Foram encontradas 70 questões.
Paciente de 23 anos, feminina, sabidamente alérgica a camarão, é
admitida no pronto-socorro após ingestão acidental de alimento
contendo o alérgeno.
Na entrada, em regular estado geral, corada, hidratada, FC 90 bpm, FR 16 irpm, SpO2 96% em ar ambiente, PA 120x60 mmHg, com aparecimento de rash urticariforme difuso, dor abdominal e 3 episódios de vômitos desde a ingestão do camarão.
A melhor conduta imediata a ser tomada para o caso descrito é administração de
Na entrada, em regular estado geral, corada, hidratada, FC 90 bpm, FR 16 irpm, SpO2 96% em ar ambiente, PA 120x60 mmHg, com aparecimento de rash urticariforme difuso, dor abdominal e 3 episódios de vômitos desde a ingestão do camarão.
A melhor conduta imediata a ser tomada para o caso descrito é administração de
Provas
Questão presente nas seguintes provas
Paciente de 26 anos, masculino, em acompanhamento
psiquiátrico irregular por esquizofrenia paranoide, admitido na
sala de emergência por quadro de surto psicótico com risco de
heteroagressão.
Na entrada, mantendo discurso desconexo, paranoide, agitado e
agressivo, com necessidade de contenção química e mecânica, PA
120x70, FC 120, FR 28, SpO2 100%, ausculta cardíaca e pulmonar
sem alterações.
Após administração de haloperidol 5 mg IM por três vezes e
clorpromazina 25 mg IM por duas vezes, paciente evolui com
melhora da agitação, porém com alteração no traçado da
cardioscopia.
Após a troca da monitorização para o carro de emergência, é
impresso o ECG da imagem:

Eletrocardiograma contínuo de uma derivação, traçado sem onda
P visualizada, com QRS alargado e amplitudes progressivamente
variáveis, ora com aumento progressivo, ora com diminuição
progressiva.
Provas
Questão presente nas seguintes provas
Paciente de 26 anos, masculino, em acompanhamento
psiquiátrico irregular por esquizofrenia paranoide, admitido na
sala de emergência por quadro de surto psicótico com risco de
heteroagressão.
Na entrada, mantendo discurso desconexo, paranoide, agitado e
agressivo, com necessidade de contenção química e mecânica, PA
120x70, FC 120, FR 28, SpO2 100%, ausculta cardíaca e pulmonar
sem alterações.
Após administração de haloperidol 5 mg IM por três vezes e
clorpromazina 25 mg IM por duas vezes, paciente evolui com
melhora da agitação, porém com alteração no traçado da
cardioscopia.
Após a troca da monitorização para o carro de emergência, é
impresso o ECG da imagem:

Eletrocardiograma contínuo de uma derivação, traçado sem onda
P visualizada, com QRS alargado e amplitudes progressivamente
variáveis, ora com aumento progressivo, ora com diminuição
progressiva.
Provas
Questão presente nas seguintes provas
Paciente de 23 anos, masculino, com antecedente de depressão e
transtorno de personalidade borderline, admitido no pronto-socorro por tentativa de autoextermínio com ingestão de cerca de
20g de paracetamol há cerca de 1 hora.
Entre outras medidas em casos de intoxicação aguda, o seguinte antídoto pode ser usado no caso descrito:
Entre outras medidas em casos de intoxicação aguda, o seguinte antídoto pode ser usado no caso descrito:
Provas
Questão presente nas seguintes provas
Paciente de 57 anos, masculino, hipertenso, com miocardiopatia
isquêmica e insuficiência cardíaca de fração de ejeção reduzida,
pouco aderente ao tratamento medicamentoso, recém-admitido
na sala de emergência trazido por familiares por desconforto
respiratório, dispneia paroxística noturna e ortopneia progressivos
há 1 semana.
Na admissão, em mau estado geral, taquidispneico com FR 35, com
uso de musculatura acessória, SpO2 92% em uso de máscara não
reinalante 15 L/min, com PA 100x60 mmHg, FC 75 bpm, ausculta
cardíaca com bulhas cardíacas hipofonéticas, sem sopros e
ausculta pulmonar com estertores bilaterais difusamente e
murmúrio vesicular diminuído em base direita.
Optou-se, então, por intubação orotraqueal. Realizado
posicionamento correto do doente, pré-oxigenação, indução e
laringoscopia direta com lâmina curva nº 4, com ajuste bimanual
da posição da via aérea. Na melhor posição encontrada,
visualizada via aérea conforme imagem a seguir.

Via aérea com visualização de epiglote, valéculas e parcial da glote,
cordas vocais.

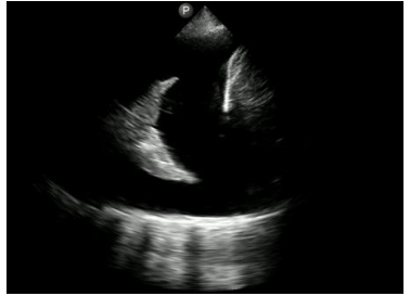
Imagem de ultrassonografia torácica com visualização de estrutura hiperecogênica triangular, com presença de regiões mais e menos hiperecogênicas de maneira intercalada, cercada por material homogeneamente hipoecogênico.
Assinale a opção que descreve o achado.
Provas
Questão presente nas seguintes provas
Paciente de 57 anos, masculino, hipertenso, com miocardiopatia
isquêmica e insuficiência cardíaca de fração de ejeção reduzida,
pouco aderente ao tratamento medicamentoso, recém-admitido
na sala de emergência trazido por familiares por desconforto
respiratório, dispneia paroxística noturna e ortopneia progressivos
há 1 semana.
Na admissão, em mau estado geral, taquidispneico com FR 35, com
uso de musculatura acessória, SpO2 92% em uso de máscara não
reinalante 15 L/min, com PA 100x60 mmHg, FC 75 bpm, ausculta
cardíaca com bulhas cardíacas hipofonéticas, sem sopros e
ausculta pulmonar com estertores bilaterais difusamente e
murmúrio vesicular diminuído em base direita.
Optou-se, então, por intubação orotraqueal. Realizado
posicionamento correto do doente, pré-oxigenação, indução e
laringoscopia direta com lâmina curva nº 4, com ajuste bimanual
da posição da via aérea. Na melhor posição encontrada,
visualizada via aérea conforme imagem a seguir.

Via aérea com visualização de epiglote, valéculas e parcial da glote,
cordas vocais.
Provas
Questão presente nas seguintes provas
Dos quadros a seguir, assinale o que mais provavelmente irá se
beneficiar da realização de ventilação não invasiva (VNI).
Provas
Questão presente nas seguintes provas
Paciente feminina, 37 anos, testemunha de Jeová, hipertensa,
diabética, com antecedente de miomatose uterina e sangramento
vaginal recorrente, procura o pronto-socorro por quadro de
astenia em piora nos últimos dias e palidez cutânea.
Ao exame físico, em regular estado geral, vigil, lúcida, orientada em tempo e espaço, hipocorada +++/4+, hidratada, ausculta cardíaca e pulmonar sem alterações, FC 87 bpm, FR 16 irpm, PA 120x75 mmHg.
Exames laboratoriais evidenciando Hb 6.7, Ht 20.8, leucócitos 7500, plaquetas 550.000, Ur 37, Cr 0.7, Na 137, K 4.1.
Assinale a opção que apresenta a conduta mais adequada.
Ao exame físico, em regular estado geral, vigil, lúcida, orientada em tempo e espaço, hipocorada +++/4+, hidratada, ausculta cardíaca e pulmonar sem alterações, FC 87 bpm, FR 16 irpm, PA 120x75 mmHg.
Exames laboratoriais evidenciando Hb 6.7, Ht 20.8, leucócitos 7500, plaquetas 550.000, Ur 37, Cr 0.7, Na 137, K 4.1.
Assinale a opção que apresenta a conduta mais adequada.
Provas
Questão presente nas seguintes provas
Sobre o manejo de pacientes com traumatismo crânio-encefálico
(TCE), é correto afirmar que
Provas
Questão presente nas seguintes provas
Paciente feminina de 57 anos, hipertensa e diabética tipo 2
insulino-dependente com tratamento irregular, admitida no
pronto socorro há 36 horas por acidente vascular encefálico
isquêmico em topografia de artéria cerebral média esquerda, fora
de tempo de trombólise.
Durante o seu plantão, a paciente evolui com rebaixamento do
nível de consciência e é entubada para proteção de vias aéreas. Ao
exame físico pós-intubação, encontra-se em RASS -5 sem
sedoanalgesia contínua, com anisocoria esquerda > direita,
mantendo hemiplegia dimidiada à direita, pressão arterial de
200x120 mmHg, FC de 65 bpm, ventilando em modo controlado,
bem acoplado e sem assincronias, com ausculta cardíaca e
pulmonar sem alterações.
Exames laboratoriais pós intubação evidenciando Hb 12.2, Ht 36,
leucócitos 9500, plaquetas 240.000, Ur 40, Cr 1.2, Na 132, K 4.2,
Mg 1.9, pH 7.30, pCO2 58, pO2 130 e HCO3 23.

Tomografia computadorizada de crânio sem contraste, com
hipodensidade fronto-parieto-temporal volumosa à esquerda,
apagamento de sulcos e desvio contralateral da linha média.
Provas
Questão presente nas seguintes provas
Cadernos
Caderno Container