Magna Concursos

Foram encontradas 740 questões.

3378028 Ano: 2022
Disciplina: Odontologia
Banca: IMAIS
Orgão: Pref. Santana Parnaíba-SP

A UBS é composta por

 

Provas

Questão presente nas seguintes provas
3378027 Ano: 2022
Disciplina: Odontologia
Banca: IMAIS
Orgão: Pref. Santana Parnaíba-SP

O filme radiográfico será posicionado no sentido vertical para a região dos

 

Provas

Questão presente nas seguintes provas
3378026 Ano: 2022
Disciplina: Odontologia
Banca: IMAIS
Orgão: Pref. Santana Parnaíba-SP

É o hormônio que tem sido associado ao aumento da permeabilidade da microcirculação, alterando os índices e padrões de produção do colágeno gengival, aumentando o metabolismo do folato e alterando a resposta imune. O trecho refere-se ao(à)

 

Provas

Questão presente nas seguintes provas
3378025 Ano: 2022
Disciplina: Odontologia
Banca: IMAIS
Orgão: Pref. Santana Parnaíba-SP

Assinale a alternativa que descreve corretamente o procedimento sepultamento radicular.

 

Provas

Questão presente nas seguintes provas
3378024 Ano: 2022
Disciplina: Odontologia
Banca: IMAIS
Orgão: Pref. Santana Parnaíba-SP

Das deformidades mucogengivais e condições do rebordo edêntulo que predispõe a doença periodontal, são condições ligadas ao excesso de gengiva, EXCETO,

 

Provas

Questão presente nas seguintes provas
3378023 Ano: 2022
Disciplina: Odontologia
Banca: IMAIS
Orgão: Pref. Santana Parnaíba-SP

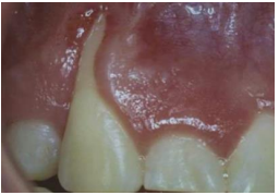
Analise a imagem abaixo, que apresenta um achado, para responder à questão 37.

Enunciado 3479169-1

(Carranza 2016).

Com base na imagem acima, verifica-se

 

Provas

Questão presente nas seguintes provas
3378022 Ano: 2022
Disciplina: Odontologia
Banca: IMAIS
Orgão: Pref. Santana Parnaíba-SP

A periodontite agressiva difere da forma crônica, principalmente, pela

I. rápida velocidade de progressão da doença observada em um indivíduo saudável.

II. presença de grandes acúmulos de placa e cálculo.

III. presença de uma história familiar de doença agressiva que sugere um traço genético.

É correto o que se afirma em

 

Provas

Questão presente nas seguintes provas
3378021 Ano: 2022
Disciplina: Odontologia
Banca: IMAIS
Orgão: Pref. Santana Parnaíba-SP

A notação dentária 22 é referente ao elemento incisivo lateral

 

Provas

Questão presente nas seguintes provas
3378020 Ano: 2022
Disciplina: Odontologia
Banca: IMAIS
Orgão: Pref. Santana Parnaíba-SP

O objetivo do tratamento periodontal para a paciente grávida é minimizar a potencial resposta inflamatória exagerada relacionada às alterações hormonais associadas à gravidez. Um meticuloso controle do biofilme, raspagem, alisamento radicular e polimento devem ser os únicos procedimentos periodontais não cirúrgicos realizados. Sobre o tratamento periodontal na gravidez, é correto afirmar que

 

Provas

Questão presente nas seguintes provas
3378019 Ano: 2022
Disciplina: Odontologia
Banca: IMAIS
Orgão: Pref. Santana Parnaíba-SP

É correto afirmar que o fibroma ossificante periférico pode desenvolver-se

 

Provas

Questão presente nas seguintes provas