Magna Concursos

Foram encontradas 50 questões.

2969545 Ano: 2022
Disciplina: Medicina
Banca: QUADRIX
Orgão: ISCMSP

Um paciente de 45 anos de idade compareceu ao pronto-socorro com queixas de mal-estar, náuseas e vômitos, associados a fraqueza generalizada, formigamento no rosto e, segundo seu relato, “câimbras” no corpo. Referiu ter realizado cirurgia recente para a retirada de “nódulos no pescoço”.

O quadro clínico apresentado nesse caso hipotético pode estar relacionado à alteração eletrolítica denominada

 

Provas

Questão presente nas seguintes provas
2969544 Ano: 2022
Disciplina: Medicina
Banca: QUADRIX
Orgão: ISCMSP

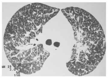
Uma paciente de 49 anos de idade, sem antecedentes patológicos conhecidos, com tabagismo importante (80 anos-maço) e com importante perda de peso nos últimos meses, compareceu a uma consulta ambulatorial apresentando dispneia progressiva associada a dessaturação em ar ambiente. Negou febre ou outros sintomas. No exame físico, constatou-se que a paciente apresentava saturação de 85% a.a., sem sinais de desconforto respiratório e com importante baqueteamento digital. Foi encaminhada ao setor de imagem, onde realizou tomografia computadorizada de tórax com um dos cortes representados na figura a seguir.

A paciente apresentava baciloscopia negativa e CEA acima do percentil 99 do teste.

Enunciado 3316870-1

Nesse caso, para confirmar o diagnóstico diferencial,

 

Provas

Questão presente nas seguintes provas
2969543 Ano: 2022
Disciplina: Medicina
Banca: QUADRIX
Orgão: ISCMSP

Uma paciente de 49 anos de idade, sem antecedentes patológicos conhecidos, com tabagismo importante (80 anos-maço) e com importante perda de peso nos últimos meses, compareceu a uma consulta ambulatorial apresentando dispneia progressiva associada a dessaturação em ar ambiente. Negou febre ou outros sintomas. No exame físico, constatou-se que a paciente apresentava saturação de 85% a.a., sem sinais de desconforto respiratório e com importante baqueteamento digital. Foi encaminhada ao setor de imagem, onde realizou tomografia computadorizada de tórax com um dos cortes representados na figura a seguir.

A paciente apresentava baciloscopia negativa e CEA acima do percentil 99 do teste.

Enunciado 3316869-1

Com base nesse caso hipotético, assinale a alternativa que apresenta a principal etiologia a ser considerada para essa paciente.

 

Provas

Questão presente nas seguintes provas
2969542 Ano: 2022
Disciplina: Medicina
Banca: QUADRIX
Orgão: ISCMSP

A hipertensão resistente é definida, pela American Heart Association, pela diretriz de hipertensão do American College of Cardiology, pela Sociedade Europeia de Cardiologia e pela Sociedade Europeia de Hipertensão, como pressão arterial que permanece acima da meta apesar do uso concomitante de três agentes anti-hipertensivos de diferentes classes.

Se tolerado, um dos três agentes deve ser um diurético, e todos os agentes devem ser prescritos nas doses anti-hipertensivas máximas recomendadas (ou toleradas no máximo). Pacientes com hipertensão resistente são muito mais propensos a ter uma causa identificável de hipertensão, ou seja, hipertensão secundária.

Acerca desse assunto, assinale a alternativa que apresenta uma das alterações clínicas que levam à suspeita inicial de hipertensão.

 

Provas

Questão presente nas seguintes provas
2969541 Ano: 2022
Disciplina: Medicina
Banca: QUADRIX
Orgão: ISCMSP

Uma paciente de 49 anos de idade, com antecedente de endocardite bacteriana, compareceu a um consultório com relato de programação cirúrgica para a retirada de mioma uterino. Na realização do exame físico, constatou-se o seguinte: ictus cordis desviado para a esquerda e para baixo; B1 hipofonética; sopro sistólico regurgitativo ++/6+.

Na avaliação da etiologia, a principal causa da alteração valvar referida nesse caso clínico é

 

Provas

Questão presente nas seguintes provas
2969540 Ano: 2022
Disciplina: Medicina
Banca: QUADRIX
Orgão: ISCMSP

Uma paciente de 49 anos de idade, com antecedente de endocardite bacteriana, compareceu a um consultório com relato de programação cirúrgica para a retirada de mioma uterino. Na realização do exame físico, constatou-se o seguinte: ictus cordis desviado para a esquerda e para baixo; B1 hipofonética; sopro sistólico regurgitativo ++/6+.

A partir desse caso clínico hipotético, assinale a alternativa correta.

 

Provas

Questão presente nas seguintes provas
2969539 Ano: 2022
Disciplina: Medicina
Banca: QUADRIX
Orgão: ISCMSP

Um homem de 55 anos de idade, portador de cirrose por etiologia alcoólica, encontra-se internado em uma unidade de internação após endoscopia realizada por hemorragia digestiva alta secundária a varizes esofágicas.

Com base nesse caso clínico hipotético, assinale a alternativa correta.

 

Provas

Questão presente nas seguintes provas
2969538 Ano: 2022
Disciplina: Medicina
Banca: QUADRIX
Orgão: ISCMSP

Um homem de 56 anos de idade, diabético, hipertenso, portador de gota e tabagista, em uso de metformina 1 g/dia e atenolol 25 mg de doze em doze horas, compareceu a uma consulta médica. Durante a avaliação, apresentava pressão arterial, aferida em dois membros, de 160 mmHg x 100 mmHg.

Com base nesse caso hipotético, assinale a alternativa correta.

 

Provas

Questão presente nas seguintes provas
2969537 Ano: 2022
Disciplina: Medicina
Banca: QUADRIX
Orgão: ISCMSP

Assinale a alternativa que apresenta a(s) causa(s) mais comum(ns) de hemoptise no mundo.

 

Provas

Questão presente nas seguintes provas
2969536 Ano: 2022
Disciplina: Medicina
Banca: QUADRIX
Orgão: ISCMSP

Um paciente de 38 anos de idade, previamente hígido e sem uso de medicações de uso contínuo, internado devido a síndrome nefrótica em investigação, evoluiu com edema de membros inferiores e leve dispneia.

Considerando-se essa situação hipotética, é correto afirmar que, no caso de pacientes congestos com a referida síndrome, deve-se prescrever doses

 

Provas

Questão presente nas seguintes provas