Foram encontradas 40 questões.
Sobre o Microsoft Windows 7, em sua configuração padrão de instalação, analise as afirmativas.
I - No Windows Explorer, o modo de exibição Lista exibe a data de modificação dos arquivos e pastas que estão sendo visualizados.
II - Ao se excluir um arquivo do disco rígido, ele pode ser enviado à Lixeira ou excluído permanentemente com auxílio da tecla Shift.
III - A ferramenta chamada Desfragmentador de Disco reorganiza dados fragmentados para que os discos e unidades trabalhem de forma mais eficiente.
IV - O Gerenciador de Dispositivos pode ser utilizado para instalar e atualizar os drivers dos dispositivos de hardware, modificar as configurações de hardware desses dispositivos e solucionar problemas.
Está correto o que se afirma em
Provas
Questão presente nas seguintes provas
A respeito de segurança na Internet, analise a afirmativa a seguir.
Tipo de código malicioso que torna inacessíveis os dados armazenados em um equipamento, geralmente usando criptografia, e que exige pagamento de resgate. O pagamento do resgate geralmente é feito via bitcoins. Além de infectar o equipamento, esse tipo de código malicioso também costuma buscar outros dispositivos conectados, locais ou em rede, e criptografá-los.
O tipo de código malicioso descrito é o
Provas
Questão presente nas seguintes provas
Nas últimas décadas, tem-se observado um ritmo mais acelerado no crescimento da população idosa. As alterações que caracterizam a senescência são facilmente observáveis ou sentidas.
Sobre o processo de envelhecimento, marque V para as afirmativas verdadeiras e F para as falsas.
( ) A redução da estatura começa a acontecer por volta dos 40 anos de idade; ocorre em decorrência da diminuição dos arcos do pé, aumento da curvatura da coluna e diminuição do tamanho da coluna.
( ) O tecido adiposo aumenta, decorrente do aumento do teor de água corporal; ocorre redução do crânio e aumento do pavilhão auditivo.
( ) A redução nas atividades dos osteoblastos e osteoclastos, própria da senescência, podem acarretar perda contínua da massa óssea, denominada osteoporose.
( ) A perda de massa muscular ou sarcopenia ocorre por diminuição do peso muscular e de sua área de secção transversal, contribuindo para menor contração e força muscular.
Assinale a sequência correta.
Provas
Questão presente nas seguintes provas
A respeito da fisiopatologia das doenças dos nervos e músculos, marque V para as afirmativas verdadeiras e F para as falsas.
( ) Síndrome de Guillain-Barré é uma polirradiculoneuropatia aguda, de natureza autoimune; caracteriza-se por paralisia flácida e distúrbio sensorial por bloqueio da condução.
( ) Distrofia Muscular de Duchenne é um distúrbio neuromuscular caracterizado por fraqueza e fatigabilidade dos músculos esqueléticos, decorrentes de uma redução do número de receptores de acetilcolina nas junções neuromusculares por ataque autoimune.
( ) Miastenia Gravis caracteriza-se por fraqueza muscular, contratura do tendão de Aquiles e dos ligamentos iliotibiais, com perda progressiva da força muscular com predileção pelos músculos proximais dos membros.
( ) Charcot-Marie-Tooth afeta nervos motores e sensoriais, caracterizado por fraqueza e atrofia musculares distais, diminuição da sensibilidade e reflexos tendíneos hipoativos ou ausentes, é uma doença autossômica ligada ao X.
Assinale a sequência correta.
Provas
Questão presente nas seguintes provas
O Fisioterapeuta recebe em sua clínica um paciente com paralisia facial. Na avaliação, percebe dificuldade para enrugar a testa, franzir os supercílios, fechar as pálpebras, abrir a boca, assobiar e inflar a boca. O olho mantém-se aberto com ausência do ato de piscar.
O quadro clínico é característico da lesão do nervo
Provas
Questão presente nas seguintes provas
INSTRUÇÃO: Leia atentamente o texto e responda à questão.
Glúten, lactose e outras modas
Nunca houve tantos modismos na dieta. Dieta sem glúten, sem lactose, sem gordura, sem carboidratos, sem nada que venha dos animais e até dietas sem alimentos que contenham DNA (pedras, talvez).
A história de nossos antepassados é a da miséria. Dos 6 milhões de anos de nossa espécie, pelo menos 99,9% do tempo caçávamos, pescávamos, coletávamos frutos e raízes e disputávamos carcaças de animais com outros carnívoros famintos.
Há insignificantes 10 mil anos, o surgimento da agricultura criou a oportunidade de abandonarmos a vida nômade e armazenarmos víveres para a época das vacas magras. Ainda assim, as epidemias de fome e a desnutrição chegaram até os dias atuais. (…)
Comida farta só chegou à mesa de grandes massas populacionais depois da Segunda Guerra Mundial, graças à mecanização e aos avanços da agricultura e da tecnologia de conservação de alimentos. Hoje, um brasileiro de classe média tem acesso a refeições mais variadas e nutritivas do que as dos nobres nos castelos medievais.
A fartura trouxe o exagero. Um cérebro com circuitos de neurônios moldados em tempos de penúria não desenvolveu mecanismos de saciedade, capazes de frear os impulsos viscerais despertados pela fome, antes de nos empanturrarmos até passar mal de tanto comer.
Essencial à sobrevivência quando precisávamos acumular reservas para os longos períodos de jejum que se sucediam, essa estratégia se voltou contra nós. Ao mesmo tempo, vão distantes os dias em que gastávamos energia para alimentar a família. Pela primeira vez na história da humanidade, desfrutamos o privilégio de ganhar o sustento sentados em cadeiras confortáveis. A um toque de celular o disque-pizza nos entrega 5.000 calorias à porta, sem sairmos do sofá.
Fartura e sedentarismo, gula e preguiça, criaram as raízes da epidemia de obesidade que assola o mundo. (…) A continuar nesse passo, a obesidade e a vida sedentária farão nossos filhos viverem menos do que nós. Sem disposição nem coragem para encarar a realidade de que comemos mais do que o necessário e andamos menos do que deveríamos, procuramos uma saída mágica que nos mantenha saudáveis.
Inventamos teorias mirabolantes que a internet divulga com tal velocidade que se transformam em ideologias com manadas de defensores ardorosos: carne é veneno, nenhum animal adulto toma leite, glúten engorda e incha, suco de berinjela reduz colesterol, e tantas outras. É desperdício de tempo e risco de perder amigos questionar essas crenças. (…)
Para confundir ainda mais, estudos com resultados que exigiriam interpretações estatísticas cautelosas e confirmação em pesquisas mais elaboradas ganham destaque nas mídias como se apresentassem conclusões definitivas. (…)
A confusão acontece porque esses estudos costumam ser observacionais. Neles, são analisadas as características dietéticas de uma população e as enfermidades que a afligem. Em ciência, publicações desse tipo são consideradas apenas geradoras de hipóteses. Para confirmá-las são fundamentais os estudos prospectivos, randomizados, muito mais complexos, dispendiosos e demorados.
Perdido na selva de informações desencontradas, o que você deve fazer, leitor? Coma frutas, saladas e verduras com liberalidade; do resto, de tudo um pouco. Procure comer o que sua avó considerava comida.
(Drauzio Varella. Adaptado de http://www1.folha.uol.com.br/. Acesso em abril de 2017.)
Os termos randomizados e dispendiosos têm como sinônimos adequados ao contexto:
Provas
Questão presente nas seguintes provas
1568867
Ano: 2017
Disciplina: Legislação Estadual e Distrital
Banca: UFMT
Orgão: Pref. Cáceres-MT
Disciplina: Legislação Estadual e Distrital
Banca: UFMT
Orgão: Pref. Cáceres-MT
Provas:
No tocante às responsabilidades do servidor público do Município de Cáceres previstas na Lei Complementar nº 25/1997, analise as assertivas.
I - A responsabilidade civil do servidor decorre de ato doloso ou culposo, que resulte em prejuízo ao erário ou a terceiros.
II - Nos casos de indenização em favor da Fazenda Municipal, o servidor será obrigado a repor, de uma só vez ou parceladamente, a importância do prejuízo causado em virtude de alcance, desfalque, remissão ou omissão em efetuar recolhimento ou entrada de numerário nos prazos legais.
III - Tratando-se de dano causado pelo servidor a terceiros, por dolo ou culpa, e indenizado pelo Município, responderá o servidor perante a Fazenda Pública em ação regressiva.
IV - A responsabilidade civil ou administrativa do servidor será sempre mantida, em caso de absolvição criminal, porque as sanções são independentes entre si, assim como as respectivas instâncias.
Estão corretas as assertivas
Provas
Questão presente nas seguintes provas
As alterações do tórax frequentemente evoluem com prejuízo da função respiratória, alterando os volumes e capacidades pulmonares.
A coluna da esquerda apresenta os tipos de tórax e a da direita, característica de cada um. Numere a coluna da direita de acordo com a da esquerda.
|
1 - Tórax chato ou plano
2 - Tórax em tonel
3 - Tórax infundibuliforme
4 - Tórax cariniforme (pectus carinatum)
|
( ) O esterno é proeminente e as costelas horizontalizadas.
( ) Caracteriza-se por depressão do esterno na parte inferior.
( ) Aumento exagerado do diâmetro anteroposterior, com horizontalização dos arcos costais e abaulamento da coluna dorsal.
( ) A parede anterior do tórax perde sua convexidade normal, com redução do diâmetro anteroposterior.
|
Marque a sequência correta.
Provas
Questão presente nas seguintes provas
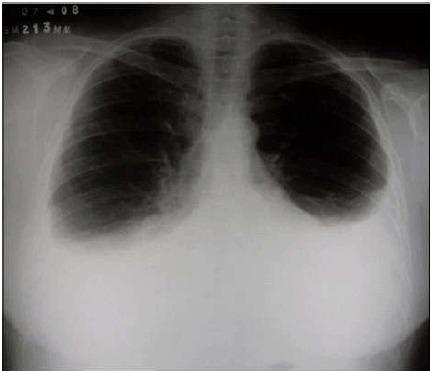
Paciente com diagnóstico prévio de Insuficiência Cardíaca Congestiva, internado no Pronto Atendimento de um Hospital público, queixa-se de piora do quadro nas últimas 12 horas. Apresenta dispneia, esforço respiratório, desconforto torácico, murmúrio vesicular abolido nas porções inferiores dos pulmões, FTV abolido com macicez a percussão. Realizado Rx de tórax mostrado na figura abaixo.

O quadro clínico e radiológico sugerem qual provável evolução da Insuficiência Cardíaca?
Provas
Questão presente nas seguintes provas
A artrite reumatoide (AR) é uma doença multissistêmica crônica de causa desconhecida. Embora haja uma variedade de manifestações sistêmicas, a característica típica é uma sinovite inflamatória persistente.
Sobre AR, marque V para as afirmativas verdadeiras e F para as falsas.
( ) Sinais e sintomas geralmente acometem as articulações proximais em uma distribuição assimétrica.
( ) Potencial inflamatório sinovial causa destruição da cartilagem e erosões ósseas.
( ) Lesões microvasculares e o aumento do número de células de revestimento constituem o início da sinovite.
( ) Tumefação, hipersensibilidade e dor que não piora ao movimento, com ausência de rigidez articular são as manifestações mais comuns.
Assinale a sequência correta.
Provas
Questão presente nas seguintes provas
Cadernos
Caderno Container