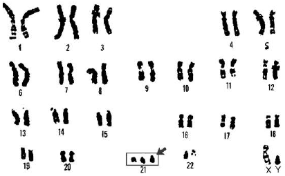
Analise o cariótipo a seguir:

Pela análise, conclui-se que se trata de
Provas
Questão presente nas seguintes provas
El origen de algunas palabras de nuestro léxico popular
Ensalzaré con esmero el benemérito “fiacún”. Yo, cronista meditabundo y aburrido, dedicaré todas mis energías a hacer el elogio del “fiacún”, a establecer el origen de la “fiaca”, y a dejar determinados de modo matemático y preciso los alcances del término […] No hay porteño, desde la Boca a Núñez, y desde Núñez a Corrales, que no haya dicho alguna vez:
- Hoy estoy con “fiaca”.
O que se haya sentado en el escritorio de su oficina y mirando al jefe, no dijera:
- ¡Tengo una “fiaca”!
[…]
De ello deducirán seguramente mis asiduos y entusiastas lectores que la “fiaca” expresa la intención de “tirarse a muerto”, pero ello es un grave error.
Confundir la “fiaca” con el acto de tirarse a muerto es lo mismo que confundir un asno con una cebra o un burro con un caballo. Exactamente lo mismo.
[…]
Y, hoy, el “fiacún” es el hombre que momentáneamente no tiene ganas de trabajar […]
Aclaración. No debe confundirse este término con el de “tirarse a muerto”, pues tirarse a muerto supone premeditación de no hacer algo, mientras que la “fiaca” excluye toda premeditación, elemento constituyente de la alevosía según los juristas. De modo que el “fiacún” al negarse a trabajar no obra con premeditación, sino instintivamente, lo cual lo hace digno de todo respeto.
ARLT, Roberto. Aguafuertes porteñas. Buenos Aires: E. Santiago
Rueda Editor, 2005, p. 47-49. (Fragmento)
De acuerdo a la crónica, fiaca es lo mismo que
Provas
Questão presente nas seguintes provas
Figura 1

http://soumaisenem.com.br/sites/default/files/guerra_fria.gif
Figura 2

http://interna.coceducacao.com.br/ebook/content/pictures/2002-11-171-04-i003p.gif
As figuras 1 e 2 refletem dois contextos geopolíticos mundiais: o período da Guerra Fria e a nova ordem mundial, também conhecida como multipolar. Esses ordenamentos mundiais podem ser regionalizados de duas formas e com os seguintes critérios:
Provas
Questão presente nas seguintes provas
LIFE COACHING - YOU KNOW WHAT YOUR PROBLEM IS?
Derek Workman
These days it seems that there's always someone there to pick you up, help you out and give your life a new start.
You can find someone to choose your clothes for you, or sort out your wardrobe, if you already have enough; there's someone to arrange your dinner parties and someone else who will look after your diary, or if life just seems to be too much trouble to do anything at all, you can find a psychotherapist to help you deal with your problems.
Fine as it is to have all this help at hand, if we look closely at ourselves, we can begin to see that we don't actually need all these people to look after us. To help us do this is the role of the Life Coach - someone who won't judge us, who won't tell us what to do and is there to support us in those nervous life decisions that we all have to make.
Mike Lewis was a self-confessed computer geek in his hometown of Southampton, England, but rose high up the corporate ladder in California. He now lives in a small coastal town in Spain where he acts as a Life Coach to clients in Europe, America, India and Australia, chatting with them on a regular basis by telephone. But why should we need anybody to help us along?
A life coach is basically a support system for people who want to make some change in their life. The significant thing about personal development is this: there's relatively few people that I've ever met that don't want to get on in life, but it's hard to get on if you try and find all this stimulus from the outside. The difference between coaching and other forms of personal development is primarily this: with life coaching, nobody tells you what to do, nobody tells you who you should be, nobody tries to change you 'cause we're all perfect as we are! What a life coach does is encourage you to find the answers to all life's problems from within, not from without.
Fonte: Revista Speak UP, edição 201, fev. 2004.
The main purpose of Life Coach is to
Provas
Questão presente nas seguintes provas
Fábio e Vitória conversam. A frequência da voz de Fábio é a metade do valor da frequência da voz de Vitória.
Em relação a essa situação, é CORRETO afirmar que as duas vozes têm
Provas
Questão presente nas seguintes provas
SEM DÚVIDAS?
Rosely Sayão
Um professor universitário na área da educação disse uma frase curta que pode nos fazer refletir muito: "A possibilidade de buscar qualquer informação no Google acabou com a dúvida.”.
Realmente, conviver com a dúvida tem sido cada vez mais difícil. Quanto mais se amplia o leque de escolhas em qualquer atividade da vida, menos dúvidas queremos ter. Queremos fazer a escolha certa, para a qual não restaria dúvida alguma. Não mais nos contentamos com a melhor escolha possível ou com uma escolha suficientemente boa. Difícil, senão impossível, viver dessa maneira, não é verdade?
Esse estilo de viver complica bastante a escolha do curso universitário, tarefa na qual muitos jovens que frequentam o ensino médio estão implicados. Criamos uma série de mitos em torno da escolha da profissão que os jovens devem fazer. "É uma escolha muito séria para ser feita nessa idade" ou "Eles não têm maturidade para escolher o que farão no resto da vida" são frases que expressam algumas de nossas ideias a esse respeito.
Esquecemos que nós fizemos tal escolha com essa mesma idade? E parece que não foi uma tarefa tão complicada como temos tentado fazer com que seja na atualidade. Será porque as escolhas eram mais restritas, será que não tínhamos tanto compromisso com o êxito, com a certeza? Como as escolhas eram feitas?
Muitas escolhas profissionais foram herdadas. Conhecemos a tradição de os filhos continuarem o trabalho dos pais. Conhecemos também pessoas que fizeram escolhas por oposição aos pais. Para muitos, a escolha de herança positiva ou negativa dos pais deu certo; para outros, não deu. Mas seria diferente se fosse outro o critério usado?
Outras escolhas eram feitas com base em razões subjetivas. Uma jornalista me disse que desde criança quis fazer jornalismo, talvez por influência paterna. Não, o pai dela não era jornalista e sim leitor voraz de jornal. Isso pode apontar para escolhas feitas por influências inconscientes para as quais encontramos razões objetivas mais tarde.
De qualquer maneira, a família do jovem era a maior fonte de influências, para o bem ou para o mal, na hora de tal decisão. Hoje, a escola influencia mais do que a família. É que, pouco a pouco, a família passou a entender que deveria dar mais liberdade aos filhos também na hora de ele fazer a escolha do vestibular. Mas, para que o jovem pudesse desfrutar de tal "liberdade", ele precisaria de um apoio. E quem daria tal apoio?
A escola, é claro. Difícil, hoje, encontrar uma instituição escolar que não ofereça um trabalho de orientação profissional. E há ofertas para todo o tipo de gosto ou anseio. Aliás, tal trabalho passou a ser mais um dos itens que os pais consideram na hora de escolher a escola para o filho.
Boa parte desses trabalhos parte de um princípio: o de que a oferta de informações, de mercado ou de conhecimentos técnicos ao alunado tem o potencial de resolver a questão da angústia do jovem no momento da escolha. Os altos índices de desistência e de troca de curso ainda no primeiro ano da universidade, no entanto, contradizem tal conceito.
Talvez seja necessário que famílias e escolas revejam a parte que lhes cabe nesse processo.
Disponível em: http://www1.folha.uol.com.br/colunas/roselysayao/
2013/09/1335977-sem-duvidas.shtml (Adaptado)
Percebe-se a interlocução entre a locutora e os locutários em:
Provas
Questão presente nas seguintes provas
É comum as pessoas tomarem café quente aos golinhos, para não queimarem a boca. Uma quantidade maior de café pode levar a pessoa a ter queimaduras que podem levar dias para deixarem de ser sentidas.
Comparando grandes e pequenas quantidades de café, podemos chegar à conclusão que ambas têm
Provas
Questão presente nas seguintes provas
Antes de realizar um experimento usando uma vela acesa, lentes e espelhos, Gabriel imaginou as imagens da chama que poderia obter usando um pedaço de papel. Ele imaginou que poderia obter:
I - uma imagem maior e invertida (de cabeça para baixo) da chama, se usasse um espelho côncavo.
II - uma imagem maior e não invertida da chama, se usasse uma lente divergente.
III - uma imagem menor e invertida (de cabeça para baixo) da chama, se usasse uma lente convergente.
IV - uma imagem menor e invertida (de cabeça para baixo) da chama, se usasse um espelho côncavo.
Estão CORRETAS apenas as imagens descritas em:
Provas
Questão presente nas seguintes provas
2453751
Ano: 2013
Disciplina: Literatura Brasileira e Estrangeira
Banca: FUMARC
Orgão: CBM-MG
Disciplina: Literatura Brasileira e Estrangeira
Banca: FUMARC
Orgão: CBM-MG
Provas:
O texto NÃO exemplifica corretamente o estilo de época em:
Provas
Questão presente nas seguintes provas
Cadernos
Caderno Container