Foram encontradas 60 questões.
Na abordagem cirúrgica do cisto tireoglosso em crianças, o procedimento mais recomendado atualmente é a cirurgia de Sistrunk, descrita inicialmente em 1928, que consiste na
Provas
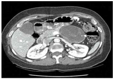
Mulher de 52 anos procura atendimento médico com queixa de dor abdominal há 10 meses, de fraca intensidade, sem relação com alimentação e ausência de alteração do hábito intestinal. Na investigação de seu quadro, solicitou-se tomografia abdominal, demonstrada a seguir (lesão apontada pela seta). Realizada punção aspirativa com agulha fina, cujo resultado demonstrou aspirado rico em mucina, níveis elevados de CEA e estroma similar ao do ovário.

O diagnóstico é de
Provas
Com relação aos sistemas atuais de pontuação para se avaliar a gravidade da pancreatite aguda, pode-se afirmar que
Provas
A tríade clínica de Borchardt é encontrada na seguinte afecção:
Provas
O papel do H. pylori na patogênese da doença ulcerosa péptica tem sido estudado ao longo das últimas décadas. Tendo em vista as recentes evidências desta associação, pode-se afirmar que
Provas
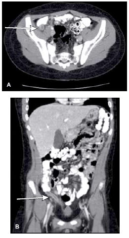
Homem de 19 anos deu entrada na emergência com sintomas e sinais de abdome agudo. A tomografia computadorizada do abdome está demonstrada a seguir.

Com relação a este caso, pode-se afirmar que,
Provas
Homem, 72 anos, dá entrada em serviço de urgência com queixa de fezes escurecidas (aspecto de borra de café) há cerca de 6 horas e apresentou um episódio de vômito com sangue na admissão, associado à fraqueza e tontura. Ao exame físico: descorado +, afebril, anictérico. PA: 110 x 60, FC: 100 bpm. Iniciadas medidas de estabilização e solicitada uma endoscopia digestiva alta que demonstrou tratar-se de úlcera péptica pré-pilórica com sangramento ativo em jato. A classificação da lesão sangrante, de acordo com a classificação de Forrest, é:
Provas
Mulher, 24 anos, sofreu um acidente numa competição de esqui. Dá entrada na emergência consciente, apresentando paraplegia flácida, abolição dos reflexos profundos dos membros inferiores. PA = 115 x 75 mmHg; P = 88 bpm; perfusão < 2 seg.; Sat. O2 = 96%; FR = 10 irpm; pele sem alterações; constata-se paralisia completa dos membros, e perda de todas as modalidades de sensibilidade. O diagnóstico da paciente é choque
Provas
Homem, 21 anos, vítima de queda de skate, deu entrada na emergência, conduzido por amigos. Estava consciente e orientado logo após a queda. Exame físico na admissão: hematoma sub-galeal na região têmporo-parietal direita. Após 2 horas do evento, o paciente apresentou rebaixamento do nível de consciência para Escala de Coma de Glasgow = 9. Esse quadro é decorrente de
Provas
Criança de 10 anos sofreu queda de bicicleta e dá entrada na emergência consciente, com trauma extenso de face, apresentando sangramento na cavidade oral e nasal. O exame do tórax, abdome, pelve e extremidades não evidenciou lesões; sinais vitais estáveis. Escala de Coma de Glasgow=15. A equipe de plantonistas providenciou atendimento inicial à vítima politraumatizada, mas o paciente apresentou parada respiratória súbita. Neste momento, a conduta imediata a ser realizada deverá ser
Provas
Caderno Container