Foram encontradas 40 questões.
A vacina que deve ser administrada anualmente para determinadas faixas etárias é a vacina
Provas
Uma das diretrizes da APS é o estímulo à participação da comunidade no Sistema Único de Saúde (SUS).
Assinale a alternativa correta sobre essa temática.
Provas
Assinale a alternativa correta sobre as notificações compulsórias de doença, agravo ou evento de saúde pública.
Provas
A clínica ampliada é uma das diretrizes que a Política Nacional de Humanização propõe para qualificar o modo de se fazer saúde.
Assinale a alternativa que apresenta, corretamente, uma das características da clínica ampliada.
Provas
Garoto de 5 anos de idade é trazido à consulta pelos pais por alteração no sono. Apresenta, cerca de uma vez por semana, episódios, durante o sono, em que grita e chora como se estivesse assustado, de forma inconsolável, com pupilas dilatadas e bastante sudorese. Esses episódios duram poucos minutos, e logo a criança volta a dormir. Os eventos ocorrem cerca de 2 horas depois do início do sono, e a criança não lembra do ocorrido pela manhã.
A conduta mais adequada, neste caso é
Provas
Garoto de 6 anos de idade, com queixa de otalgia à direita há 12 dias, é trazido ao pronto-socorro, pois, há 2 dias, iniciou cefaleia, vômitos, febre e sonolência. Na avaliação, apresenta sinais de irritação meníngea, com hiperemia e edema da região retroauricular à direita. Sinais vitais são estáveis.
A conduta inicial mais adequada para o caso é
Provas
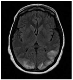
Garota de 13 anos de idade com diagnóstico recente de insuficiência renal crônica apresenta episódio de cefaleia, turvação visual e crise epiléptica tônico-clônica generalizada. A pressão arterial é de 180 x 100 mmHg. A ressonância magnética de crânio demonstra o achado a seguir.

O diagnóstico mais provável é
Provas
Qual dos achados oftalmológicos a seguir é tipicamente associado ao neuroblastoma?
Provas
Sobre a síndrome de Moyamoya, assinale a alternativa correta.
Provas
A apresentação clínica mais comum do ganglioglioma é
Provas
Caderno Container