Foram encontradas 50 questões.
A trombocitopenia é caracterizada pelo(a):
Provas
Questão presente nas seguintes provas
Ao realizar um exame parasitológico de fezes, o técnico em laboratório se depara com o seguinte ovo:

Este ovo corresponde a qual parasito?
Provas
Questão presente nas seguintes provas
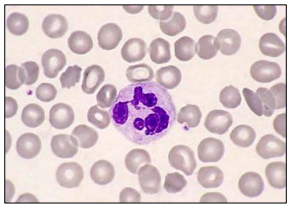
Ao realizar uma hemoscopia, a seguinte célula imunológica aparece no campo:

É correto afirmar que essa célula é um:
Provas
Questão presente nas seguintes provas
De acordo com a Resolução nº 311 do Conselho Federal de Farmácia, o técnico em laboratório seguindo a ética
profissional pode exercer as seguintes funções, EXCETO:
Provas
Questão presente nas seguintes provas
A sífilis é uma doença sexualmente transmissível provocada pela bactérias Treponema pallidum. O primeiro sintoma
é uma ferida indolor no pênis, no ânus e vulva. O teste rápido laboratorial para detecção de sífilis é:
Provas
Questão presente nas seguintes provas
O Elisa é uma técnica de Imunoensaio Enzimático (EIA) heterogêneo, muito utilizada para diagnóstico, principalmente
por causa de seu baixo custo e por detectar quantidades extremamente pequenas de antígenos ou anticorpos. Esse
exame se baseia na detecção de anticorpos ou de antígenos específicos, através da reação anticorpo-antígeno. São
cromógenos utilizados para o teste Elisa, EXCETO:
Provas
Questão presente nas seguintes provas
A peça de laboratório cuja função é aquecer substâncias a seco e com grande intensidade, podendo ser levada ao bico
de Bunsen é:
Provas
Questão presente nas seguintes provas
Sobre a coloração de GRAM, a sequência de fases correta para a técnica é:
Provas
Questão presente nas seguintes provas
Nos termos do capítulo destinado à Administração Pública na Constituição Federal, é correto afirmar que
Provas
Questão presente nas seguintes provas
“Nos termos definidos no Art. 37, §6º da Constituição Federal, o Brasil adota, em regra, a tese da responsabilidade
_______________ do Estado por danos causados a terceiros.” Assinale a alternativa que completa corretamente a
afirmativa anterior.
Provas
Questão presente nas seguintes provas
Cadernos
Caderno Container