Foram encontradas 60 questões.
A Febre Reumática (FR) e a Cardiopatia Reumática Crônica (CRC) são complicações não supurativas da faringoamigdalite, causada pelo estreptococo beta-hemolítico do grupo A, e decorrem de resposta imune tardia a esta infecção em populações geneticamente predispostas. Sobre a duração da profilaxia secundária, informe verdadeiro (V) ou falso (F) para as assertivas abaixo e, em seguida, marque a opção que apresenta a sequência correta.
( ) Em pacientes submetidos à cirurgia valvar, a duração é para a vida toda.
( ) Em paciente com lesão valvar residual moderada a grave até os 35 anos.
( ) Em paciente com FR sem cardite prévia até os 21 anos ou até 10 anos, após o último surto.
( ) Em paciente com FR com cardite prévia; insuficiência mitral leve residual ou resolução da lesão valvar, manter até os 25 anos ou até 10 anos após último surto.
Provas
A angiotomografia computadorizada de coronárias é um exame de baixo risco e acurado para excluir casos de doença coronária. Entretanto, é necessário saber indicá-lo para o melhor benefício do paciente.
Marque a opção que apresenta a indicação com o maior nível de evidência de benefício para se solicitar uma angiotomografia de coronárias.
Provas
A síncope vasovagal (SVV) é a causa mais comum de síncope entre todas as etiologias. A incidência pode variar de 21 a 35%, acometendo geralmente pessoas jovens e saudáveis. Sobre a utilização do teste de inclinação (Tilt test) para diagnóstico e manuseio da SVV, marque a opção correta.
Provas
Pacientes com hipertireoidismo têm um risco maior de desenvolver fibrilação atrial (FA).
Sobre o hipertireoidismo e FA, informe verdadeiro (V) ou falso (F) para as assertivas abaixo e, em seguida, marque a opção que apresenta a sequência correta.
( ) A cardioversão a ritmo sinusal é preferível quando se atingir um estado eutireoideo.
( ) Os betabloqueadores cardiosseletivos são superiores aos não cardiosseletivos em controlar sintomas.
( ) A anticoagulação não é tão eficaz na prevenção de AVC, como nos pacientes sem hipertireoidismo.
( ) Há reversão espontânea a ritmo sinusal, cerca de 1 a três semanas após regularização dos hormônios tireoidianos.
Provas
Os aneurismas da aorta ascendente podem ter etiologias variadas, entretanto o risco de ruptura é o desfecho mais temido. Há diâmetros críticos para que se indique uma correção cirúrgica profilática, prevendo uma futura ruptura espontânea catastrófica, dependendo da condição de base que levou ao aneurisma. Sobre os diâmetros limites para ressecção profilática do aneurisma de aorta ascendente nas diversas etiologias, assinale a opção correta.
Provas
O uso do ecocardiograma transesofágico(ETE) no intraoperatório de cirurgias valvulares já é atualmente consenso na prática, não só nos procedimentos mais delicados como plastias, como também nas demais situações para avaliação imediata do resultado do procedimento. Sobre o uso do ETE durante as cirurgias cardíacas, assinale a afirmativa correta, informe verdadeiro (V) ou falso (F) para as assertivas abaixo e, em seguida, marque a opção que apresenta a sequência correta.
( ) A maior evidência de benefício é a utilização nas cirurgias valvares.
( ) O benefício do uso do ETE durante o implante do TAVI não foi inferior à angiotomografia.
( ) Apesar do benefício nas cirurgias cardíacas, houve aumento no tempo de circulação extracorpórea com o uso do ETE.
( ) O benefício de se utilizar o ETE durante as cirurgias de revascularização miocárdica foi semelhante às valvares, em um estudo prospectivo.
Provas
A monitorização ambulatorial da pressão arterial (MAPA) e a Monitorização Residencial da Pressão Ambulatorial (MRPA) são ferramentas frequentemente utilizadas no diagnóstico e seguimento da Hipertensão Arterial (HA).
Sobre a MAPA e MRPA é correto afirmar que
Provas
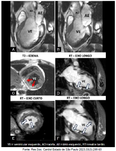
Paciente, 53 anos, sexo feminino, não hipertensa, não diabética, não tabagista, evoluindo com quadro de insuficiência cardíaca, do tipo restritiva de difícil controle, encaminhada para implante de marcapasso, devido a um Bloqueio atrioventricular (BAVT). Trouxe uma radiografia de tórax com micronódulos pulmonares difusos e um ecocardiograma feito no interior que mostrava uma miocardiopatia dilatada com FE=38%, com alterações segmentares de contratilidade. Cineangiocoronariografia normal. Foi solicitada a ressonância magnética cardíaca para esclarecimento diagnóstico, antes do implante do marcapasso e biópsia.

Após análise do caso clínico e da ressonância cardíaca realizada e apresentada acima, qual o diagnóstico mais provável?
Provas
A suspeita clínica do diagnóstico de miocardite baseia-se na associação da apresentação clínica com exames complementares alterados sugestivos de lesão inflamatória miocárdica. Sobre as principais alterações nos exames complementares na miocardite, informe verdadeiro (V) ou falso (F) para as assertivas abaixo e, em seguida, marque a opção que apresenta a sequência correta.
( ) No ECG são comuns alterações do segmento ST e intervalo PR como infra ou supradesnivelamento.
( ) Enzimas de injúria miocárdica elevadas e BNP e proBNP normais.
( ) Disfunção valvar e disfunção de músculo papilar ao ECO.
( ) Realce tardio positivo e Edema Miocárdico à ressonância.
Provas
Paciente, sexo masculino, 56 anos, motorista de coletivo, não tabagista, etilista social, não diabético, procura unidade de saúde com relato de ser hipertenso de longa data e ter abandonado o tratamento desde a pandemia do covid-19. Encontra-se assintomático e necessita de atestado para renovar carteira de habilitação. A pressão arterial encontra-se 150/110mmHg. Trouxe o ECG abaixo.

Após analisar o ECG, qual seria o próximo exame cardiológico a ser solicitado?
Provas
Caderno Container