Foram encontradas 80 questões.
Pode ser considerada uma característica que representa alto risco de recorrência do carcinoma papilífero de tireoide:
Provas
Asituação em que se pode recomendar a terapia de reposição hormonal na menopausa, sem contraindicações, é:
Provas
Um jovem, 25 anos, vem em consulta devido à calcemia de 10,8 mgd/dL (VR: até 10,2 mg/dL), PTH 87 pg/mL (VR: 12-88 pg/mL), redosado e confirmado; porém, é assintomático, nega histórico de nefrolitíase e traz ainda ultrassonografia de rins e vias urinárias e densitometria óssea normais. O paciente relata ainda que a mãe sempre apresentou cálcio elevado, e chegou a realizar cirurgia de retirada das paratireoides, mas persistiu com cálcio discretamente elevado mesmo após o procedimento. O diagnóstico mais provável e a conduta mais correta diante do caso são, respectivamente:
Provas
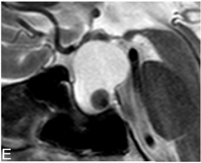
Uma mulher, 50 anos, assintomática, vem à consulta devido a um achado na ressonância magnética de hipófise. Foi observada uma imagem intrasselar, hiperintensa em T1 e T2, com nódulo intracístico, conforme a imagem a seguir:

O diagnóstico mais provável e a conduta mais adequada para este caso são, respectivamente:
Provas
Uma mulher, 38 anos, vem à consulta devido a: poliúria, cerca de 4 L de diurese por dia, sem outros sintomas, apenas relato de uso de lítio durante 2 anos, porém com suspensão há quase 5 anos. Traz Na sérico: 140 mEq/L. Foi submetida a teste com DDAVP e a urina concentrou em apenas 20%. Sobre esse quadro, a hipótese diagnóstica mais adequada é:
Provas
Considerando a ordem correta da reposição hormonal diante de um quadro panhipopituitarismo, é adequado afirmar que:
Provas
Uma mulher, 45 anos, vem ao ambulatório para consulta de rotina por galactorreia há 6 meses, e vem fazendo uso de bromoprida para episódios de plenitude pós prandial. Traz exames com os seguintes resultados: betaHCG: negativo; PRL: 55 µg/L (VR: <25 µg/L) – repetida e confirmada, após 30 minutos de repouso absoluto; taxa de recuperação: 85%. A conduta mais adequada, nesse caso, é:
Provas
Um homem, 30 anos, vem em consulta médica com endocrinologista por máculas hipercrômicas em face e dorso e face extensora dos membros, além de baixa libido, diminuição do volume testicular e redução da frequência do ato de barbear. Traz exames laboratoriais: testosterona total: 180 ng/dL (repetida); IST 60%, ferritina 680 pmol/L. O diagnóstico mais provável é:
Provas
Adosagem de testosterona sérica total ao longo do tratamento de homens hipogonádicos em uso do undecilato de testosterona deve ser realizada:
Provas
Um homem, negro, 55 anos, com hipogonadismo devido à orquite, faz uso de undecilato de testosterona trimestral. Traz exames: testosterona total 590 ng/dL e PSA2,2 ng/mL. O paciente apresentava PSA de 1 ano atrás pré-tratamento com testosterona no valor de 0,6 ng/mL. Nesse caso, a conduta mais adequada é:
Valor de referência PSA para homens negros de 50-59 anos: 0,0 até 4 ng/ml
Provas
Caderno Container