Magna Concursos

Foram encontradas 72 questões.

2964692 Ano: 2023
Disciplina: Física
Banca: UNICAMP
Orgão: UNICAMP
Provas:

Um balão, inicialmente em repouso no solo, decola e sobe em movimento uniformemente variado. Se o balão atinge a altura h = 80 m após um tempo t = 40 s, conclui-se que a aceleração vertical do balão nesse movimento é igual a

 

Provas

Questão presente nas seguintes provas
2964691 Ano: 2023
Disciplina: Física
Banca: UNICAMP
Orgão: UNICAMP
Provas:

A prática esportiva de “pular corda” vem conquistando muitos adeptos e se tornando uma modalidade de competição. Numa prova de velocidade, um atleta consegue dar 105 saltos em 30 segundos. Considerando que o ponto da corda que passa sob os pés e acima da cabeça do praticante descreve uma trajetória circular de raio r = 90 cm, qual é a velocidade escalar desse ponto da corda?

Enunciado 3307000-1

 

Provas

Questão presente nas seguintes provas
2964690 Ano: 2023
Disciplina: Biologia
Banca: UNICAMP
Orgão: UNICAMP
Provas:

Relatório publicado pelo MapBiomas apresentou dados referentes à área de mineração – garimpo e mineração industrial – no Brasil. Os dados indicam um crescimento de 31 mil para 206 mil hectares entre 1985 e 2020.

O mapa a seguir representa os biomas brasileiros e as respectivas áreas de mineração em 2020.

Enunciado 3307015-1

(Adaptado de https://mapbiomas.org/area-ocupada-pela-mineracao-no-brasil-cresce-mais-de-6-vezes-entre-1985-e-2020. Acesso em 27/05/2022.)

Considerando as informações apresentadas e seus conhecimentos, é correto afirmar que o bioma

 

Provas

Questão presente nas seguintes provas
2964689 Ano: 2023
Disciplina: Biologia
Banca: UNICAMP
Orgão: UNICAMP
Provas:

Estudos revelaram como a disbiose – desequilíbrio da microbiota intestinal – pode influenciar no desenvolvimento de distúrbios neurodegenerativos como a doença de Parkinson. As pessoas acometidas por essa doença apresentam alterações significativas nos centros motores do cérebro.

Assinale a alternativa que preenche corretamente as lacunas no excerto a seguir.

A agregação da proteína a-sinucleína nos (i) está relacionada com a doença de Parkinson. Foi demonstrado que células específicas do tecido (ii) da mucosa intestinal podem expressar essa proteína. A disbiose pode levar ao aumento de espécies de (iii) que, eventualmente, contribuem para agregação da a-sinucleína no intestino, e essa proteína pode migrar para o (iv) , configurando um possível mecanismo de surgimento da doença de Parkinson esporádica.

(Adaptado de https://agencia.fapesp.br/estudo-revela-como-o-desequilibrio-da-micro-biota-intestinal-pode-levar-a-doenca-de-parkinson/38159/. Acesso em 07/06/2022.)

 

Provas

Questão presente nas seguintes provas
2964688 Ano: 2023
Disciplina: Biologia
Banca: UNICAMP
Orgão: UNICAMP
Provas:

As relações ecológicas podem ser representadas por modelos de fluxo de energia, cujas principais vantagens são as representações dos decompositores, da matéria orgânica armazenada no sistema e da energia dispendida para a manutenção dos organismos. O modelo hipotético a seguir indica os valores (kcal/m2/ano) de produtividade primária bruta (PPB), de produtividade primária líquida (PPL), de produtividade secundária líquida (PSL) e do fluxo de energia (setas). Os valores dentro das setas indicam a energia assimilada pelo próximo nível trófico.

Enunciado 3307013-1

Considerando os dados apresentados, é correto afirmar que a energia

 

Provas

Questão presente nas seguintes provas
2964687 Ano: 2023
Disciplina: Biologia
Banca: UNICAMP
Orgão: UNICAMP
Provas:

Cientistas desvendaram o mecanismo causador da síndrome de Pitt-Hopkins, uma disfunção neuropsiquiátrica que tem características do transtorno do espectro autista. A síndrome de Pitt-Hopkins tem como origem uma mutação no gene TCF4 e causa déficit cognitivo, atraso motor profundo, ausência de fala funcional e anormalidades respiratórias. O genoma humano tem duas cópias de cada gene. A síndrome de Pitt-Hopkins ocorre quando uma das cópias do TCF4 não funciona. Os cientistas buscam alternativas para inserir uma terceira cópia ou fazer com que a única cópia funcional expresse mais proteína para compensar a cópia defeituosa.

(Adaptado de https://agencia.fapesp.br/estudo-abre-novas-possibilidades-de-tratamento-para-forma-de-autismo/38524/. Acesso em 23/05/2022.)

Considerando as informações apresentadas e seus conhecimentos, é correto afirmar que a síndrome é causada em

 

Provas

Questão presente nas seguintes provas
2964686 Ano: 2023
Disciplina: Biologia
Banca: UNICAMP
Orgão: UNICAMP
Provas:

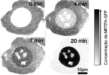
A proteína verde fluorescente, do inglês green fluorescence protein (GFP) – observada pela primeira vez na água-viva (Aequorea victoria) –, tornou-se uma das ferramentas mais importantes usadas na biociência contemporânea. Evolutivamente, a distribuição filogenética dos genes homólogos de GFP foi encontrada apenas nos filos Cnidaria, Arthropoda e Chordata.

(Adaptado de MACEL, Marie-Lyne et al. Zoological Letters, Londres. v. 6, p.2-11, 2020.)

Com o uso de biotecnologia, pesquisadores podem ligar a GFP a outras proteínas de interesse, antes invisíveis. Assim, esse marcador brilhante permite a observação dos movimentos, das posições e das interações das proteínas marcadas. A figura a seguir apresenta a variação da localização celular da proteína MRTFA-GFP em função do tempo. Após um estímulo em t = 0 min, a localização da proteína MRTFA-GFP se modifica devido ao seu correto enovelamento (quando a estrutura de uma proteína assume a sua configuração funcional).

(Adaptado de INFANTE, Elvira et al. Nature Physics, Londres, v. 15, p. 973-981, set. 2019.)

Enunciado 3307011-1

Sobre a localização celular da proteína MRTFA-GFP entre o tempo inicial (t = 0 min) e o final (t = 20 min), assinale a alternativa correta.

 

Provas

Questão presente nas seguintes provas
2964685 Ano: 2023
Disciplina: Biologia
Banca: UNICAMP
Orgão: UNICAMP
Provas:

A proteína verde fluorescente, do inglês green fluorescence protein (GFP) – observada pela primeira vez na água-viva (Aequorea victoria) –, tornou-se uma das ferramentas mais importantes usadas na biociência contemporânea. Evolutivamente, a distribuição filogenética dos genes homólogos de GFP foi encontrada apenas nos filos Cnidaria, Arthropoda e Chordata.

(Adaptado de MACEL, Marie-Lyne et al. Zoological Letters, Londres. v. 6, p.2-11, 2020.)

Considerando a distribuição filogenética do gene GFP, é correto afirmar a hipótese de origem em

 

Provas

Questão presente nas seguintes provas
2964684 Ano: 2023
Disciplina: Biologia
Banca: UNICAMP
Orgão: UNICAMP
Provas:

Na transformação de energia luminosa em energia química pelas plantas, há uma série de reações de redução e oxidação. Para que a cadeia transportadora de elétrons nos cloroplastos ocorra, os elementos que a compõem estão arranjados nas membranas dos tilacóides, de acordo com o seu potencial redox. Na atividade fotoquímica, o oxigênio é produzido, assim como moléculas essenciais para a manutenção do metabolismo celular, como o ATP e o NADPH.

O doador primário e o aceptor final de elétrons são, respectivamente,

 

Provas

Questão presente nas seguintes provas
2964683 Ano: 2023
Disciplina: Biologia
Banca: UNICAMP
Orgão: UNICAMP
Provas:

O papilomavírus humano (HPV) é um grupo de vírus muito comum no mundo. Existem muitos tipos de HPV e a maioria deles não causa problemas ao organismo humano. Porém, os tipos de HPV 16 e 18 estão associados com 70% dos casos de cânceres de colo do útero e lesões genitais pré-cancerosas.

(Adaptado de https://www.paho.org/pt/topicos/hpv-e-cancer-do-colo-do-utero. Acesso em 01/06/2022.)

É correto afirmar que o HPV é transmitido

 

Provas

Questão presente nas seguintes provas