Foram encontradas 50 questões.
O fenômeno abaixo está relacionado a:

Provas
Questão presente nas seguintes provas
Os zigue-zagues do conforto
Hoje, a ideologia do conforto varreu nossa sociedade. É um grande motor da publicidade e do consumismo. Contudo, o avanço não é linear, havendo atrasos técnicos e retrocessos. Em três áreas enguiçadas, o conforto e desconforto se embaralham.
A primeira é o conforto acústico. Raras salas de aula oferecem um mínimo de condições. Padecem os professores, pois só berrando podem ser ouvidos. Uma conversa tranquila é impossível na maioria dos restaurantes. Em muitos, não pode haver conversa de espécie alguma. O bê-á-bá do tratamento acústico é trivial. Por que temos de ser torturados por tantos decibéis malvados?
A segunda(C) é o conforto térmico. Quem gosta de sentir frio ou calor? Na verdade(A) (B), não se trata de gostar, mas de ser atropelado por imperativos culturais. Por não precisarem se impor pela vestimenta, oficiais britânicos usavam bermudas e camisas de mangas curtas nos trópicos. Mas no Rio de Janeiro, a aristocracia do Segundo Império não saía de casa sem terno, colete e sobrecasaca, todos de espessa casimira inglesa. E mais: gravata, camisa de peito duro, cartola e luvas. E se assim fazia a nobreza, o povaréu tentava imitar. Até(C) o meio século passado, as elegantes usavam casaco de pele na capital. Hoje(E), a moda deu cambalhota, o chique é sentir frio. Quanto mais(D) importante, mais gélido será o gabinete da autoridade. Mas(D) a maneira de conquistar esse conforto térmico tende a ser equivocada.
Estive em um hotel do Nordeste amplamente servido pela agradável brisa do mar e cuja propaganda é ser “ecológico”. No entanto(E), é ar condicionado dia e noite, pois a arquitetura não permite a circulação natural do ar. Pior, como na maioria das nossas edificações, o isolamento é péssimo. Um minuto desligado, e quase sufocamos de calor. Uma parede comum de alvenaria tem um décimo da resistência térmica recomendada pela Comunidade Europeia. E do excesso de vidros, nem falar!
A terceira é uma birra pessoal, já que(A) minha profissão me leva a falar em público. Os arquitetos não descobriram que o PowerPoint requer uma sala que escureça e uma iluminação que não vaze na tela. Sem isso(B), ou a projeção fica esmaecida ou, se é apagada a luz, do professor só se vê o vulto. A solução é ridiculamente simples: um spot no conferencista.
E assim vamos, aos encontrões com o desconforto, em recorrente zigue-zague.
(CASTRO, Cláudio de Moura. Veja, 11/02/2015,p.18,fragmento)
Marque a alternativa em que se registra a presença de um articulador da organização do texto:
Provas
Questão presente nas seguintes provas
Qual a informação mais aceita sobre as varicoceles
Provas
Questão presente nas seguintes provas
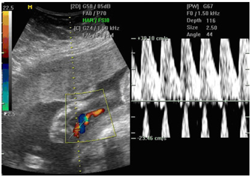
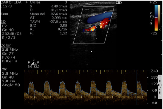
A imagem abaixo refere-se a Doppler de carótida interna

Considerando o Consenso da Sociedade de Radiologia (Society of Radiologist in Ultrasound Consensus Conference - Grant et al., 2003) o diagnóstico mais provável é de
Provas
Questão presente nas seguintes provas
Considerando-se a segmentação hepática de Couinaud sabe-se que a veia hepática direita divide
Provas
Questão presente nas seguintes provas
Os zigue-zagues do conforto
Hoje, a ideologia do conforto varreu nossa sociedade. É um grande motor da publicidade e do consumismo. Contudo, o avanço não é linear, havendo atrasos técnicos e retrocessos. Em três áreas enguiçadas, o conforto e desconforto se embaralham(D).
A primeira é o conforto acústico. Raras salas de aula oferecem um mínimo de condições. Padecem os professores, pois só berrando podem ser ouvidos. Uma conversa tranquila é impossível na maioria dos restaurantes. Em muitos, não pode haver conversa de espécie alguma. O bê-á-bá do tratamento acústico é trivial. Por que temos de ser torturados por tantos decibéis malvados?(E)
A segunda é o conforto térmico. Quem gosta de sentir frio ou calor? Na verdade, não se trata de gostar, mas de ser atropelado por imperativos culturais. Por não precisarem se impor pela vestimenta, oficiais britânicos usavam bermudas e camisas de mangas curtas nos trópicos. Mas no Rio de Janeiro, a aristocracia do Segundo Império não saía de casa sem terno, colete e sobrecasaca, todos de espessa casimira inglesa. E mais: gravata, camisa de peito duro, cartola e luvas. E se assim fazia a nobreza, o povaréu tentava imitar. Até o meio século passado, as elegantes usavam casaco de pele na capital. Hoje, a moda deu cambalhota, o chique é sentir frio. Quanto mais importante, mais gélido será o gabinete da autoridade. Mas a maneira de conquistar esse conforto térmico tende a ser equivocada.
Estive em um hotel do Nordeste(A) e (C) amplamente servido pela agradável brisa do mar e cuja propaganda é ser “ecológico”. No entanto, é ar condicionado dia e noite, pois a arquitetura não permite a circulação natural do ar. Pior, como na maioria das nossas edificações, o isolamento é péssimo. Um minuto desligado, e quase sufocamos de calor. Uma parede comum de alvenaria tem um décimo da resistência térmica(B) recomendada pela Comunidade Europeia. E do excesso de vidros, nem falar!
A terceira é uma birra pessoal, já que minha profissão me leva a falar em público. Os arquitetos não descobriram que o PowerPoint requer uma sala que escureça e uma iluminação que não vaze na tela. Sem isso, ou a projeção fica esmaecida ou, se é apagada a luz, do professor só se vê o vulto. A solução é ridiculamente simples: um spot no conferencista.
E assim vamos, aos encontrões com o desconforto, em recorrente zigue-zague.
(CASTRO, Cláudio de Moura. Veja, 11/02/2015,p.18,fragmento)
Marque a alternativa que caracteriza o texto como, predominantemente,
Provas
Questão presente nas seguintes provas
Os zigue-zagues do conforto
Hoje, a ideologia do conforto varreu nossa sociedade. É um grande motor da publicidade e do consumismo. Contudo, o avanço não é linear, havendo atrasos técnicos e retrocessos. Em três áreas enguiçadas, o conforto e desconforto se embaralham.
A primeira é o conforto acústico. Raras salas de aula oferecem um mínimo de condições. Padecem os professores, pois só berrando podem ser ouvidos. Uma conversa tranquila é impossível na maioria dos restaurantes. Em muitos, não pode haver conversa de espécie alguma. O bê-á-bá do tratamento acústico é trivial. Por que temos de ser torturados por tantos decibéis malvados?
A segunda é o conforto térmico. Quem gosta de sentir frio ou calor? Na verdade, não se trata de gostar, mas de ser atropelado por imperativos culturais. Por não precisarem se impor pela vestimenta, oficiais britânicos usavam bermudas e camisas de mangas curtas nos trópicos. Mas no Rio de Janeiro, a aristocracia do Segundo Império não saía de casa sem terno, colete e sobrecasaca, todos de espessa casimira inglesa. E mais: gravata, camisa de peito duro, cartola e luvas. E se assim fazia a nobreza, o povaréu tentava imitar. Até o meio século passado, as elegantes usavam casaco de pele na capital. Hoje, a moda deu cambalhota, o chique é sentir frio. Quanto mais importante, mais gélido será o gabinete da autoridade. Mas a maneira de conquistar esse conforto térmico tende a ser equivocada.
Estive em um hotel do Nordeste amplamente servido pela agradável brisa do mar e cuja propaganda é ser “ecológico”. No entanto, é ar condicionado dia e noite, pois a arquitetura não permite a circulação natural do ar. Pior, como na maioria das nossas edificações, o isolamento é péssimo. Um minuto desligado, e quase sufocamos de calor. Uma parede comum de alvenaria tem um décimo da resistência térmica recomendada pela Comunidade Europeia. E do excesso de vidros, nem falar!
A terceira é uma birra pessoal, já que minha profissão me leva a falar em público. Os arquitetos não descobriram que o PowerPoint requer uma sala que escureça e uma iluminação que não vaze na tela. Sem isso, ou a projeção fica esmaecida ou, se é apagada a luz, do professor só se vê o vulto. A solução é ridiculamente simples: um spot no conferencista.
E assim vamos, aos encontrões com o desconforto, em recorrente zigue-zague.
(CASTRO, Cláudio de Moura. Veja, 11/02/2015,p.18,fragmento)
A sequência textual que constitui o 4º parágrafo do texto tem a função de:
Provas
Questão presente nas seguintes provas
O diâmetro anteroposterior mínimo para o diagnóstico de aneurisma da aorta é
Provas
Questão presente nas seguintes provas
Os zigue-zagues do conforto
Hoje, a ideologia do conforto varreu nossa sociedade. É um grande motor da publicidade e do consumismo. Contudo, o avanço não é linear, havendo atrasos técnicos e retrocessos. Em três áreas enguiçadas, o conforto e desconforto se embaralham.
A primeira é o conforto acústico. Raras salas de aula oferecem um mínimo de condições. Padecem os professores, pois só berrando podem ser ouvidos. Uma conversa tranquila é impossível na maioria dos restaurantes. Em muitos(E), não pode haver conversa de espécie alguma. O bê-á-bá do tratamento acústico é trivial. Por que temos de ser torturados por tantos decibéis malvados?
A segunda é o conforto térmico. Quem gosta de sentir frio ou calor? Na verdade, não se trata de gostar, mas de ser atropelado por imperativos culturais. Por não precisarem se impor pela vestimenta, oficiais britânicos usavam bermudas e camisas de mangas curtas nos trópicos. Mas no Rio de Janeiro, a aristocracia do Segundo Império não saía de casa sem terno, colete e sobrecasaca, todos de espessa casimira inglesa. E mais: gravata, camisa de peito duro, cartola e luvas. E se assim fazia a nobreza, o povaréu tentava imitar. Até o meio século passado(A), as elegantes usavam casaco de pele na capital. Hoje(B), a moda deu cambalhota, o chique é sentir frio. Quanto mais importante, mais gélido será o gabinete da autoridade. Mas a maneira de conquistar esse conforto térmico tende a ser equivocada.
Estive em um hotel do Nordeste amplamente servido pela agradável brisa do mar e cuja propaganda é ser “ecológico”. No entanto, é ar condicionado dia e noite, pois a arquitetura não permite a circulação natural do ar. Pior, como na maioria das nossas edificações, o isolamento é péssimo. Um minuto desligado, e quase sufocamos de calor. Uma parede comum de alvenaria tem um décimo da resistência térmica recomendada pela Comunidade Europeia. E do excesso de vidros, nem falar!
A terceira é uma birra pessoal, já que minha profissão me leva a falar em público. Os arquitetos não descobriram que o PowerPoint requer uma sala que escureça e uma iluminação que não vaze na tela. Sem isso, ou a projeção fica esmaecida ou, se é apagada a luz, do professor só se vê o vulto. A solução é ridiculamente(D) simples: um spot no conferencista.
E assim(C) vamos, aos encontrões com o desconforto, em recorrente zigue-zague.
(CASTRO, Cláudio de Moura. Veja, 11/02/2015,p.18,fragmento)
Qual o advérbio ou expressão adverbial que marca a apreciação do autor sobre o conteúdo da oração?
Provas
Questão presente nas seguintes provas
Os zigue-zagues do conforto
Hoje, a ideologia do conforto varreu nossa sociedade. É um grande motor da publicidade e do consumismo. Contudo, o avanço não é linear, havendo atrasos técnicos e retrocessos. Em três áreas enguiçadas, o conforto e desconforto se embaralham.
A primeira é o conforto acústico. Raras salas de aula oferecem um mínimo de condições. Padecem os professores, pois só berrando podem ser ouvidos. Uma conversa tranquila é impossível na maioria dos restaurantes. Em muitos, não pode haver conversa de espécie alguma. O bê-á-bá do tratamento acústico é trivial. Por que temos de ser torturados por tantos decibéis malvados?
A segunda é o conforto térmico. Quem gosta de sentir frio ou calor? Na verdade, não se trata de gostar, mas de ser atropelado por imperativos culturais. Por não precisarem se impor pela vestimenta, oficiais britânicos usavam bermudas e camisas de mangas curtas nos trópicos. Mas no Rio de Janeiro, a aristocracia do Segundo Império não saía de casa sem terno, colete e sobrecasaca, todos de espessa casimira inglesa. E mais: gravata, camisa de peito duro, cartola e luvas. E se assim fazia a nobreza, o povaréu tentava imitar. Até o meio século passado, as elegantes usavam casaco de pele na capital. Hoje, a moda deu cambalhota, o chique é sentir frio. Quanto mais importante, mais gélido será o gabinete da autoridade. Mas a maneira de conquistar esse conforto térmico tende a ser equivocada.
Estive em um hotel do Nordeste amplamente servido pela agradável brisa do mar e cuja propaganda é ser “ecológico”. No entanto, é ar condicionado dia e noite, pois a arquitetura não permite a circulação natural do ar. Pior, como na maioria das nossas edificações, o isolamento é péssimo. Um minuto desligado, e quase sufocamos de calor. Uma parede comum de alvenaria tem um décimo da resistência térmica recomendada pela Comunidade Europeia. E do excesso de vidros, nem falar!
A terceira é uma birra pessoal, já que minha profissão me leva a falar em público. Os arquitetos não descobriram que o PowerPoint requer uma sala que escureça e uma iluminação que não vaze na tela. Sem isso, ou a projeção fica esmaecida ou, se é apagada a luz, do professor só se vê o vulto. A solução é ridiculamente simples: um spot no conferencista.
E assim vamos, aos encontrões com o desconforto, em recorrente zigue-zague.
(CASTRO, Cláudio de Moura. Veja, 11/02/2015,p.18,fragmento)
O pronome isso é usado para
Provas
Questão presente nas seguintes provas
Cadernos
Caderno Container