Magna Concursos

Foram encontradas 570 questões.

1412343 Ano: 2014
Disciplina: Biologia
Banca: UERJ-SGP
Orgão: UERJ

O emprego de meios de cultura sem a adição de soro (serum-free media) traz um menor custo, evita a introdução de contaminantes e exclui variáveis como diferenças entre lotes e indisponibilidade da oferta de soro. No entanto, esses meios apresentam as seguintes desvantagens:

 

Provas

Questão presente nas seguintes provas
1412282 Ano: 2014
Disciplina: Biologia
Banca: UERJ-SGP
Orgão: UERJ
Provas:

Filamentos intermediários são polímeros proteicos rígidos presentes em tipos celulares específicos, dentre os quais podemos citar:

 

Provas

Questão presente nas seguintes provas
1412281 Ano: 2014
Disciplina: Biologia
Banca: UERJ-SGP
Orgão: UERJ

Um biólogo precisa medir o nível de transcrição de um único gene que aumentou numa população de células após um tratamento in vitro. O método que deve ser utilizado para essa medição é:

 

Provas

Questão presente nas seguintes provas
1412270 Ano: 2014
Disciplina: Biologia
Banca: UERJ-SGP
Orgão: UERJ

A colocalização de proteínas é uma análise que permite definir com precisão de décimos de micrômetros a localização de duas ou mais proteínas. É recomendado o uso de microscópios confocais para esse tipo de análise por apresentarem:

 

Provas

Questão presente nas seguintes provas
1412249 Ano: 2014
Disciplina: Biologia
Banca: UERJ-SGP
Orgão: UERJ

São exemplos de marcadores Short Tandem Repeat (STR) para a tipagem de DNA não humano:

 

Provas

Questão presente nas seguintes provas
1411867 Ano: 2014
Disciplina: Biologia
Banca: UERJ-SGP
Orgão: UERJ

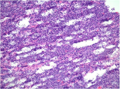
Observe a imagem abaixo:

Enunciado 1411867-1

No estudo de tecidos, é importante lembrar que o resultado final pode ser distorcido em qualquer das etapas. Com base nessa imagem, pode-se dizer que o artefato ocorreu no seguinte momento:

 

Provas

Questão presente nas seguintes provas
1411748 Ano: 2014
Disciplina: Biologia
Banca: UERJ-SGP
Orgão: UERJ

A adipogênese ocorre tanto no estágio pré-natal como no estágio pós-natal do indivíduo, e é reduzida à medida que a idade aumenta. Nesse processo, observa-se que o acúmulo de gotículas de gordura no pré-adipócito é regulado pela:

 

Provas

Questão presente nas seguintes provas
1411709 Ano: 2014
Disciplina: Biologia
Banca: UERJ-SGP
Orgão: UERJ

As células endoteliais progenitoras (EPCs) expressam várias subunidades de integrinas que podem ser ativadas e/ou reguladas em etapas específicas durante o seu recrutamento da medula óssea para sítios de reparação de tecidos.

Até o momento, a principal integrina descrita por exercer um importante papel durante a migração transendotelial de EPCs é a de cadeia beta:

 

Provas

Questão presente nas seguintes provas
1411497 Ano: 2014
Disciplina: Biologia
Banca: UERJ-SGP
Orgão: UERJ

Dois grupos de pessoas obesas foram avaliados quanto à concentração de colesterol plasmático. O grupo I foi o grupo de controle, e o grupo Il fez uso de medicamento redutor de colesterol por três meses. Após o acompanhamento dos grupos identificou-se, com base nos resultados abaixo, que não houve diferença estatística entre os grupos avaliados.

Enunciado 1411497-1

Essa conclusão é possível por conta do seguinte motivo:

 

Provas

Questão presente nas seguintes provas
1411269 Ano: 2014
Disciplina: Biologia
Banca: UERJ-SGP
Orgão: UERJ

Na coloração de Gram, os micro-organismos gram-negativos coram em:

 

Provas

Questão presente nas seguintes provas