Foram encontradas 50 questões.
Leia o Quadro Clínico 1 para responder à questão.
Quadro Clínico 1
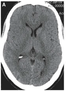
Paciente do sexo masculino, 60 anos, admitido em departamento de emergência com quadro insidioso e progressivo de redução de força e sensibilidade no hemicorpo esquerdo há mais ou menos 2,5 horas. Tem antecedente de hipertensão arterial e dislipidemia há mais de 20 anos, em tratamento irregular com losartam, hidroclorotiazida e atorvastatina. Ex-tabagista. Ao exame físico, paciente com abertura ocular a estímulos verbais, contactuante e obedecendo comandos simples. Apresenta hemiparesia e hipoestesia em hemicorpo esquerdo. Ritmo cardíaco regular, frequência cardíaca 90bpm, pressão arterial em membros superiores e inferiores (deitado) 190x100mmHg, frequência respiratória 19ipm, SpO2 88%. Tomografia de crânio evidenciou o resultado a seguir.

A conduta, nesse momento, em relação à pressão arterial do paciente relatado no Quadro Clínico 1 é
Provas
Leia o Quadro Clínico 1 para responder à questão.
Quadro Clínico 1
Paciente do sexo masculino, 60 anos, admitido em departamento de emergência com quadro insidioso e progressivo de redução de força e sensibilidade no hemicorpo esquerdo há mais ou menos 2,5 horas. Tem antecedente de hipertensão arterial e dislipidemia há mais de 20 anos, em tratamento irregular com losartam, hidroclorotiazida e atorvastatina. Ex-tabagista. Ao exame físico, paciente com abertura ocular a estímulos verbais, contactuante e obedecendo comandos simples. Apresenta hemiparesia e hipoestesia em hemicorpo esquerdo. Ritmo cardíaco regular, frequência cardíaca 90bpm, pressão arterial em membros superiores e inferiores (deitado) 190x100mmHg, frequência respiratória 19ipm, SpO2 88%. Tomografia de crânio evidenciou o resultado a seguir.

A principal hipótese diagnóstica é de acidente vascular encefálico
Provas
Leia o caso a seguir.
Paciente de 85 anos, internada há 6 dias com quadro de pneumonia comunitária grave, tendo recebido alta da UTI ontem. Segundo o acompanhante, a paciente vem alternando “momentos de lucidez e de confusão”, nos quais se queixa da higiene do quarto, alegando que havia baratas nas paredes e no teto. Antecedente de insuficiência cardíaca e acidente vascular encefálico, com hemiparesia à esquerda. Antes da internação, deambulava com auxílio de uma muleta e fazia uso de óculos e aparelho auditivo. Relata ainda uso prévio de metoprolol, furosemida, clopidogrel e atorvastatina. No momento da avaliação, a paciente encontrava-se afebril, eupneica, hidratada e normocorada. Pressão arterial de 150x90mmHg, frequência cardíaca de 68bpm. Saturação periférica de oxigênio em ar ambiente 97%. Glicemia capilar 150mg/dL. Sonda vesical de demora posicionada com diurese clara. O único déficit motor evidente no exame físico é compatível com o déficit prévio descrito pelo acompanhante. Pupilas isofotorreagentes. Durante a avaliação, a paciente manifestou dificuldade para focar a atenção. Quando questionada, afirmou que estava em seu domicílio e que a data era vários meses antes da data real.
A conduta apropriada neste caso seria
Provas
Mulher de 26 anos de idade com antecedente de diabetes mellitus do tipo 1, em uso de insulina NPH 20 unidades SC cedo, deu entrada em unidade de pronto atendimento com relato de disúria, polaciúria e febre não aferida há 5 dias. Evoluiu há 2 dias com poliúria e polidipsia. Há 1 dia com dor abdominal, vômitos e queda do estado geral. Ao exame físico, apresentava-se apática e algo confusa, porém obedecendo comandos simples, pupilas isofotorreagentes, desidratada 2+/4+, corada, anictérica, acianótica, hálito cetônico. Pressão arterial 90x60 mmHg. Frequência cardíaca de 100 bpm. Frequência respiratória de 30ipm. Aparelho Respiratório: respiração de Kussmaul, murmúrio vesicular fisiológico, sem ruídos adventícios. Aparelho Cardiovascular: bulhas rítmicas normofonéticas em 2 tempos, sem sopros. Abdome flácido, doloroso, com ruídos hidroaéreos presentes, descompressão brusca negativa. Membros com pulsos simétricos e sem edema. Não foram observados déficits sensitivos ou motores lateralizados. SpO2 92%. Glicemia capilar: 450mg/dl. Exames complementares solicitados evidenciaram: sódio 132meq/l, potássio 3,0 meq/l, cloreto: 95 mEq/L, corpos cetônicos 4+/4+ na urina, gasometria arterial: pH 7,22, pO2: 90mmHg, pCO2: 22 mmHg, bicarbonato: 15mEq/L.
A conduta imediatamente indicada neste cenário é a
Provas
Leia o caso a seguir.
Paciente do sexo feminino, 62 anos, diabética e hipertensa de longa data, portadora de “alteração de funcionamento renal” há 2 anos, sem seguimento clínico regular, procura atendimento ambulatorial com queixa de piora de edema de membros inferiores há 3 meses. Nega náuseas, vômitos ou hiporexia. Faz uso de metformina 850mg 1x/dia, glipizida 5mg 1x/dia e hidroclorotiazida 25mg/dia. Antecedente de “problema nos olhos em função do diabetes”. Ao exame: frequência cardíaca 60bpm, pressão arterial 150x90mmHg, edema de membros inferiores 2+/4+. Traz exames realizados há 1 semana: uréia 100mg/dl; creatinina 3,2 mg/dL; sódio 131mEq/L; potássio 5,8mEq/L; cálcio total 8,2mg/dL; fósforo 5,2mg/dL; hemoglobina 9,3g/dL; colesterol total = 237 mg/dl; HDL = 35 mg/dl; LDL = 156 mg/dl; Triglicérides = 232 mg/dl; hemoglobina glicada 9,0%; gasometria venosa com pH = 7,2; bicarbonato = 16 mmol/L; ferritina = 40 ng/ml; saturação de ferro = 14%; 25 hidroxivitamina D = 17 ng/ml (valor de referência: 30 a 100); hormônio paratiroidiano (PTH) = 330 pg/ml (valor de referência: 16 a 87); EAS (urina tipo 1)= densidade 1020, pH = 6,0, proteínas 2+/4+, leucócitos 6000/mm3, hemácias 2000/mm3; proteinúria de 24 horas = 2,8 g/24 horas.
Qual conduta é apropriada nesse momento?
Provas
Leia o caso a seguir.
Paciente do sexo feminino, 45 anos, com queixa de dor lombar à direita acompanhada de calafrios há mais ou menos 12 horas. Vinha apresentando disúria, urgência miccional e “urina escura” há 3 dias. Ao exame: paciente alerta, orientada, obedecendo comandos. Temperatura axilar 37,8 graus Celsius, frequência cardíaca de 118bpm, pressão arterial 110x50mmHg, tempo de enchimento capilar lentificado, frequência respiratória de 25ipm. SpO2 95% em ar ambiente. Glicemia capilar: 170mg/dL. Exames colhidos evidenciaram: gasometria (pH: 7,32; pO2: 70mmHg; pCO2: 30mmHg; Bic: 15mEq/L), Sódio: 140mEq/L, Cloro: 100mEq/L e lactato: 10mmol/L. EAS com leucocitúria > 1.000.000, hematúria > 1.000.000.
Qual é a conduta apropriada?
Provas
Leia o caso a seguir.
Paciente de 55 anos de idade, sexo masculino, deu entrada em uma unidade de pronto atendimento, trazido por terceiros após ter sido encontrado caído em via pública. Diante do diagnóstico de parada cardiorrespiratória, foram iniciadas as medidas de ressuscitação cardiopulmonar (RCP).

Diante da detecção do ritmo no monitor, ilustrado acima, a conduta imediata apropriada é
Provas
Paciente do sexo masculino, 66 anos, com história de tosse matinal e dispneia aos moderados esforços há vários anos. Ele associava esses sintomas ao tabagismo e nunca procurou atendimento médico. Há 6 dias vem apresentando piora da dispneia, acompanhado de aumento do volume da expectoração, que também parece mais espessa. Fuma 2 maços de cigarro/dia, desde os 30 anos de idade. Além disso, é hipertenso e faz uso irregular de Losartam 50mg/dia, prescrito em unidade primária de saúde. Ao exame: paciente com abertura ocular a estímulos verbais, algo confuso, porém obedecendo comandos simples. Frequência respiratória de 26ipm, tórax com aumento do diâmetro antero posterior, uso evidente de musculatura acessória, redução de expansibilidade bilateralmente, murmúrio vesicular reduzido globalmente e sibilos difusos. Saturação periférica de oxigênio de 86%. Frequência cardíaca de 100bpm, pressão arterial de 140x90mmHg, bulhas hipofonéticas, sem sopros. Abdome plano, indolor, sem visceromegalias, extremidades bem perfundidas e sem edemas. Exames colhidos evidenciaram os seguintes resultados: pH 7,29 pO2 58mmHg pCO2 65mmHg Bic 30mEq/L. Sódio 140mEq/L; Potássio 4,8mEq/L; Cloro 100mEq/L.
Nesse caso específico, as intervenções terapêuticas indicadas são
Provas
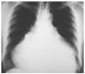
Paciente de 45 anos, sexo feminino, admitida em unidade de pronto atendimento com queixa de dispneia progressiva há 2 dias, com piora significativa até os mínimos esforços. Nega outros sintomas. Antecedente de neoplasia de mama, em acompanhamento irregular. Nega outras comorbidades. Nega uso prévio de medicações. Ao exame físico: vias aéreas aparentemente pérvias; frequência respiratória 26ipm, tórax com movimentos simétricos, murmúrio vesicular rude bilateralmente, som claro pulmonar a percussão, saturação periférica de oxigênio 88%; bulhas rítmicas e hipofonéticas, frequência cardíaca 120bpm, pressão arterial 70x40mmHg, pele fria, pegajosa, com tempo de enchimento capilar lentificado, turgência jugular evidente; aparente redução da amplitude do pulso e pressão arterial sistólica durante a inspiração; abertura ocular a estímulos dolorosos, emitindo palavras desconexas e localizando estímulos dolorosos, pupilas isofotorreagentes, sem déficit motor evidente. Trouxe radiografia de tórax realizada ontem em unidade primária de saúde (representada a seguir). Iniciado reposição volêmica com solução isotônica por acesso venoso periférico.

Qual é a conduta indicada?
Provas
Leia o caso a seguir.
Paciente do sexo feminino, 67 anos de idade, atendida em unidade de pronto atendimento com queixa de “cansaço e falta de ar” iniciada há 2 horas. Relata ainda que vinha apresentando episódios de dor epigástrica, tipo “queimação”, sem relação com jejum ou alimentos ingeridos. Portadora de diabetes mellitus e hipertensão arterial há mais de 10 anos, em tratamento irregular com metformina, hidroclorotiazida e atenolol. Sedentária. Desconhece histórico familiar de doença cardiovascular. Pais falecidos (morte natural - causa desconhecida). Ao exame físico, apresentava-se alerta, porém inquieta e sudoreica. Ritmo cardíaco regular, com bulhas normofonéticas e rítmicas, pressão arterial (aferida em 4 membros) 160x100mmHg, frequência cardíaca de 78bpm. Ventilação espontânea em ar ambiente, com saturação periférica de oxigênio de 92%, ausculta pulmonar com estertores em 1/3 inferior de campos pulmonares bilateralmente. Glicemia capilar 160mg/dL. Eletrocardiograma realizado na admissão a seguir.

Qual é a principal hipótese diagnóstica?
Provas
Caderno Container