Foram encontradas 1.000 questões.
De acordo com a I Diretriz de Ressuscitação Cardiopulmonar e Cuidados Cardiovasculares de Emergência da Sociedade Brasileira de Cardiologia, de 2013, assinale a alternativa correta.
Provas
Questão presente nas seguintes provas
Mulher em monoterapia com Trastuzumab intravenoso apresenta xerose cutânea. Para o tratamento dessa complicação, o enfermeiro deve orientar o
Provas
Questão presente nas seguintes provas
Assinale a alternativa INCORRETA.
Provas
Questão presente nas seguintes provas
Uma pessoa emétrope que aos 40 anos começou a sentir dificuldade para enxergar objetos em visão de perto é
Provas
Questão presente nas seguintes provas
A erisipela é uma infecção aguda da pele envolvendo a derme e o subcutâneo, que se caracteriza por febre, anorexia, calafrios entre outros sintomas gerais. Sobre a erisipela, informe se é verdadeiro (V) ou falso (F) o que se afirma a seguir e assinale a alternativa com a sequência correta.
( ) A erisipela é uma doença que é transmitida de pessoa a pessoa.
( ) Tem como fator etiológico os estreptococos beta-hemolíticos do grupo A.
( ) Tem como complicações o linfedema ou elefantíase, como consequência dos surtos recidivantes.
( ) O modo de transmissão da erisipela é a penetração do estreptococo na pele picada do mosquito pertencente ao gênero Anopheles.
Provas
Questão presente nas seguintes provas
Em relação à radiografia de tórax e considerações anatômicas, assinale a alternativa INCORRETA.
Provas
Questão presente nas seguintes provas
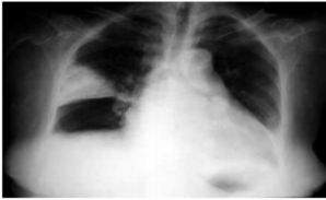
Paciente de 45 anos, dispneico. Feito apenas raio-x e ECG porque o laboratório está fechado. Qual é o provável diagnóstico, pelo raio-x e qual seria a alteração mais comum no ECG?

Provas
Questão presente nas seguintes provas
Na hepatite B, os exames: anti-HBcIgM +, HBsAg +
e HBeAg + significam
Provas
Questão presente nas seguintes provas
Luiz, 50 anos, etilista, hipertenso e tabagista,
chegou ao pronto-socorro taquicárdico, sudoreico,
com queixa de intensa dor em andar superior do
abdôme, de início súbito, com náuseas associadas.
Ao exame: PA 107/65mmHg, T 37,9ºC, FR 24ipm,
FC 118bpm, MV+bilat sem RA; BCR s/s, Abd:
globoso, doloroso em epigastro, defesa voluntária,
RHA+, normotimpânico, descompressão brusca
duvidosa, equimose periumbilical.
Provas
Questão presente nas seguintes provas
Pacientes ambulatorais e hospitalares
desenvolvem cada vez mais frequentemente
infecções com germes multirresistentes. Nesse
cenário, o uso de profilaxia antimicrobiana, que já
era controverso, ganha mais argumentos contra
promoção de resistência bacteriana, mas há
situações clássicas que indicam seu uso. Com
referência a esse assunto, assinale a alternativa
correta.
Provas
Questão presente nas seguintes provas
Cadernos
Caderno Container