Foram encontradas 80 questões.
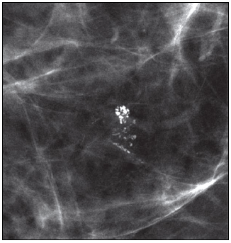
Paciente, 61 anos, assintomática, mamografia de dois anos anteriores sem alterações. Último exame evidenciou lesão mamográfica a seguir:

De acordo com o exposto, assinale a conduta correta para o caso.
Provas
São consideradas condições favoráveis para a realização de QT neoadjuvante, EXCETO:
Provas
Paciente, 35 anos, comparece à consulta para orientações. Refere ter muitos casos de câncer de mama na família; sua mãe faleceu por câncer de mama agressivo aos 40 anos. Além de orientações de rastreamento, deseja orientações sobre os cânceres de mama familiares. São consideradas características frequentes dos cânceres de mama em mulheres de alto risco, EXCETO:
Provas
Paciente, 50 anos, pós-tratamento de câncer de mama aos 45 anos, atualmente está em uso de tamoxifeno (há três anos). Comparece à consulta com resultado de ultrassonografia transvaginal com seguinte laudo: “Endométrio heterogêneo com múltiplas imagens císticas de permeio, estudo Doppler fracamente positivo, medindo 16 mm”. Menopausa aos 46 anos, nega sangramento pós-menopausa. Diante do caso hipotético, assinale a hipótese diagnóstica e a conduta.
Provas
O câncer de mama associado à gravidez é definido como o câncer diagnosticado durante a gravidez ou em até doze meses após o parto. Considerando uma paciente gestante, dez semanas, com suspeita de câncer de mama por nódulo palpável de aproximadamente, 1 cm, endurecido, fixo, em QSL de mama, assinale a afirmativa correta.
Provas
A descrição dos achados positivos em exames de imagem da mama foi padronizada, uma vez que tais avaliações podem sofrer interferências do avaliador em questão. Ao descrever as margens de uma lesão em uma mamografia, pode-se classificar uma lesão em dois grupos: margens circunscritas ou não circunscritas, sendo as não circunscritas divididas entre obscurecida; microlobulada; indistinta; e, espiculada. Considerando o exposto, assinale a afirmativa correta.
Provas
No geral, os locais mais frequentes de recidiva secundária do câncer de mama são osso, pulmão, fígado e cérebro. O local da metástase parece diferir entre os subtipos intrínsecos do câncer de mama. Relacione adequadamente os locais de metástase e os subtipos moleculares que mais comumente causam seu o acometimento. (Alguns números poderão se repetir e outros poderão não ser utilizados.
1. Luminal A.
2. Luminal B.
3. HER 2 +.
4. Triplo negativo.
( ) Cérebro.
( ) Fígado.
( ) Osso.
( ) Pulmão.
A sequência está correta em
Provas
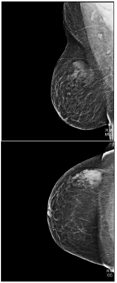
Paciente, 50 anos, com nódulo palpável em exame físico, comparece com resultado de mamografia. Observe as imagens a seguir:

A imagem demonstrada é característica de qual lesão?
Provas
A ressonância magnética não é o método de escolha para rastreamento de câncer de mama da população em geral, sendo o seu uso restrito a casos específicos ou para lesões não esclarecidas pelos exames de imagem habitualmente realizados – a mamografia e a ultrassonografia. Dos casos relacionados, qual há indicação para ressonância magnética como rastreamento de câncer de mama?
Provas
Paciente, 50 anos, comparece à consulta com resultado de ultrassonografia demonstrando linfonodo suspeito em axila esquerda. São consideradas características ultrassonográficas de suspeita de acometimento linfonodal neoplásico, EXCETO:
Provas
Caderno Container