Foram encontradas 60 questões.
As interações magnéticas entre núcleos de hidrogênio nos tecidos biológicos, são conhecidas como interação
Provas
Questão presente nas seguintes provas
No protocolo de tomografia de crânio, são obtidos cortes de
Provas
Questão presente nas seguintes provas
Entre as incidências abaixo, qual é a mais indicada para lesões nas costelas posteriores direitas?
Provas
Questão presente nas seguintes provas
Sobre o câncer de mama, qual das afirmações abaixo é incorreta?
Provas
Questão presente nas seguintes provas
Em uma incidência perfil de coluna cervical, orienta-se realizar uma distância aproximada de 150 cm a 180 cm entre o tubo de raios X e o receptor de imagem com o intuito de
Provas
Questão presente nas seguintes provas
Qual é a alteração mínima no mAs necessária para uma radiografia subexposta ou superexposta feita com técnicas de ajustes manuais nos exames convencionais?
Provas
Questão presente nas seguintes provas
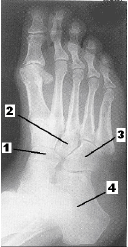
Após analisar atentamente a figura abaixo, responda à questão.

A imagem acima corresponde a uma incidência em
Provas
Questão presente nas seguintes provas
Que nome se dá à porção superior do esterno?
Provas
Questão presente nas seguintes provas
No que se refere aos tipos de formação óssea, quando o osso substitui uma cartilagem, a ossificação é chamada de
Provas
Questão presente nas seguintes provas
Qual das alternativas não apresenta uma via de administração dos meios de contraste em tomografia de abdome?
Provas
Questão presente nas seguintes provas
Cadernos
Caderno Container