Foram encontradas 60 questões.
A doença de Parkinson foi, por muito tempo, definida como um distúrbio eminentemente motor. Os sintomas não motores da Doença de Parkinson foram definidos com o tempo e impactam a qualidade de vida dos pacientes que, muitas vezes, não melhoram com a terapêutica específica (levodopa, agonistas dopaminérgicos). Sobre o assunto, informe verdadeiro (V) ou falso (F) para as assertivas abaixo e, em seguida, marque a opção que apresenta a sequência correta.
( ) A dor é um sintoma incapacitante e comum, ocorrendo tardiamente na evolução da doença, geralmente do tipo musculoesquelética, relacionada à rigidez muscular e bradicinesia.
( ) As disfunções gastrointestinais são comuns e estão relacionadas ao comprometimento muscular do trato gastrointestinal, e o sintoma mais comum é a constipação ou defecação dissinérgica.
( ) As disfunções urológicas estão presentes na evolução da doença de Parkinson e o sintoma mais comum é a noctúria (em torno de 60%), e a administração de agonistas - D2 pode piorar a disfunção vesical.
( ) A disfagia ocorre em quase 100% dos pacientes e pode cursar com sialorreia grave, que tem a aplicação de toxina botulínica em cada glândula parótida e em cada glândula submandibular como primeira opção de tratamento, e também pode ser tratada com o uso de Atropina a 1% em colírio (10mg/ml), ou brometo de ipratropio (atrovent em spray nasal a 0,06%) ou butilbrometo de escopolamina (Buscopan 10mg;ml).
( ) As disautonomias são as principais complicações não motoras da Doença de Parkinson e dentre elas a hipotensão ortostática, ocasionada pela denervação difusa noradrenérgica do ventrículo esquerdo, alterações na natriurese e diurese de pressão por perda de neurotransmissores específicos, liberação subótima de noradrenalina quando o paciente se mantém em posição ortostática, redução do número de neurônios catecolaminérgicos do núcleo do trato solitário, dentre outros mecanismos de perda de autorregulação cerebral.
Provas
As doenças abaixo podem cursar com miopatia inflamatória durante a sua evolução, exceto:
Provas
Paciente, sexo feminino,18 anos, há 6 meses apresentando abalos involuntários nos membros superiores pela manhã. Notou que, quando dormia menos, apresentava maior frequência destes eventos. Há uma semana participou de uma festa, fez uso de bebida alcoólica e foi dormir às 2 horas da manhã. Ao acordar às 6 horas da manhã apresentou crise convulsiva tônica clônica generalizada. Em relação ao caso é correto afirmar que nesse tipo de epilepsia
Provas

A lissencefalia completa ou agiria consiste em um cérebro liso com córtex espesso, sem giros ou sulcos secundários. Pode ocorrer isoladamente ou fazer parte da síndrome de
Provas
Paciente, sexo masculino, 69 anos, hipertenso, atendido com quadro de vertigem, vômitos e mal-estar. Após avaliação foi medicado com metoclopramida, dimenidrinato e clonazepam. Recebeu alta com melhora parcial e diagnóstico de labirintite. Retorna no dia seguinte com incapacidade de marcha, vertigem, rebaixamento do nível de consciência e descerebração bilateral. Tomografia de crânio revelou hiperdensidade da artéria basilar. Considerando o caso clínico, marque a opção correta.
Provas
Paciente, 14 anos, destra, previamente hígida, vacinada há 1 mês contra febre amarela, desenvolveu quadro de agitação psicomotora e verborragia, disnomia e hemiparesia direita, poucas horas da admissão hospitalar. Esses sintomas caracterizam a
Provas
Os fatores citados abaixo estão associados à demência, exceto o(a)
Provas
A recidiva das crises epilépticas é mais comum em pacientes
Provas
É um critério de exclusão para a indicação da estimulação cerebral profunda na Doença de Parkinson o(a)
Provas

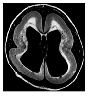
Paciente, 67 anos, hipertenso prévio, dá entrada no pronto atendimento com quadro súbito de hemiparesia esquerda, com a tomografia ilustrada na figura acima, e PA de 180x120 mmHg. Diante do quadro é correto afirmar que:
Provas
Caderno Container