Foram encontradas 60 questões.
Sobre os enxertos arteriais na cirurgia de revascularização miocárdica marque a opção correta.
Provas
Paciente de 50 anos apresenta quadro de dor torácica súbita ao chegar no pronto socorro e apresenta elevação de enzimas e Supra do ST de V1 a V6. Apresentou, no 5º dia pós-infarto, piora clínica significativa com congestão pulmonar e sopro holossistólico audível em todo o precórdio. Marque a opção que corresponde ao diagnóstico mais provável.
Provas
Nos pacientes com afecções reumáticas valvares é correto afirmar que
Provas
Com base nas diretrizes brasileiras das Valvopatias, é correto afirmar que
Provas
Sobre a Persistência do Canal Arterial (PCA) é correto afirmar que
Provas
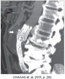
Qual o tipo de endoleak se observa na imagem abaixo?

Provas
A síndrome do marcapasso é uma afecção que leva à dispneia, palpitações e baixo débito cardíaco. Ela ocorre devido a qual mecanismo?
Provas
Quanto aos procedimentos híbridos do arco aórtico (debranching), marque a opção correta.
Provas
Um paciente apresenta pressão arterial média abaixo de 60 mmHg, com lactato aumentado. Caso este paciente tenha um choque cardiogênico, como encontraríamos seus parâmetros hemodinâmicos?
Provas
Observe a figura esquemática abaixo e nomeie as estruturas da máquina de circulação extracorpórea. Em seguida, marque a opção correta.

Provas
Caderno Container