Foram encontradas 60 questões.
Em relação ao transplante de órgãos, é correto afirmar que:
Provas
Paciente, 85 anos, sexo masculino, história prévia de diabetes tipo 2 e fibrilação atrial crônica, procurou atendimento com quadro de dor abdominal difusa, intensa (9+/10+) com início há 12 horas e piora há 3 horas, associada a vômitos importantes. Está agitado, sudorético, bastante incomodado com a dor. Ao exame físico, hipocorado (+/4+), taquipneico (31 irpm), taquicárdico (122bpm), afebril (Tax 36,3°C), hipotenso (90x60 mmHg). Ausculta cardíaca mostrou arritmia, e ausculta pulmonar com murmúrio vesicular sem ruídos adventícios. Abdome globoso, sem cicatrizes, ruídos hidroaéreos ausentes, timpanismo à percussão, dor a palpação superficial e profunda de todo abdome, sem rigidez. Sinal de Jobert negativo, sinal de Carnett negativo, sinal de Murphy negativo, sinal de Rovsing negativo, sinal de Gray-Turner negativo. Realizada passagem de cateter nasogástrico, que evidenciou saída de secreção enegrecida e fétida de característica fecalóide. Exames laboratoriais mostraram hemoglobina de 11,4 g%, hematócrito de 34%, leucócitos de 16.100 sem desvio para a esquerda. Amilase 184 U/L, creatinina 2,2 mg%, potássio de 3,4 mEq/L, sódio 138 mEq/L, uréia 32 mg%, RNI 1,1, glicemia 162 mg%, PCR 324,7 mg%. Gasometria: pH 7,10, pCO2 44 mmHg, bicarbonato 13,7, excesso de base -15,6 mEq/L, lactato 16mEq/L
Em relação à dor abdominal desse paciente, é correto afirmar que:
Provas
A síndrome compartimental abdominal, que pode ser definida como uma pressão intra-abdominal com aumento consistente do valor da PIA superior a 12 mmHg, é secundária à várias afecções e, eventualmente, apresenta piora com evolução para o óbito.
Assinale Verdadeiro (V) ou Falso (F) para as afirmativas abaixo e, em seguida, marque a opção que apresenta a sequência correta.
( ) A compressão da veia cava inferior e da veia porta tem como resultado redução da complacência ventricular esquerda, reduzindo a contratilidade e aumentando o débito cardíaco.
( ) O aumento da pressão intratorácica por deslocamento ascendente do diafragma é causa de redução da perfusão mesentérica, acidose intramucosa grave, edema intestinal e translocação bacteriana.
( ) O aumento da pressão intratorácica por deslocamento ascendente do diafragma é causa de hipóxia, hipercapnia e acidose.
( ) A Compressão direta dos rins e obstrução do fluxo venoso renal, produz diminuição do fluxo plasmático e do débito urinário.
( ) A compressão da vasculatura mesentérica leva a redução do débito cardíaco e do índice cardíaco.
Provas
Tendo como base os princípios de beneficência, não maleficência, autonomia e justiça que norteiam a postura ética do médico, assinale como Verdadeiro (V) ou Falso (F) o que se afirma abaixo.
Em seguida, marque a opção que apresenta a sequência correta.
( ) Segundo o princípio da não maleficiência, a prática cirúrgica reconhece o envolvimento cada vez maior do paciente na tomada de decisão em relação aos cuidados de saúde e concorda que o direito de escolha seja compartilhado entre o cirurgião e o paciente.
( ) Segundo o princípio da justiça, o cirurgião consciencioso, competente e ético deve saber lidar com a situação onde um colega esteja velho demais ou muito enfermo para operar com segurança, ou pensar sobre inovações cirúrgicas.
( ) Pelo princípio da beneficência, os cirurgiões devem assumir sua capacidade de serem decisivos e reconhecerem o seu papel nos cuidados apropriados ao final da vida e em desenvolver padrões para os cuidados cirúrgicos paliativos.
( ) De acordo com o princípio da autonomia, um médico pode escolher transferir os cuidados do paciente para outro médico se ele ficar desconfortável com a decisão do paciente a respeito da intervenção, não devendo impor sua decisão terapêutica ao paciente.
Provas
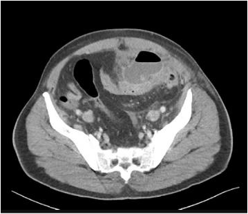
Paciente, 58 anos, chega ao pronto atendimento com história de dor em fossa ilíaca esquerda, que piorou progressivamente nas últimas 48 horas, sem febre. O exame físico mostrou abdome pouco distendido, doloroso à palpação difusa, dor à palpação mais localizada em fossa ilíaca esquerda, onde o sinal de Blumberg apresenta-se positivo.
O hemograma mostra contagem de leucócitos de 13.500/mm3 com 867 bastões, e a dosagem do PCR foi de 23 mg%. Foi solicitada a TC de abdome mostrada abaixo.

Fonte: https://doi.org/10.53347/ID.52993
Acesso em abril 2022
Em relação ao caso, é correto afirmar que:
Provas
A pancreatite crônica promove um grau variável de destruição do parênquima e alteração fibrótica no pâncreas. Uma infinidade de procedimentos cirúrgicos foi desenvolvida ao longo do tempo e hoje são aplicados no tratamento da doença.
Associe as colunas relacionando as opções cirúrgicas com as respectivas alterações clínico-morfológicas.
Opções cirúrgicas
(1) Beger com modificação de Berne
(2) Frey
(3) Puestow ou Partington-Rochelle
(4) Whipple
Alterações clínico-morfológicas
( ) Ducto pancreático difusamente dilatado, sem obstrução biliar e sem massa em cabeça do pâncreas.
( ) Massa inflamatória em cabeça do pâncreas, sem dilatação do ducto pancreático ou dilatação do ducto biliar.
( ) Massa inflamatória em cabeça de pâncreas, dilatação de ducto pancreático, sem dilatação de ducto biliar
( ) Massa inflamatória em cabeça de pâncreas com dilatação de ducto pancreático e dilatação de ducto biliar
A sequência correta dessa classificação é:
Provas
Paciente de 45 anos, sexo masculino, dá entrada em serviço de urgência com história de acidente de motocicleta com suspeita de fratura de bacia. Apresenta-se com Pressão arterial de 90x60 mmHg, com sinais de choque leve. É realizada punção de subclávia e, logo após o procedimento, paciente evolui com dispneia aguda e hipóxia, evoluindo rapidamente para hipotensão.
Em relação ao quadro não é correto afirmar que:
Provas
Em relação aos cuidados pós-operatórios do paciente com comorbidades, qual opção abaixo apresenta a conduta correta?
Provas
A compreensão das alterações orgânicas secundárias ao trauma cirúrgico permite uma abordagem mais global do paciente e uma melhor condução do pós-operatório.
Em relação à resposta endócrino metabólica ao trauma, é correto afirmar que:
Provas
Em relação aos tumores estromais do tubo digestivo (GIST) localizados no estômago, é correto afirmar que:
Provas
Caderno Container