Foram encontradas 73 questões.
Considerando a indicação da cirurgia minimamente invasiva nas situações de urgência traumática e não traumática de tórax e abdome, é correto afirmar que
Provas
Paciente 24 anos, sexo feminino, vítima de trauma abdominal fechado (atingida por suporte de rede de dormir), foi admitida na unidade de emergência levemente cianótica, ventilando espontaneamente, taquipnéica, taquicárdica, hipotensa, com hemoglobina de 7,1g%.
A ação mais apropriada para essa paciente é
Provas
Sobre o controle e o tratamento da Retocolite Ulcerativa Inespecífica (RCUI), é correto afirmar que
Provas
Nos pacientes com hemorragia digestiva alta por varizes do esôfago, a melhor opção terapêutica é:
Provas
Paciente do sexo masculino, 56 anos, portador de cirrose hepática alcoólica e insuficiência renal crônica por diabetes, em hemodiálise, com indicação de transplante duplo de Fígado / Rim.
Sobre esse caso, é correto afirmar que
Provas
Em relação aos anestésicos locais, é correto afirmar que
Provas
Homem de 62 anos, com história de ICC por miocardiopatia dilatada idiopática familiar. No momento, em CF III.
Ao exame: dispneico. TA: 100 x 70 mmHg. FC: 88 bpm, FR: 30 irpm.
MVBD creptos 1/3 de ambos HTX
RCR em 2t, sopros sistólico grau III FM.
Exames: ECG: ritmo sinusal, QRS: 110 ms
Sobre a ICC nesse paciente, analise as assertivas e identifique com V as verdadeiras e com F as falsas.
( ) Esse paciente se beneficia de terapia de ressincronização.
( ) A insuficiência mitral deve ser por disfunção de músculo papilar.
( ) O nitrato e a hidralazina têm impacto na redução de mortalidade.
( ) A digoxina, os inibidores de enzima de conversão e os betabloqueadores são drogas que reduzem a mortalidade.
( ) A espironolactona tem impacto em sobrevida devendo ser introduzida em paciente com CF III e IV e fração de ejeção < 35%.
A alternativa que contém a sequência correta, de cima para baixo, é
Provas
Sobre os marcadores de necrose miocárdica, é correto afirmar que
Provas
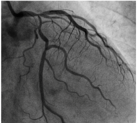
Homem de 47 anos, previamente assintomático, vem à emergência com história de dor precordial há cerca de uma semana com piora progressiva.
Hipertenso, com história familiar para DAC. Colesterol total: 280mg/dl. Realizou cineangiocoronariografia com a imagem apresentada na figura 1.
Figura 1

Fonte: Korean Circ J. 2013 Nov;43(11):761-765. English.
A melhor conduta terapêutica, nesse caso, considerando o conjunto ausência de sintomas e melhora de sobrevida, é
Provas
Paciente, 46 anos, hipertenso, diabético. Evoluindo em casa com queixa de dor torácica e dispneia intensa nas últimas 12 horas. Levado ao hospital onde foi diagnosticado infarto agudo do miocárdio sem supra de segmento ST. CKMB e troponina elevadas.
Em relação ao diagnóstico e conduta, analise as assertivas e identifique com V as verdadeiras e com F as falsas.
( ) A troponina positiva não determina prognóstico.
( ) A troponina mantem-se elevada de sete a 14 dias.
( ) O exame de escolha inicial é a Cineangiocoronariografia.
( ) Os pacientes de baixo risco devem ser abordados, assim que possível, com estratégia invasiva.
( ) O paciente deve ser submetido a um teste provocativo de isquemia como, por exemplo, uma cintilografia do miocárdio.
A alternativa que contém a sequência correta, de cima para baixo, é
Provas
Caderno Container