Foram encontradas 120 questões.
Acerca das bacias sedimentares da margem continental brasileira e de suas principais feições tectônicas, julgue o item a seguir.
A evolução tectônica das bacias da margem leste brasileira está associada à ruptura do supercontinente Gondwana e à consequente abertura do oceano Atlântico, iniciadas no Mesozoico.
Provas
Acerca das bacias sedimentares da margem continental brasileira e de suas principais feições tectônicas, julgue o item a seguir.
A bacia da foz do rio Amazonas, a bacia Pará-Maranhão e a bacia Pernambuco-Paraíba são classificadas como pertencentes ao segmento transformante das bacias sedimentares da margem equatorial brasileira.
Provas
Acerca das bacias sedimentares da margem continental brasileira e de suas principais feições tectônicas, julgue o item a seguir.
A bacia do Acre apresenta um sistema de falhas reversas de direção predominante norte–sul, com destaque para a falha de Batã.
Provas
Acerca das bacias sedimentares da margem continental brasileira e de suas principais feições tectônicas, julgue o item a seguir.
A porção inferior da formação Lagoa Feia da bacia de Campos foi formada na fase drifte (marinha) e contém importantes rochas geradoras de petróleo.
Provas
Acerca das bacias sedimentares da margem continental brasileira e de suas principais feições tectônicas, julgue o item a seguir.
As sequências sedimentares da fase rifte das bacias sedimentares do litoral sudeste brasileiro foram depositadas sobre uma espessa camada de evaporitos, compostos principalmente por halita, gipsita e anidrita.
Provas
Acerca da paleoecologia baseada em microfósseis, julgue o item a seguir.
As espécies planctônicas dos foraminíferos são utilizadas como bioindicadores de poluição em ambientes como baías, lagunas, estuários, plataformas e taludes continentais.
Provas
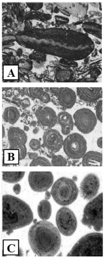
A análise do tipo de grãos é essencial no estudo de sistemas deposicionais. Nas figuras seguintes, são mostrados três tipos de grãos comumente encontrados em rochas carbonáticas.

Internet: <www.maxwell.vrac.puc-rio.br>.
Com relação a essas figuras, julgue o item seguinte.
A figura B corresponde a oncólitos
Provas
Com relação aos depósitos e rochas evaporíticas, siliciclásticas e carbonáticas, julgue o item abaixo.
Os depósitos de sabkha correspondem a evaporitos formados em ambiente de sedimentação litorânea, em clima árido ou semiárido e imediatamente acima do nível médio da maré alta.
Provas

Della Fávera. Fundamentos de Estratigrafia Moderna. 2001, p. 118 (com adaptações).
A imagem precedente ilustra uma seção sísmica estilizada conhecida como diagrama de Wheeler. A figura I mostra diversas unidades estratigráficas com indicação de presença de onlap (ol), downlap (dl) e toplap (tp). As letras A, B, C, D e E representam cunhas de depósitos sedimentares. Na figura II, é mostrada a mesma seção, porém, expressa em termos de tempo geológico. As zonas condensadas são indicadas pelo símbolo ZC, enquanto os hiatos deposicionais e erosivos são identificados por HD e HE, respectivamente.
Considerando a imagem e as informações apresentadas, julgue o item a seguir.
As cunhas A, B, C, D e E formam sequências individuais separadas por discordâncias e suas respectivas concordâncias relativas.
Provas
Considerando que as tensões exercidas sobre os materiais rochosos podem provocar deformações principalmente na forma de dobras e falhas, julgue o item seguinte.
Nas dobras do tipo kink bands, o plano bissectante do ângulo entre os flancos não coincide com o plano axial.
Provas
Caderno Container