Foram encontradas 60 questões.
A doação de órgãos no Brasil se difere de vários outros países. O Decreto nº 9.175, de 18 de outubro de 2017 dispõe sobre a remoção de órgãos, tecidos e partes do corpo humano para fins de transplante e tratamento e dá outras providências, regulamentando a Lei nº 9.434, de 4 de fevereiro de 1997. De acordo com a citada legislação
Provas
Paciente, sexo feminino, 66 anos, comparece à unidade de pronto atendimento queixando-se de cefaleia progressiva com piora recente, além de paresia do membro superior direito. O exame neurológico demonstra hemiparesia e hemi-hipoestesia braquiocrural à direita. Tomografia revela lesão expansiva em região frontoparietal esquerda. Considerando a epidemiologia, o diagnóstico mais provável é
Provas
A mielopatia paraneoplásica que se manifesta com síndrome sensitiva rapidamente progressiva, disfunção esfincteriana, paraplegia ou quadriplegia flácida ou espástica é denominada de
Provas
A doença do neurônio motor com maior sobrevida é a
Provas
Preencha as lacunas abaixo.
Os fármacos anticrises convulsivas indutores enzimáticos são ____________, ____________ e ____________.
A sequência de palavras que preenche corretamente as lacunas é:
Provas
A condição clínica ou sistêmica que pode estar associada à síndrome das pernas inquietas (SPI) é o(a)
Provas
O medicamento frequentemente associado ao distúrbio alimentar ligado ao sono, no qual há episódios recorrentes de alimentação involuntária é o(a)
Provas
O distúrbio do sono caracterizado por intrusão do sono REM durante a vigília e no qual há paralisia completa ou parcial da musculatura esquelética, frequentemente desencadeadas por emoções fortes positivas (como o gargalhar) e raramente emoções negativas (como raiva, susto e frustração) é o(a)
Provas
A escala NIHSS (National Institute of Health Stroke Scale) é composta por 11 itens que somam um total de 42 pontos e padroniza a avaliação dos pacientes com AVC isquêmico, possibilitando predizer prognóstico, recanalização ou reoclusão arterial. Um paciente alerta, que respondeu corretamente o mês e sua idade, respondeu aos dois comandos, sem alteração visual, sem alteração da movimentação extraocular, visão preservada, paralisia facial central esquerda, hemiplégico a esquerda, sem ataxias, hipoestesia esquerda, e disartria leve, possui o NIHSS de
Provas

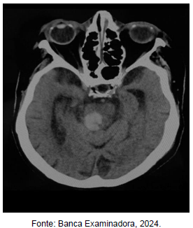
Com base na figura acima, em qual região do tronco cerebral está localizada a hemorragia?
Provas
Caderno Container