Foram encontradas 840 questões.
Em relação à utilização da ultrassonografia com contraste de microbolhas na pediatria, assinale a afirmativa correta.
Provas
Em relação à utilidade do Trabecular Bone Score (TBS) no manejo da osteoporose, assinale a afirmativa correta.
Provas
Em relação às técnicas intervencionistas utilizadas na realização da gastrostomia percutânea, assinale a afirmativa correta.
Provas
Em relação aos achados mamográficos de sarcomas da mama, assinale a afirmativa correta.
Provas

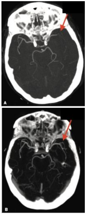
Nessa angiotomografia computadorizada de paciente com acidente vascular encefálico isquêmico agudo pode-se observar
Provas
Nos dias atuais, a cirurgia endoscópica dos seios da face é considerada a técnica de escolha para o tratamento de rinossinusite crônica resistente a tratamentos clínicos.
Em relação à análise do teto etmoidal por tomografia computadorizada, assinale a afirmativa correta.
Provas
O papel da ressonância magnética (MRI) no manejo do traumatismo cranioencefálico (TCE), é:
Provas
Margarete, 22 anos, foi internada após tentar suicídio com a ingesta de 40 comprimidos de Captopril e 40 comprimidos de Atenolol pertencentes a sua mãe.
Ao sair da unidade de terapia intensiva, foi solicitado o parecer da psiquiatria.
Nesse caso, avalie se uma boa conduta do psiquiatra inclui os seguintes cuidados:
I. dar alta hospitalar à paciente somente após o risco de nova tentativa suicida ter sido devidamente estimado;
II. o psiquiatra não deve interpretar a motivação da paciente (se manipulação, por exemplo), porém deve basear sua avaliação no mapeamento de fatores protetivos o de risco para suicídio, além, obviamente, da presença ou ausência de um transtorno mental de base;
III. no caso de a paciente relatar ao médico que ainda pensa em suicídio, mesmo possuindo um bom suporte familiar, devido a gravidade do caso, o psiquiatra deve cogitar internação hospitalar.
Está correto o que se afirma em
Provas
Das drogas a seguir, a mais indicada para tratamento de dor crônica é
Provas
Acerca da importância das imagens iniciais de tomografia computadorizada (CT) em pacientes com traumatismo cranioencefálico (TCE) agudo, assinale a afirmativa correta.
Provas
Caderno Container