Foram encontradas 360 questões.
Um paciente de 5 anos de idade apresenta histórico de episódios recorrentes de sibilância, recebendo tratamentos frequentes com corticoide oral e inalações com beta-agonista. É atendido em consulta de rotina. No momento, está assintomático, com ausculta pulmonar normal, FC de 80 bpm, FR de 20 irpm e saturação de oxigênio de 98% (ar ambiente).
Com relação a esse caso clínico e aos conhecimentos médicos correlatos, julgue os itens a seguir.
Provas
Um paciente de 5 anos de idade apresenta histórico de episódios recorrentes de sibilância, recebendo tratamentos frequentes com corticoide oral e inalações com beta-agonista. É atendido em consulta de rotina. No momento, está assintomático, com ausculta pulmonar normal, FC de 80 bpm, FR de 20 irpm e saturação de oxigênio de 98% (ar ambiente).
Com relação a esse caso clínico e aos conhecimentos médicos correlatos, julgue os itens a seguir.
Provas
Um paciente de 5 anos de idade apresenta histórico de episódios recorrentes de sibilância, recebendo tratamentos frequentes com corticoide oral e inalações com beta-agonista. É atendido em consulta de rotina. No momento, está assintomático, com ausculta pulmonar normal, FC de 80 bpm, FR de 20 irpm e saturação de oxigênio de 98% (ar ambiente).
Com relação a esse caso clínico e aos conhecimentos médicos correlatos, julgue os itens a seguir.
Provas
Um paciente de 5 anos de idade apresenta histórico de episódios recorrentes de sibilância, recebendo tratamentos frequentes com corticoide oral e inalações com beta-agonista. É atendido em consulta de rotina. No momento, está assintomático, com ausculta pulmonar normal, FC de 80 bpm, FR de 20 irpm e saturação de oxigênio de 98% (ar ambiente).
Com relação a esse caso clínico e aos conhecimentos médicos correlatos, julgue os itens a seguir.
Provas
Uma paciente de 6 anos de idade, com calendário vacinal completo, apresentou ferimento cortocontuso em fronte por queda, com exposição do osso frontal, mas sem sinal de fratura deste, há uma hora. As radiografias de crânio foram normais. A mãe relata que a criança perdeu a consciência e acordou 10 minutos após a queda. O exame neurológico, no momento da admissão, foi normal.
A respeito desse caso clínico, julgue os itens a seguir.
Provas
Uma paciente de 6 anos de idade, com calendário vacinal completo, apresentou ferimento cortocontuso em fronte por queda, com exposição do osso frontal, mas sem sinal de fratura deste, há uma hora. As radiografias de crânio foram normais. A mãe relata que a criança perdeu a consciência e acordou 10 minutos após a queda. O exame neurológico, no momento da admissão, foi normal.
A respeito desse caso clínico, julgue os itens a seguir.
Provas
Uma paciente de 6 anos de idade, com calendário vacinal completo, apresentou ferimento cortocontuso em fronte por queda, com exposição do osso frontal, mas sem sinal de fratura deste, há uma hora. As radiografias de crânio foram normais. A mãe relata que a criança perdeu a consciência e acordou 10 minutos após a queda. O exame neurológico, no momento da admissão, foi normal.
A respeito desse caso clínico, julgue os itens a seguir.
Provas
Uma paciente de 6 anos de idade, com calendário vacinal completo, apresentou ferimento cortocontuso em fronte por queda, com exposição do osso frontal, mas sem sinal de fratura deste, há uma hora. As radiografias de crânio foram normais. A mãe relata que a criança perdeu a consciência e acordou 10 minutos após a queda. O exame neurológico, no momento da admissão, foi normal.
A respeito desse caso clínico, julgue os itens a seguir.
Provas

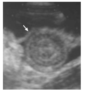
Uma criança de 9 meses de vida é levada ao pronto atendimento em razão de quadro de dor abdominal e fezes misturadas com sangue. Ao exame físico, nota-se massa abdominal palpável. É realizada ultrassonografia abdominal, representada na imagem. A criança apresenta FC= 110 bpm, FR = 25 irpm e saturação de oxigênio = 98% (ar ambiente).
Acerca desse caso clínico e dos conhecimentos médicos correlatos, julgue os itens a seguir.
Provas

Uma criança de 9 meses de vida é levada ao pronto atendimento em razão de quadro de dor abdominal e fezes misturadas com sangue. Ao exame físico, nota-se massa abdominal palpável. É realizada ultrassonografia abdominal, representada na imagem. A criança apresenta FC= 110 bpm, FR = 25 irpm e saturação de oxigênio = 98% (ar ambiente).
Acerca desse caso clínico e dos conhecimentos médicos correlatos, julgue os itens a seguir.
Provas
Caderno Container