Foram encontradas 60 questões.
Paciente, sexo masculino, 37 anos, com quadro agudo de dor intensa, unilateral referida em ombro e cintura escapular, seguida após alguns dias de paresia e atrofia de musculatura inervada por C6, C7 e C8, é compatível com quadro de:
Provas
Qual é o principal exame para diagnosticar a miastenia gravis?
Provas
Marque a opção que descreve corretamente a fisiopatologia da síndrome de Guillain-Barré.
Provas
A síndrome de Wallenberg é causada por lesão de qual área do tronco encefálico?
Provas
Marque a opção que apresenta corretamente as principais características da síndrome de Miller-Fisher, que são consideradas uma variante rara da síndrome de Guillain-Barré.
Provas
Paciente, sexo feminino, 30 anos, com histórico de migrânea, apresenta perda súbita de visão em um olho. O exame neurológico revela midríase e hiperreatividade pupilar. Qual é o diagnóstico?
Provas
Considerando a encefalopatia posterior reversível (PRES) e a síndrome da vasoconstrição cerebral reversível (RCVS), marque a opção correta.
Provas
Em relação ao tratamento da demência de Alzheimer, assinale a opção correta.
Provas
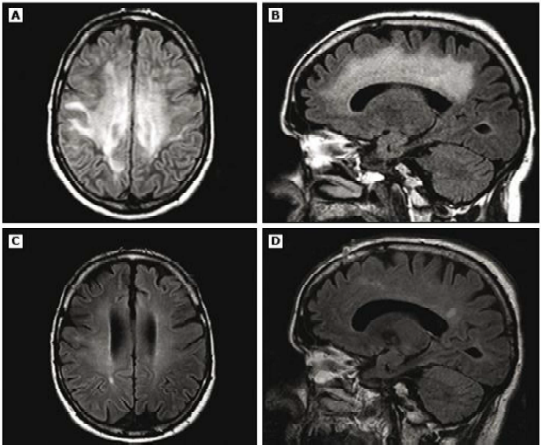
Paciente do sexo feminino, 22 anos, com quadro de cefaleia, mal-estar, confusão mental, febre não termometrada, meningismo, ataxia, afasia, nistagmo e retenção urinária.

Com base no caso clínico e nas imagens apresentadas, qual o provável diagnóstico?
Provas
Marque a opção correta que apresenta um efeito colateral comum dos antiparkinsonianos que atuam como agonistas da dopamina.
Provas
Caderno Container