Magna Concursos

Foram encontradas 30 questões.

3296795 Ano: 2024
Disciplina: Medicina
Banca: IBADE
Orgão: Cisdeste
Provas:
O tromboembolismo venoso é o terceiro principal diagnóstico vascular, após infarto e derrame. Esse quadro acontece quando um coágulo se forma em uma veia, prejudicando o fluxo de sangue pelo organismo e caso não seja tratada corretamente, essa condição pode se agravar causar óbito. No que se refere a essa doença, assinale V para as informações verdadeiras e F para as falsas e marque a alternativa correspondente.

(__) A Embolia pulmonar (EP) ocorre quando o coágulo atinge uma veia profunda, geralmente na perna. Ali, compromete a circulação sanguínea, bloqueando total ou parcialmente o fluxo.
(__) A Trombose venosa profunda (TVP) ocorre quando o trombo se desprende das paredes do vaso onde se formou e percorre a circulação sanguínea, atingindo o pulmão. Ali, compromete o fluxo de sangue e pode causar a morte.

(__) A trombose venosa profunda atinge as pernas, tanto as coxas quanto panturrilhas, e tende a se manifestar em um lado do corpo de cada vez, podendo apresentar na região afetada: dor, vermelhidão, inchaço e endurecimento, calor.

(__) O diagnóstico de tromboembolismo venoso, constitui-se por avaliação clínica do paciente e a partir da suspeita de trombose venosa profunda ou embolia pulmonar, a confirmação do diagnóstico deve ser feita por meio de exames complementares, incluindo: Exames de imagem, como ultrassonografia vascular com doppler, angiografia pulmonar e venografia com contraste, além da dosagem do dímero-D.

(__) São fatores de risco à formação de coágulos: Idade avançada, Obesidade, Tabagismo (fumantes); Câncer ou distúrbios autoimunes, Gravidez e puerpério, Uso de contraceptivos orais, Uso de hormônios via oral na menopausa, Cirurgia recente, Histórico familiar de tromboembolismo venoso.
 

Provas

Questão presente nas seguintes provas
3296794 Ano: 2024
Disciplina: Medicina
Banca: IBADE
Orgão: Cisdeste
Provas:
No que tange a uma determinada doença, é sabido que é um distúrbio neurológico desmielinizante autoimune crônico, provocado por mecanismos inflamatórios e degenerativos que comprometem a bainha de mielina, região que reveste os neurônios das substâncias branca e cinzenta do sistema nervoso central. Cabe mencionar que alguns locais no sistema nervoso podem ser alvo preferencial da desmielinização característica da doença: o cérebro, o tronco cerebral, os nervos ópticos e a medula espinhal, o que explica os sintomas mais frequentes:


Enunciado 3699797-1


Fonte: https://www.einstein.br/doencas-sintomas acesso em 25 de abril de 2024.



A qual doença se refere a descrição acima?
 

Provas

Questão presente nas seguintes provas
3296793 Ano: 2024
Disciplina: Medicina
Banca: IBADE
Orgão: Cisdeste
Provas:
Para um paciente do sexo masculino, com idade de 61 anos, hipertenso, relatando estar apresentando edema nos membros inferiores há 6 meses, acompanhados de fadiga e oligúria, além de uma perda expressiva e involuntária de peso, náuseas e inapetência há aproximadamente cerca de um mês, foram solicitados os seguintes exames:

- hemograma; - glicemia em jejum; - sumário de urina; - volume urinário, proteinúria e clearance de creatinina na urina de 24 horas; - dosagem dos níveis séricos de sódio, potássio, creatinina, ureia, cálcio e fósforo; - radiografia simples de tórax em PA e perfil; - hemogasometria arterial.
Como resultado, obteve-se:

O hemograma revelou eritropenia (3,6 milhões/mm³) e anemia (Hb = 9,5 g/dL; hematócrito = 30%). Glicemia = 90 mg/dL.
O sumário de urina revelou proteinúria e cilindrúria. O exame de urina 24 horas revelou volume urinário de 500 mL, proteinúria (relação albumina-creatinina = 250mg/g) e clearance de creatinina igual 17,0 ml/min/1,73m². Sódio = 130 mEq/L, potássio = 6,0 mEq/L, cálcio = 8,0 mg/L, fósforo = 5,5 mg/dL, ureia = 150 mg/dL e creatinina sérica = 4,0 mg/dL.
A radiografia de tórax evidenciou presença de infiltrado pulmonar intersticial em lobo inferior de ambos os pulmões.
A hemogasometria arterial apresentou os seguintes resultados: pH = 7,2; [HCO3– ] = 20 mEq/L; pCO2 = 37 mmHg; base excess (BE) = -3,0; ânion gap (AG) = 10.

Indique a alternativa que apresenta a suspeita diagnóstica desse caso clínico:
 

Provas

Questão presente nas seguintes provas
3296792 Ano: 2024
Disciplina: Medicina
Banca: IBADE
Orgão: Cisdeste
Provas:
Um agricultor chegou ao hospital relatando ter sido picado por uma serpente conhecida como jararaca comum (Bothrops jararaca) e apresentando os seguintes sintomas: dor e inchaço local (pé), manchas arroxeadas e sangramento no ferimento, além de sangramento na gengiva e urina escura. O paciente levou o animal morto possibilitando a confirmação do acidente botrópico e início da conduta médica. Assinale S – sim e N – não, para quais os exames complementares na conduta clínica desse tipo de acidente ofídico e em seguida marque a alternativa correspondente.

(__) Tempo de Coagulação (TC): de fácil execução, sua determinação é importante para elucidação diagnóstica e para o acompanhamento dos casos.
(__) Hemograma: geralmente revela leucocitose com neutrofilia e desvio à esquerda, hemossedimentação elevada nas primeiras horas do acidente e plaquetopenia de intensidade variável.
(__) Exame sumário de urina: pode haver proteinúria, hemafúria e leucocitúria.
(__) Ionograma, dosagem de uréia e creatinina, visando à possibilidade de detecção da insuficiência renal aguda.
(__) Métodos de imunodiagnóstico: antígenos do veneno botrópico podem ser detectados no sangue ou outros líquidos corporais por meio da técnica de ELISA.
 

Provas

Questão presente nas seguintes provas
3296791 Ano: 2024
Disciplina: Medicina
Banca: IBADE
Orgão: Cisdeste
Provas:
Ainda sobre as síndromes paraneoplásicas, sabe-se que há uma alta prevalência sobre o Sistema Endócrino, sendo a Síndrome de Cushing umas das possíveis consequências. Assinale a alternativa que indica a caracterização biológica do que resulta nesse quadro:
 

Provas

Questão presente nas seguintes provas
3296790 Ano: 2024
Disciplina: Medicina
Banca: IBADE
Orgão: Cisdeste
Provas:
Estima-se que aproximadamente 20% dos pacientes com câncer sofrem síndromes paraneoplásicas, que são manifestações sistêmicas secundárias a neoplasias malignas. Além disso, compreende-se pela ciência que tais síndromes têm maior ocorrência em alguns tipos de câncer, que incluem:

- carcinoma pulmonar (mais comum), especialmente câncer de pulmão de células pequenas - carcinoma de células renais - carcinoma hepatocelular - leucemia - linfomas - câncer de mama - câncer de ovário - cânceres neuroendócrinos - câncer de estômago - câncer pancreático


Sobre isso, analise as afirmativas e marque a alternativa equivalente às informações corretas.

I - A conduta de tratamento baseia-se no controle do câncer subjacente, podendo-se buscar o controle de alguns sintomas a partir da utilização de fármacos específicos (p. ex., ciproeptadina ou análogos de somatostatina para síndrome carcinoide, bisfosfonatos e corticoides para hipercalcemia).

II - Síndromes paraneoplásicas incluem exclusivamente febre, sudorese noturna, anorexia e caquexia. Tais surgem provavelmente pela liberação de linfocinas envolvidas na resposta inflamatória ou imunitária, ou por mediadores envolvidos em mortes das células tumorais, como o fator de necrose tumoral (FNT)-alfa.

III – O prurido é o sintoma cutâneo mais comum apresentado por pacientes com câncer (p. ex., leucemia, doença de Hodgkin, neoplasias mieloproliferativas e linfomas) e pode também resultar de hipereosinofilia ou mastocitose.
 

Provas

Questão presente nas seguintes provas
3296789 Ano: 2024
Disciplina: Medicina
Banca: IBADE
Orgão: Cisdeste
Provas:
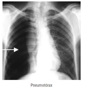
De uma maneira simples, um quadro de pneumotórax ocorre quando há uma lesão da pleura e em consequência disso, o ar, que deveria estar apenas no dentro do pulmão, começa a vazar para a cavidade torácica. Marque a alternativa que agrupa sintomas que identificam/sugerem um quadro de pneumotórax:


Enunciado 3699792-1


Fonte: https://www.mdsaude.com/pneumologia/pneumotorax acesso em 25 de abril de 2024.
 

Provas

Questão presente nas seguintes provas
3296788 Ano: 2024
Disciplina: Medicina
Banca: IBADE
Orgão: Cisdeste
Provas:
Uma determinada doença apresenta como alterações mais comuns nos exames laboratoriais, especialmente na fase tardia:

- elevação das bilirrubinas totais com predomínio da fração direta, podendo atingir níveis elevados;
- plaquetopenia;
- leucocitose, neutrofilia e desvio à esquerda
- gasometria arterial, mostrando acidose metabólica e hipoxemia;
- aumento de ureia e creatinina.


Dentre as doenças abaixo listadas, qual se relaciona à suspeita diagnóstica diante das alterações apresentadas?
 

Provas

Questão presente nas seguintes provas
3296787 Ano: 2024
Disciplina: Medicina
Banca: IBADE
Orgão: Cisdeste
Provas:
Trata-se de um distúrbio autoimune, ou seja, o sistema imunológico do próprio corpo ataca parte do sistema nervoso, que são os nervos que conectam o cérebro com outras partes do corpo. É geralmente provocado por um processo infeccioso anterior e manifesta fraqueza muscular, com redução ou ausência de reflexos. Várias infecções têm sido associadas a essa doença. A incidência anual é de 1-4 casos por 100.000 habitantes e pico entre 20 e 40 anos de idade. A qual doença se relaciona a descrição anterior?
 

Provas

Questão presente nas seguintes provas
3296786 Ano: 2024
Disciplina: Medicina
Banca: IBADE
Orgão: Cisdeste
Provas:
Uma área muito importante da medicina diz respeito ao atendimento ao paciente tendo em vista que requer uma abordagem multidisciplinar e rápida para garantir a melhor chance de recuperação para o paciente acometido. Caracteriza-se como politraumatismo uma síndrome multissistêmica, que engloba várias lesões consecutivas e que afeta tanto órgãos quanto sistemas vitais. Acerca desse tema, assinale a alternativa correta:
 

Provas

Questão presente nas seguintes provas