Foram encontradas 40 questões.
Radiografia realizada em paciente
do sexo masculino de 17 anos
demonstra a lesão radioluminescente
com bordas escleróticas apontada
pelas setas na figura. O diagnóstico
CORRETO é:


Provas
Questão presente nas seguintes provas
Tomografia do joelho abaixo
demonstra falha óssea na face lateral
do côndilo femoral medial (apontada
pelas setas). O diagnóstico
CORRETO é:


Provas
Questão presente nas seguintes provas
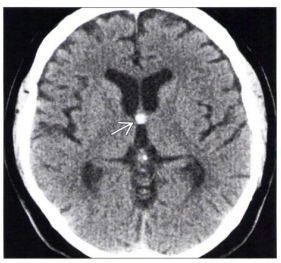
Tomografia do crânio sem
contraste em corte axial ao nível do
forame de Monro demonstra a
imagem apontada pela seta na figura
abaixo. O diagnóstico CORRETO é:


Provas
Questão presente nas seguintes provas
A presença de schwannomas
vestibulares bilaterais é
patognomônica de:
Provas
Questão presente nas seguintes provas
A respeito dos meningiomas
assinale a alternativa CORRETA:
Provas
Questão presente nas seguintes provas
O enema opaco com duplo
contraste ilustrado a seguir evidencia
uma doença bastante prevalente. A
respeito desta doença, assinale a
alternativa CORRETA:


Provas
Questão presente nas seguintes provas
Dor no hipocôndrio direito devido
à obstrução extrínseca do ducto
hepático comum por cálculo
impactado no infundíbulo da vesícula
biliar corresponde a qual condição:
Provas
Questão presente nas seguintes provas
A respeito dos efeitos biológicos
da radiação ionizante, é CORRETO
o que se afirma em:
Provas
Questão presente nas seguintes provas
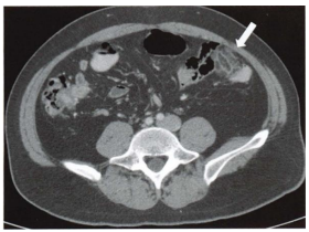
Mulher de 29 anos inicia com dor
abdominal aguda em flanco esquerdo.
O sintoma é bem localizado e a
paciente consegue apontar o local
exato da dor. Realizada tomografia
com contraste endovenoso que
evidencia densificação focal da
gordura pericolônica esquerda, na
borda antimesentérica, com aspecto
em “dedo de luva”, apontado pela
seta na figura abaixo. Assinale a
alternativa com o diagnóstico
CORRETO:


Provas
Questão presente nas seguintes provas
Paciente de 30 anos desenvolveu
cordão doloroso visível e palpável no
quadrante súperolateral da mama
esquerda. Realizada ultrassonografia
que detectou uma veia superficial
trombosada sem fluxo ao Doppler. A
respeito desta condição, assinale a
alternativa CORRETA:
Provas
Questão presente nas seguintes provas
Cadernos
Caderno Container