Foram encontradas 840 questões.
Uma pessoa morreu e outras 50 ficaram doentes três a quatro dias depois de terem lanchado em lojas do McDonald's, de 10 diferentes estados nos EUA. A doença se caracterizou por provocar febre, náuseas, vômitos, diarreia e sangue nas fezes. O surto ocorreu após o consumo do lanche Quarter Pounder. As autoridades sanitárias investigaram os casos, e levantaram a suspeita de que as cebolas do lanche, que são servidas cruas, e adquiridas de um único fornecedor, que atende a três centros de distribuição, estivessem contaminadas.
Fonte: G1, 24/10/2024.
Sobre as possíveis causas do surto descrito nos EUA, é correto afirmar que
Provas
Um paciente está fazendo aplicações de ultrassom para tratar contratura do gastrocnêmio / sóleo.
Assinale a opção que apresenta um fator que pode comprometer o desfecho favorável.
Provas
Homem de 45 anos, natural da área rural, procedente de uma grande cidade, onde reside há 25 anos, é encaminhado a um hospital de grande porte para avaliação de quadro de astenia, perda de peso, aparecimento de lesões maculopapulares hipercrômicas disseminadas, predominando em tronco, hepatomegalia e linfoadenopatia generalizada.
Relata ser infectado pelo HIV há cinco anos, que iniciou terapia antirretroviral quando o diagnóstico foi firmado, em Unidade Básica de Saúde, e que nos últimos dois anos abandonou por completo o tratamento e o seguimento ambulatorial. Refere ainda que, há cerca de cinco semanas, ao procurar a unidade de saúde onde recebia seu esquema terapêutico, foram reiniciadas as mesmas drogas que tomava anteriormente. Com o surgimento dos sintomas atuais, o paciente foi imediatamente referenciado para o hospital terciário para investigação e tratamento. Trouxe consigo exames recentes com contagem de CD4 de 174 cél/mm3 , carga viral inferior a 20 cópias/ml, VDRL negativo, FL-LAM em urina negativo, FL-CrAg em soro negativo. Biópsia ganglionar, realizada na internação, evidenciou, no histopatológico, processo inflamatório granulomatoso, com presença de estruturas leveduriformes, bem visualizadas na técnica de coloração por impregnação pela prata.
Em relação ao quadro descrito, é correto afirmar que
Provas
Homem de 28 anos é trazido a uma emergência de hospital de grande porte com relato de febre alta (até 39 °C), de início súbito, acompanhada de calafrios, há 5 dias. Relata ainda vômitos não relacionados à alimentação, mialgia generalizada, mais intensa em abdome e membros inferiores, impedindo a deambulação. Na anamnese dirigida, refere tosse não produtiva, taquicardia, diminuição do débito urinário, eliminação de urina “cor de coca-cola”. É estivador do cais do porto de Paranaguá (PR) e relata a presença de ratos no local de trabalho. Nega viagens recentes. Cartão de vacinação atualizado para as vacinas recomendadas para adultos no PNI. Ao exame físico, icterícia rubínica, sufusão hemorrágica em conjuntiva ocular à direita, ritmo cardíaco irregular (FC 115 bpm), sem sopros à ausculta cardíaca, pulmões com murmúrio vesicular rude, sem estertoração, dor à palpação de panturrilhas, abdome com dor à palpação superficial, sem visceromegalias ou descompressão abrupta dolorosa.
O resultado de exame laboratorial que fala contra a hipótese principal é:
Provas
Duas semanas depois de um período chuvoso, um homem de 48 anos procura uma Unidade de Pronto Atendimento com quadro iniciado há 4 dias com febre alta de início súbito, com calafrios, acompanhada de vômitos pós alimentares e mialgia em grandes grupos musculares, muito intensa na perna direita. Quando indagado, refere que a última vez que urinou havia sido 8 horas antes do atendimento, “uma urina cor de mate”. Refere ter ajudado os vizinhos a desobstruir diversas manilhas nas imediações de sua casa há 10 dias. Antecedente de alcoolismo moderado. Ao exame, corado, desidratado, ictérico 2+/4, com sufusões hemorrágicas conjuntivais, pulmões limpos, taquicardia, sopro sistólico +++/4, em foco mitral, fígado palpável há 3 cm do RCD, traube ocupado e dor intensa à palpação da panturrilha direita, onde se percebe uma escoriação, com edema, calor e eritema circunjacentes.
A conduta terapêutica imediata mais adequada para o caso é
Provas
A Secretaria de Saúde do Estado de São Paulo notificou a ocorrência de morte em primatas não-humanos, entre o Natal e o Ano Novo de 2024, em uma área de mata do campus da Universidade de São Paulo (USP), em Ribeirão Preto (SP). Amostras dos animais mortos foram encaminhadas ao Instituto Adolfo Lutz (IAL). Esse é mais um evento que demonstra a possível presença da zoonose no sul de Minas e municípios limítrofes do estado de São Paulo. O ProMED-PORT vem reportando ocorrência de casos em primatas não-humanos e humanos desde 2023.
Fonte: G1 [06/01/2025]
A zoonose sobre a qual a notificação provavelmente se refere é a
Provas
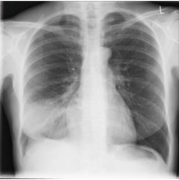
Mulher de 29 anos procura uma Unidade de Pronto Atendimento referindo, há dois dias, febre “alta”, de início súbito, acompanhada de tosse produtiva com expectoração amarelada e leve dor em terço médio de hemitórax direito, na inspiração profunda. Informa ter tido um quadro gripal poucos dias antes. Nega comorbidades, etilismo ou tabagismo. Contudo, relata ter tido um exantema maculopapular, no segundo dia de tratamento com amoxicilina, prescrita para um quadro de angina de evolução arrastada, na adolescência.
Ao exame: bom estado geral, embora abatida e com fácies de doença aguda. Corada, hidratada, anictérica, acianótica, eupneica. Ap Resp: MV universalmente audível, com estertoração crepitante em terço inferior à direita, onde se ausculta broncofonia. ACV, abdome e membros sem alterações. Sinais vitais: FC: 104 bpm; PA: 120/80 mmHg; FR: 20 irpm TAx: 39,0°C. Ao término do exame físico, foi submetida à radiografia de tórax, testes rápidos para Influenza e COVID-19 e coletada amostra de escarro para realização de bacterioscopia pelo método de Gram.

Os resultados evidenciaram:
Testes rápidos: COVID-19 – Negativo. / Influenza – Negativo.
Gram da amostra de escarro: No pequeno aumento, presença de mais de 50 neutrófilos/campo e menos de cinco células epiteliais/campo. No maior aumento (imersão), numerosos diplococos gram-positivos, vários deles intraleucocitários. Raros bastonetes gram-negativos exclusivamente extra-leucocitários.
A conduta terapêutica preconizada para essa paciente é
Provas
Homem de 35 anos, pesando 65 quilos, acaba de ser definido como caso de hanseníase, com a classificação operacional de multibacilar (MB), grau de incapacidade física estabelecido (escore = 4,0 na escala OMP), na ausência de reações hansênicas.
Após a notificação do Sinam, o esquema terapêutico a ser iniciado pelos profissionais de saúde que prestam o atendimento deve ser:
Provas
O protocolo de manejo insulínico adequado para o manejo da cetoacidose diabética é:
Provas
A melhor abordagem de manejo clínico para uma paciente de dez anos que apresenta placas eritematosas e pruriginosas nos cotovelos e face flexora dos joelhos e que pioram à noite, cujo quadro não melhorou com o uso de cremes hidratantes, é:
Provas
Caderno Container