Foram encontradas 60 questões.
Vários estudos estão sendo realizados para nefropatia diabética. Na prática clínica, atualmente, têm sido utilizados vitamina D para manter os níveis normais e inibidores da ECA (IECA ou BRA). Qual das drogas a seguir utilizadas para diminuir a albuminúria é classificada como inibidor da proteína quinase C?
Provas
Vários estudos têm demonstrado a relação da microbiota intestinal com o rim. Inúmeros metabólitos da microbiota intestinal são capazes de afetar o rim. Na Doença Renal Crônica (DRC) e na Doença Renal Estágio Terminal (DRET), quais são os fatores da microbiota envolvidos?
Provas
Paciente com fraqueza muscular, parestesias, tetania, avidez por sal, espasmos, dor abdominal, vertigem, artralgia, polidipsia, alcalose metabólica hipoclorêmica, hipocalemia, hipomagnesemia com alteração na proteína NCCT ou TSC (SLC12A3). O diagnóstico mais provável é
Provas
Assinale a alternativa correta considerando a fisiopatogênese da síndrome hepatorrenal.
Provas
Paciente do sexo masculino, 40 anos de idade, asiático, apresenta hematúria, proteinúria e síndrome nefrótica resistente à corticoterapia. O anatomopatológico está representado nas figuras a seguir.

O provável diagnóstico é
Provas
Em relação ao transplante renal, a complicação mais frequente relatada na literatura é
Provas
Em relação à glomerulopatia do C3, é correto afirmar:
Provas
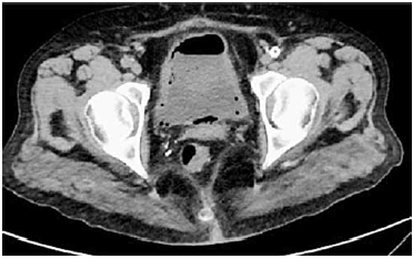
Paciente diabética, portadora de IRC em programa de diálise, apresenta ITU de repetição por Escherichia Coli.

Na CT de bexiga sem contraste, foi encontrado o seguinte diagnóstico:
Provas
Nas recomendações do KDIGO para estadiamento da lesão renal aguda em relação à creatinina sérica (sCr), o estágio 2 é definido por
Provas
Em relação ao rim no envelhecimento, é correto afirmar:
Provas
Caderno Container