Magna Concursos

Foram encontradas 50 questões.

2824195 Ano: 2023
Disciplina: Medicina
Banca: AOCP
Orgão: IF-MA
Provas:
Paciente do sexo masculino, 35 anos, dá entrada no seu plantão da unidade de pronto atendimento com quadro de hipotensão associado à sudorese profusa e rebaixamento do nível de consciência e palpitações. Relatou ter realizado uso abusivo de bebida alcoólica na noite anterior. Sinais vitais: Sat02 89%; PA 80/40M; FC 150; afebril. Você rapidamente leva o paciente para a sala de emergência junto à sua equipe, monitora-o, instala um acesso venoso e fornece oxigenoterapia via cateter de O2. Foi realizado um ECG apresentando ritmo irregular e sem ondas P visualizadas em D2 do ECG, dessa forma, você realiza o diagnóstico de fibrilação atrial de alta resposta ventricular. Considerando o quadro clínico, qual seria a conduta correta?
 

Provas

Questão presente nas seguintes provas
2824194 Ano: 2023
Disciplina: Medicina
Banca: AOCP
Orgão: IF-MA
Provas:
Paciente do sexo feminino, 70 anos, 70 kg, diabética insulinodependente e com doença renal crônica estágio 3b (CKD-EPI-.TFG 30 a 44ml/min-). Nega outras comorbidades. Está internada na enfermaria do hospital onde você está de plantão, em leito de enfermaria, com diagnóstico de infecção do trato urinário. Está em uso de antibioticoterapia, iniciada ontem, piperacilina + tazobactam 4,5 gr 8/8 hrs guiado por urocultura + antibiograma. A paciente está estável hemodinamicamente, em ar ambiente, eupneica e afebril, lúcida e orientada em tempo e espaço. Foram solicitados, hoje, exames laboratoriais de rotina. Hemograma: hb 8,5 mg/dl; leucócitos 11000 mm3 sem desvio à esquerda; PCR quantitativo 8mg/dl. Ureia 85Mg/dl; CR 1,4 mg/dl; potássio 6,2 mmol/l; sódio 135 mmol/l. Sobre esse quadro clínico e os exames laboratoriais, assinale a alternativa INCORRETA.
 

Provas

Questão presente nas seguintes provas
2824193 Ano: 2023
Disciplina: Medicina
Banca: AOCP
Orgão: IF-MA
Provas:
Sobre a nefrolitíase, assinale a alternativa INCORRETA.
 

Provas

Questão presente nas seguintes provas
2824192 Ano: 2023
Disciplina: Medicina
Banca: AOCP
Orgão: IF-MA
Provas:
Paciente do sexo masculino, 35 anos, previamente hígido, deu entrada no hospital após quadro de acidente automobilístico, devido ao qual necessitou de laparotomia exploradora com esplenectomia e transfusão sanguínea maciça no intraoperatório. Foi levado para a UTI com instabilidade hemodinâmica e com necessidade de uso de droga vasoativa, noradrenalina 0,3 mcg/kg/min. Evoluiu com piora da função renal, creatinina 4,2 mg/dl e ureia 135 mg/dl. Você solicitou a avaliação de um nefrologista, que apontou o diagnóstico de injúria renal aguda, KDIGO 3. A respeito da injúria renal aguda, assinale a alternativa correta.
 

Provas

Questão presente nas seguintes provas
2824191 Ano: 2023
Disciplina: Medicina
Banca: AOCP
Orgão: IF-MA
Provas:
Paciente do sexo feminino, 38 anos, comparece ao pronto atendimento com queixa de dispneia de início agudo com sudorese profusa associada à dor torácica que se iniciou há 30 minutos. Paciente de base apresenta obesidade grau 2, nega outras comorbidades, como medicações de uso contínuo, e relata apenas uso regular de anticoncepcional oral. Também relata que realizou cirurgia ortopédica, por fratura de tíbia esquerda, há aproximadamente 20 dias. Sinais vitais: FC 120bpm; Sat02 88%; FR 25; tax 37,2; PA 120/70; Glasgow 15/15. Você está no plantão e suspeita de tromboembolismo pulmonar. Desse modo, considerando a hipótese diagnóstica, assinale a alternativa correta.
 

Provas

Questão presente nas seguintes provas
2824190 Ano: 2023
Disciplina: Medicina
Banca: AOCP
Orgão: IF-MA
Provas:
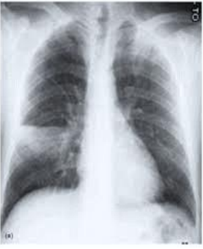
Paciente do sexo masculino, 52 anos, hipertenso e com hipotireoidismo, em tratamento regular, comparece à UBS onde você está atuando com queixa de tosse produtiva de 7 dias e evolução associada a quadro febril que se iniciou há 5 dias. Nega internações prévias. Ao exame físico, apresenta-se em regular estado geral, febril, acianótico, Glasgow 15/15. Ausculta pulmonar: murmúrio vesicular conservado com estertor crepitante em terço médio do pulmão direito. Ausculta cardíaca: BRNF 2T. Abdômen: flácido, hiper-timpânico RH presentes. Sinais vitais: FC 105; FR 25; temperatura axilar: 38,1; SatO2 96%; PA 115/70. O paciente possui exames laboratoriais realizados no dia anterior, assim como radiografia de tórax, apresentada a seguir. Leucócitos 14800 MM3; neutrofilos 85%; bastões 5%; PCR quantitativo 18mg/dl; ureia 55 mg/dl; Creatinina 1 mg/dl.
Enunciado 3123707-1
Assinale a alternativa que apresenta a conduta adequada frente ao caso clínico exposto.
 

Provas

Questão presente nas seguintes provas
2824189 Ano: 2023
Disciplina: Medicina
Banca: AOCP
Orgão: IF-MA
Provas:
Paciente do sexo feminino, 33 anos, avaliada em consulta na UBS em que você trabalha, relata história de febre não graduada, sudorese e palpitações, assim como perda de peso com apetite preservado. Ao exame físico, a paciente apresenta-se hipertensa (PA 155/80mmHg) e taquicárdica (FC 109bpm), com tremores de extremidades e mãos úmidas e quentes. Nesse contexto, você suspeita de hipertireoidismo e solicita exames. Assinale a alternativa que apresenta corretamente os achados laboratoriais para confirmar hipótese diagnóstica.
 

Provas

Questão presente nas seguintes provas
2824188 Ano: 2023
Disciplina: Medicina
Banca: AOCP
Orgão: IF-MA
Provas:
A Síndrome ou Doença de Weil é causada pelo microrganismo

 

Provas

Questão presente nas seguintes provas
2824187 Ano: 2023
Disciplina: Medicina
Banca: AOCP
Orgão: IF-MA
Provas:
Paciente do sexo feminino, 59 anos, hipertensa e diabética, dá entrada na emergência de seu plantão apresentando sudorese profusa e confusão mental de início há aproximadamente 25 minutos, negando quadros parecidos anteriores. Sinais vitais na admissão: pressão arterial 70/40; Sat02 90%; FC 190 bpm; FR 27 ipm; afebril. Foram iniciadas monitorização da paciente, passagem de acesso venoso central e oxigenioterapia via cateter nasal 2 L/min. O ritmo mostrado no monitor cardíaco é apresentado a seguir.
Enunciado 3123704-1
Assinale a alternativa que apresenta corretamente o diagnóstico e a conduta adequada para esse caso.
 

Provas

Questão presente nas seguintes provas
2824186 Ano: 2023
Disciplina: Medicina
Banca: AOCP
Orgão: IF-MA
Provas:
Paciente do sexo feminino, 49 anos, chega ao pronto atendimento em que você está de plantão se queixando de dor torácica de início há 35 minutos em aperto que irradia para a mandíbula. Como doença de base, a paciente relata ter hipertensão arterial sistêmica em tratamento regular com losartana 50 mg de 12/12 hrs. Ela também relata tabagismo com carga tabágica de 30 maços/ano. Desse modo, você solicita um eletrocardiograma para a paciente com a imagem a seguir.

Enunciado 3123703-1

Sobre o quadro diagnosticado, assinale a alternativa correta.
 

Provas

Questão presente nas seguintes provas