Foram encontradas 1.120 questões.
As principais características laboratoriais encontradas nos pacientes com síndrome de lise tumoral são:
Provas
Questão presente nas seguintes provas
No paciente que se apresenta febril e que fez uma sessão de quimioterapia há 10 dias, quando é recomendado associarvancomicina ao esquema antimicrobiano?
Provas
Questão presente nas seguintes provas
Dentre as situações a seguir, assinale qual delas constitui uma contraindicação à trombólise química endovenosa do acidente vascular cerebral isquêmico (AVCI).
Provas
Questão presente nas seguintes provas
Paciente apresenta um quadro febril agudo, cuja etiologia é uma pielonefrite aguda. Logo após a internação na UTI, ele evolui com inquietação, extremidades frias e pressão arterial sistólica de 80 mmHg. Dentre os achados a seguir, assinale a alternativa com o que se associa com redução da mortalidade nessa situação.
Provas
Questão presente nas seguintes provas
Dentre as alternativas a seguir, qual delas tem 3 achados que sugerem acometimento de tronco cerebral no acidente vascular cerebral isquêmico?
Provas
Questão presente nas seguintes provas
Na intubação orotraqueal de sequência rápida no paciente com crise aguda grave de asma, admitindo-se que haja contraindicações, as drogas de escolha são:
Provas
Questão presente nas seguintes provas
O recrutamento alveolar tem como característica
Provas
Questão presente nas seguintes provas
Mulher de 53 anos apresentou tosse, febre e expectoração iniciados há 10 dias. Procurou um hospital, sendo prescrito levofloxacino oral (750 mg, por 5 dias). Entretanto, houve melhora apenas parcial e há 1 dia a febre retornou. Exame físico: estado geral ruim; pressão arterial: 90 x 30 mmHg, pulso: 117 bpm, temperatura: 39,5 ºC, frequência respiratória: 28 ipm e saturação arterial de oxigênio: 88%. Radiografia de tórax demonstrada a seguir.

Nesse momento, além da prescrição de soro fisiológico (20 mL/kg de peso), a conduta inicial correta é:
Provas
Questão presente nas seguintes provas
Dentre os achados a seguir, constitui um que mais frequentemente se correlaciona com disfunção orgânica relacionada à sepse grave:
Provas
Questão presente nas seguintes provas
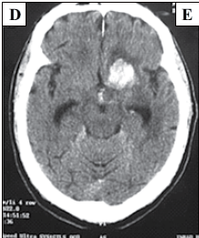
Paciente de 43 anos, hipertenso, apresenta quadro agudo de cefaleia e hemiparesia direita. Exame físico: escala de Glasgow: 14 (sonolento); pressão arterial: 230 x 160 mmHg, pulso: 83 bpm; hemiparesia direita. Tomografia de crânio sem contraste mostrada a seguir.

A conduta correta imediata é
Provas
Questão presente nas seguintes provas
Cadernos
Caderno Container