Foram encontradas 1.260 questões.
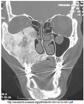
Paciente, sexo masculino, 32 anos, apresenta abaulamento progressivo e dor no terço médio da hemiface direita há quatro anos. Realizou tomografia computadorizada.

Marque a opção correta sobre a lesão apresentada na imagem acima.
Provas
Em radioproteção, qual é a denominação dada ao princípio básico que determina que “nenhuma prática radiológica deve ser autorizada a menos que produza suficiente benefício para o indivíduo exposto ou para a sociedade, de modo a compensar o detrimento que possa ser causado”?
Provas
Durante um exame de mamografia em pacientes portadoras de implante de prótese de silicone, a técnica de Eklund é usada para
Provas
Sobre os tumores hepáticos, marque a opção correta.
Provas
Sobre o aspecto ecográfico normal dos órgãos abdominais no recém-nascido normal, nascido a termo, é correto afirmar que
Provas
Analise a imagem a seguir.

A lesão isquêmico-hemorrágica presente nessa imagem foi determinada por injúria de qual artéria?
Provas
Sobre a trombose da veia porta, é correto afirmar que
Provas
Sobre a imagem de ressonância magnética apresentada abaixo, assinale a afirmativa correta:

Provas
A descrição tomográfica de “coleção extra-axial intracraniana em formato de crescente e difusamente hipodensa” em um estudo de crânio significa
Provas
Observe a imagem abaixo.

A atrofia da região assinalada na imagem acima, é encontrada em qual tipo de demência?
Provas
Caderno Container