Magna Concursos

Foram encontradas 749 questões.

2483678 Ano: 2014
Disciplina: Engenharia Cartográfica
Banca: DIRENS Aeronáutica
Orgão: CIAAR

Curvas de nível, entendidas como o lugar geométrico de todos os pontos que possuem a mesma cota ou altitude, são determinadas pelas interseções de planos horizontais equidistantes com a superfície do terreno. Em relação à equidistância, informe se é verdadeiro (V) ou falso (F) o que se afirma abaixo. A seguir, assinale a alternativa que apresenta a sequência correta.

( ) É a distância vertical constante entre os planos verticais sucessivos, que determinaram os pontos de passagem das curvas de nível representados na planta.

( ) Representa as distâncias verticais entre curvas de nível sucessivas.

( ) Depende do rigor com que se pretende representar o relevo do terreno e também da escala usada no desenho.

( ) Conforme a natureza do trabalho, ela já é prefixada.

( ) Em cartas batimétricas, que representa o relevo submarino, a equidistância varia de 1 a 2 metros perto da costa, até atingir valores de 500 metros.

 

Provas

Questão presente nas seguintes provas
2483667 Ano: 2014
Disciplina: Odontologia
Banca: DIRENS Aeronáutica
Orgão: CIAAR
Provas:

Nos casos de próteses parciais removíveis com apenas seis elementos dentais remanescentes sendo eles 31, 32, 33, 41, 42 e 43 quanto à sua forma de moldagem, preencha as lacunas abaixo e, em seguida, assinale a alternativa correta. Deverá ser utilizada a técnica de moldagem sob compressão com a finalidade de captar a em seu estado de trabalho e, também, estabelecer os limites precisos da .

 

Provas

Questão presente nas seguintes provas
2483653 Ano: 2014
Disciplina: Odontologia
Banca: DIRENS Aeronáutica
Orgão: CIAAR
Provas:

Segundo Misch (2008) , os primeiros molares são os dentes que primeiro sofrem perdas dentárias, sendo, geralmente, preparados para receber coroa total, porém a falha na restauração é a principal causa da perda dentária do indivíduo adulto. A indicação da utilização de implantes unitários nessas reposições justifica-se por, exceto:

 

Provas

Questão presente nas seguintes provas
2483596 Ano: 2014
Disciplina: TI - Redes de Computadores
Banca: DIRENS Aeronáutica
Orgão: CIAAR
No cabeçalho do IPv4 existe um campo chamado Opções que foi projetado para permitir que versões posteriores do protocolo pudessem incluir informações inexistentes no projeto original, possibilitando a experimentação de novas ideias e evitando a locação de bits de cabeçalho para informações raramente necessárias. Nesse campo existe uma opção de nome Loose source routing. Assinale a alternativa que apresenta a descrição correta dessa opção.
 

Provas

Questão presente nas seguintes provas
2483593 Ano: 2014
Disciplina: Pedagogia
Banca: DIRENS Aeronáutica
Orgão: CIAAR
Provas:
Considerando o planejamento como método da práxis pedagógica, informe se é verdadeiro (V) ou falso (F) o que se afirma abaixo. A seguir, assinale a alternativa que apresenta a sequência correta.
( ) O fator decisivo para a significação do planejamento é a percepção por parte do sujeito da necessidade de mudança.
( ) O planejamento é sempre uma hipótese, por isso pode se transformar em algo dogmático.
( ) Para resgatar o lugar na prática escolar, há um elemento fulcral que é o professor se colocar como sujeito do processo educativo.
( ) A análise da possibilidade real de mudança trata-se de uma postura crítica e transformadora que integra dois momentos do planejamento: a análise concreta do presente e a antecipação.
 

Provas

Questão presente nas seguintes provas
2483589 Ano: 2014
Disciplina: Radiologia
Banca: DIRENS Aeronáutica
Orgão: CIAAR

Os aparelhos panorâmicos funcionam com o mesmo princípio, mas diferem em como o movimento rotacional é modificado para formar a imagem da arcada dentária. Assinale o princípio de rotação que produz imagens com maior grau de detalhes.

 

Provas

Questão presente nas seguintes provas
2483556 Ano: 2014
Disciplina: Radiologia
Banca: DIRENS Aeronáutica
Orgão: CIAAR

Sobre a função das bobinas receptoras menores ou bobinas de superfície utilizadas no exame de ressonância magnética, analise as afirmativas.

I. Aumenta o sinal da região examinada onde a bobina se localiza.

II. Diminui o tempo do exame.

III. Diminui a quantidade de ruído na imagem.

IV. Aumenta a quantidade de detalhes da região examinada.

Estão corretas somente as afirmativas

 

Provas

Questão presente nas seguintes provas
2483528 Ano: 2014
Disciplina: Psicologia
Banca: DIRENS Aeronáutica
Orgão: CIAAR
Provas:
Preencha as lacunas abaixo e, em seguida, assinale a alternativa correta.
Segundo o autor Schultz & Schultz (apud, Carl Rogers – 1961), a maior força motivadora da personalidade é o impulso para a do self. Embora essa ânsia pela seja inata, pode ser ou por experiências da infância e por aprendizagem.
 

Provas

Questão presente nas seguintes provas
2483508 Ano: 2014
Disciplina: TI - Organização e Arquitetura dos Computadores
Banca: DIRENS Aeronáutica
Orgão: CIAAR

Protocolo é um conjunto de regras que governa a conversa entre duas partes. Uma pilha de protocolos é uma hierarquia de protocolos que trata de questões diferentes em camadas diferentes. O sistema PCI Express tem uma pilha de protocolos em camadas, com exceção da camada

 

Provas

Questão presente nas seguintes provas
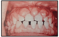
2483482 Ano: 2014
Disciplina: Odontologia
Banca: DIRENS Aeronáutica
Orgão: CIAAR
Provas:

Observe a figura abaixo.

Enunciado 2792112-1

(Carranza et al. 2007.)

A condição apresentada é comum em pacientes que, além da inflamação gengival, utilizam alguns medicamentos. Qual é essa condição?

 

Provas

Questão presente nas seguintes provas