Foram encontradas 30 questões.
Paciente, sexo feminino, 73 anos, previamente hígida, passou a apresentar quadro progressivo de alteração da marcha (instável, base alargada, sensação de pés “grudados no chão”), alteração do controle esfincteriano, necessitando do uso de fralda geriátrica e alteração da memória e concentração. Após consulta médica, foram realizados exames complementares para investigação do quadro, cujos resultados evidenciaram um índice de Evans > 0,3 e TAP Test positivo tanto para marcha quanto para os testes cognitivos. Assinale o provável diagnóstico e o tratamento da paciente, respectivamente.
Provas
Paciente, sexo masculino, 30 anos, vítima de acidente de moto, é levado pela equipe de resgate do SAMU para determinado hospital de referência em trauma mais próximo do local do acidente. Após avaliação inicial, bem como realização de exames complementares, foi concluído que o paciente sofreu um trauma raquimedular (TRM) e não apresentava nenhuma função motora ou sensitiva abaixo do nível da lesão, assim como não apresentava contração voluntária do esfíncter anal, não havia nenhuma sensibilidade nos segmentos sacrais S4-S5. De acordo com a classificação padronizada da American Spinal Injury Association (ASIA), o TRM do paciente é classificado como ASIA:
Provas
Paciente, sexo masculino, 60 anos, apresentou quadro súbito de rebaixamento do nível de consciência, associado a vômitos e crise convulsiva tônico-clônica generalizada, sendo levado por amigos ao hospital da cidade onde morava. Paciente admitido com os seguintes sinais vitais: PA 170 x 89 mmHg; SatO2 95%; Dextro 103 mg/dL; FC 89 bpm; e, Tax 36,8° C. Ao ser examinado pelo neurologista de plantão, notou-se que o paciente não conseguia movimentar nenhum dos quatro membros, bem como o tronco ou a cabeça; apresentava postura de descerebração ao estímulo álgico, além de parecer compreender o que era dito; porém, apenas conseguia movimentar os olhos no sentido vertical, não verbalizava, e nem realizava movimentos horizontais com os olhos. Foi realizada tomografia computadorizada de crânio e angiotomografia de vasos cervicais e intracranianos; os exames evidenciaram uma oclusão proximal no topo da artéria basilar. Considerando o caso clínico hipotético, é correto afirmar que trata-se da síndrome:
Provas
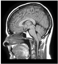
A ressonância magnética de crânio apresenta uma malformação, muitas vezes congênita, capaz de causar sintomas neurológicos como dor cervical; vertigem; perda de equilíbrio; e, disfagia.

Podemos afirmar que tal condição se refere à síndrome de:
Provas
Existem diversos tipos de malformações congênitas do cérebro; muitas delas resultam em complicações motoras, sensoriais e intelectuais.

As imagens correspondem à síndrome de:
Provas
Cada hemisfério possui uma camada superficial de substância cinzenta, o córtex cerebral, que reveste um centro de substância branca – o centro medular do cérebro ou centro semioval. No interior dessa substância branca, há massas de substância cinzenta – os núcleos da base do cérebro. O centro branco medular do cérebro é formado por fibras mielínicas, que podem ser de dois tipos – de projeção ou de associação. As fibras de projeção se dispõem em dois feixes – o fórnix e a cápsula interna.

Assinale, a seguir, o número correspondente ao joelho da cápsula interna na imagem.
Provas
Saber a localização, bem como entender a função das estruturas encefálicas é fundamental para compreensão da circuitaria cerebral.

Assinale, a seguir, a nomenclatura da estrutura representada pelo número 1 na imagem.
Provas
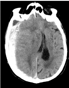
Paciente, sexo feminino, 82 anos, sofreu queda da própria altura após tropeçar no tapete da sala de sua casa. Após a queda, familiares notaram que a paciente apresentava lentificação psicomotora, sonolência excessiva e confusão mental, sendo, então, levada ao hospital local para atendimento médico. Na admissão hospitalar realizou tomografia computadorizada de crânio que evidenciou o seguinte resultado:

Qual o achado da tomografia de crânio realizada?
Provas
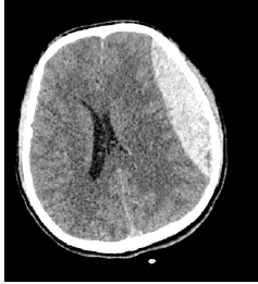
Paciente, sexo masculino, 23 anos, admitido em pronto-socorro do hospital de sua cidade após sofrer acidente automobilístico há cerca de 40 minutos. Segundo testemunhas do local, o paciente ficou desacordado por alguns minutos e, desde o momento que acordou, queixa-se de dor de cabeça intensa e constante. Realizada tomografia computadorizada de crânio que evidenciou o seguinte resultado:

Qual o achado da tomografia de crânio realizada?
Provas
A imagem a seguir evidencia um hematoma cerebral (indicado pela seta) e os principais tipos de herniação cerebral; observe:

Assinale, a seguir, o número correspondente à hérnia de uncus ou uncal.
Provas
Caderno Container