Foram encontradas 2.178 questões.
A síndrome de Reye é uma doença pediátrica rara e potencialmente fatal definida como encefalopatia não inflamatória aguda com insuficiência hepática gordurosa.
O patologista australiano R.D.K. Reye descreveu essa síndrome pela primeira vez em 1963. A síndrome de Reye geralmente se apresenta em crianças como vômitos e confusão mental com rápida progressão para coma e morte.
A fisiopatologia exata da síndrome de Reye não é conhecida com precisão; no entanto, parece envolver lesão mitocondrial no contexto de uma doença viral (em geral influenza ou varicela) associada ao uso de m medicamento que pode causar ou perpetuar danos às mitocôndrias celulares, resultando na inibição do metabolismo de ácidos graxos. As características neurológicas da síndrome de Reye provavelmente resultam da disfunção mitocondrial hepática que causa níveis elevados de amônia.
A hiperamonemia pode induzir edema cerebral difuso e subsequente pressão intracraniana elevada. Essa síndrome geralmente começa nos dias seguintes à recuperação de uma doença viral durante a qual um determinado medicamento foi administrado.
O diagnóstico é clínico e de exclusão, não há exames específicos. A vigilância nacional da síndrome de Reye começou nos Estados Unidos no início dos anos 1970 e levou a advertências estritas sobre o uso de certos medicamentos em crianças, tornando essa síndrome rara hoje em dia, porém não há uma sistematização de notificação desse diagnóstico bem como rede de vigilância sobre esta doença, de tal forma que pode haver casos atuais não diagnosticados.
Assim, a escolha deve ser o uso de
O patologista australiano R.D.K. Reye descreveu essa síndrome pela primeira vez em 1963. A síndrome de Reye geralmente se apresenta em crianças como vômitos e confusão mental com rápida progressão para coma e morte.
A fisiopatologia exata da síndrome de Reye não é conhecida com precisão; no entanto, parece envolver lesão mitocondrial no contexto de uma doença viral (em geral influenza ou varicela) associada ao uso de m medicamento que pode causar ou perpetuar danos às mitocôndrias celulares, resultando na inibição do metabolismo de ácidos graxos. As características neurológicas da síndrome de Reye provavelmente resultam da disfunção mitocondrial hepática que causa níveis elevados de amônia.
A hiperamonemia pode induzir edema cerebral difuso e subsequente pressão intracraniana elevada. Essa síndrome geralmente começa nos dias seguintes à recuperação de uma doença viral durante a qual um determinado medicamento foi administrado.
O diagnóstico é clínico e de exclusão, não há exames específicos. A vigilância nacional da síndrome de Reye começou nos Estados Unidos no início dos anos 1970 e levou a advertências estritas sobre o uso de certos medicamentos em crianças, tornando essa síndrome rara hoje em dia, porém não há uma sistematização de notificação desse diagnóstico bem como rede de vigilância sobre esta doença, de tal forma que pode haver casos atuais não diagnosticados.
Assim, a escolha deve ser o uso de
Provas
Questão presente nas seguintes provas
Em 2004, foi registrado nos Estados Unidos o primeiro relato de tratamento de raiva humana em paciente que não recebeu vacina ou soro antirrábico e evoluiu para cura. A descrição detalhada da terapêutica realizada nessa paciente foi publicada no Protocolo de Milwaukee. No Brasil, em 2008, foi confirmada raiva em um paciente do estado de Pernambuco.
A investigação demonstrou que o caso se vinculava à mordida de morcego hematófago. Após confirmação diagnóstica laboratorial, foi iniciado o protocolo de tratamento de Milwaukee adaptado à realidade brasileira, denominado Protocolo de Recife, Protocolo de Tratamento da Raiva Humana no Brasil (Brasil, 2011), resultando no primeiro registro de cura de raiva humana no País. Em 2017, ocorreu o segundo caso de cura com sequelas neurológicas: um adolescente com histórico de espoliação de morcego hematófago, morador de área ribeirinha, no estado do Amazonas, com diagnóstico laboratorial para raiva (Brasil, 2011). Esse Protocolo pode ser aplicado frente a casos confirmados da doença e sob orientação da Secretaria de Vigilância em Saúde e Ambiente do Ministério da Saúde (SVSA/MS).
O diagnóstico da raiva pode ser feito de diversas maneiras, entretanto, a técnica do RT-hN-PCR (Reverse Transcription hemiNested PCR, ou em português: transcrição reversa seguida de PCR hemi-aninhada) foi aplicada em alguns estudos de diagnóstico ante-mortem da raiva humana, aumentando em respectivamente 98% e 100% a sensibilidade e especificidade no diagnóstico.
A técnica funciona da seguinte maneira: primeiro, extrai-se RNA viral da amostra, e utiliza-se a enzima transcriptase reversa para convertê-lo em DNA complementar (cDNA) por RT-PCR. Este cDNA é amplificado com um par de primers externos por PCR. A seguir, o produto da primeira PCR é submetido a uma segunda rodada de PCR usando um par de primers, dos quais um é interno (aninhado) em relação aos originais (Hemi-nested PCR), isso aumenta significativamente a especificidade e a sensibilidade da detecção. Esse protocolo – exatamente esse tipo de combinação – pode ser usado para detectar o vírus rábico, empregando RT-PCR com primers voltados ao gene da glicoproteína (G) e RT-PCR seguido de hemi-nested PCR (hnRT-PCR) com primers para o gene da nucleoproteína (N) do vírus da raiva
Nesse caso, o seguinte material biológico deve ser preferencialmente coletado e encaminhado ao laboratório:
A investigação demonstrou que o caso se vinculava à mordida de morcego hematófago. Após confirmação diagnóstica laboratorial, foi iniciado o protocolo de tratamento de Milwaukee adaptado à realidade brasileira, denominado Protocolo de Recife, Protocolo de Tratamento da Raiva Humana no Brasil (Brasil, 2011), resultando no primeiro registro de cura de raiva humana no País. Em 2017, ocorreu o segundo caso de cura com sequelas neurológicas: um adolescente com histórico de espoliação de morcego hematófago, morador de área ribeirinha, no estado do Amazonas, com diagnóstico laboratorial para raiva (Brasil, 2011). Esse Protocolo pode ser aplicado frente a casos confirmados da doença e sob orientação da Secretaria de Vigilância em Saúde e Ambiente do Ministério da Saúde (SVSA/MS).
O diagnóstico da raiva pode ser feito de diversas maneiras, entretanto, a técnica do RT-hN-PCR (Reverse Transcription hemiNested PCR, ou em português: transcrição reversa seguida de PCR hemi-aninhada) foi aplicada em alguns estudos de diagnóstico ante-mortem da raiva humana, aumentando em respectivamente 98% e 100% a sensibilidade e especificidade no diagnóstico.
A técnica funciona da seguinte maneira: primeiro, extrai-se RNA viral da amostra, e utiliza-se a enzima transcriptase reversa para convertê-lo em DNA complementar (cDNA) por RT-PCR. Este cDNA é amplificado com um par de primers externos por PCR. A seguir, o produto da primeira PCR é submetido a uma segunda rodada de PCR usando um par de primers, dos quais um é interno (aninhado) em relação aos originais (Hemi-nested PCR), isso aumenta significativamente a especificidade e a sensibilidade da detecção. Esse protocolo – exatamente esse tipo de combinação – pode ser usado para detectar o vírus rábico, empregando RT-PCR com primers voltados ao gene da glicoproteína (G) e RT-PCR seguido de hemi-nested PCR (hnRT-PCR) com primers para o gene da nucleoproteína (N) do vírus da raiva
Nesse caso, o seguinte material biológico deve ser preferencialmente coletado e encaminhado ao laboratório:
Provas
Questão presente nas seguintes provas
A aspiração de conteúdo gástrico ácido durante a cirurgia pode resultar em pneumonite química (síndrome de Mendelson) que se desenvolve rapidamente, em geral é transitória. O principal mecanismo fisiopatológico envolvido na síndrome de Mendelson é a lesão pulmonar aguda por ácido e partículas de material gástrico. A magnitude do acometimento é diretamente relacionada ao pH e ao volume do conteúdo aspirado. Acredita-se que sejam necessários pH menor que 2,5 e quantidade maior que 0,3 mL/ kg (20–25 mL em adultos) para desencadear a doença.
A agressão pulmonar é bifásica: primeiro pico (uma a duas horas após aspiração), resultado do efeito cáustico direto na interface alvéolo-capilar. Posteriormente, ocorre o segundo pico (quatro a seis horas), associado a infiltrado de neutrófilos no alvéolo e interstício pulmonar, com achados histológicos característicos de inflamação aguda. Em 48 horas pode haver a formação de membrana hialina.
Uma paciente com 28 anos de idade, frequentadora de academia há 10 anos, sem histórico de doenças, foi realizar cirurgia de mamoplastia e apresentou engasgo seguido de dispneia rapidamente progressiva, cianose e perda de consciência devido broncoaspiração durante procedimento de intubação orotraqueal. Foi verificado que o procedimento foi conduzido por um R2 de cirurgia plástica que além de não sedar adequadamente para o procedimento não elaborou uma simples pergunta sobre o jejum à paciente. O mesmo foi suspenso pois tomou medida sem aval do Staff e do anestesista que não estavam na sala cirúrgica na hora do procedimento.
Felizmente a paciente recuperou rapidamente o estado de consciência após aspiração de vias aéreas, sendo verificada a eliminação de corpo estranho (restos alimentares) após crise de tosse. Ao exame físico, apresentava dispneia, sons respiratórios reduzidos associados a roncos e crepitações difusas. Obviamente a cirurgia foi suspensa. Foi iniciado tratamento de suporte com O2 suplementar e nebulização. A radiografia de tórax mostrou infiltrado intersticial de padrão nodular confluente. TC de tórax com imagem em vidro fosco e nódulos centrolobulares de contornos indefinidos bilateralmente em segmentos basais posteriores, não houve febre ou leucocitose.
O infectologista chamado para dar um parecer sobre o uso de antibióticos nesse caso indicou corretamente
A agressão pulmonar é bifásica: primeiro pico (uma a duas horas após aspiração), resultado do efeito cáustico direto na interface alvéolo-capilar. Posteriormente, ocorre o segundo pico (quatro a seis horas), associado a infiltrado de neutrófilos no alvéolo e interstício pulmonar, com achados histológicos característicos de inflamação aguda. Em 48 horas pode haver a formação de membrana hialina.
Uma paciente com 28 anos de idade, frequentadora de academia há 10 anos, sem histórico de doenças, foi realizar cirurgia de mamoplastia e apresentou engasgo seguido de dispneia rapidamente progressiva, cianose e perda de consciência devido broncoaspiração durante procedimento de intubação orotraqueal. Foi verificado que o procedimento foi conduzido por um R2 de cirurgia plástica que além de não sedar adequadamente para o procedimento não elaborou uma simples pergunta sobre o jejum à paciente. O mesmo foi suspenso pois tomou medida sem aval do Staff e do anestesista que não estavam na sala cirúrgica na hora do procedimento.
Felizmente a paciente recuperou rapidamente o estado de consciência após aspiração de vias aéreas, sendo verificada a eliminação de corpo estranho (restos alimentares) após crise de tosse. Ao exame físico, apresentava dispneia, sons respiratórios reduzidos associados a roncos e crepitações difusas. Obviamente a cirurgia foi suspensa. Foi iniciado tratamento de suporte com O2 suplementar e nebulização. A radiografia de tórax mostrou infiltrado intersticial de padrão nodular confluente. TC de tórax com imagem em vidro fosco e nódulos centrolobulares de contornos indefinidos bilateralmente em segmentos basais posteriores, não houve febre ou leucocitose.
O infectologista chamado para dar um parecer sobre o uso de antibióticos nesse caso indicou corretamente
Provas
Questão presente nas seguintes provas
Um acadêmico do quinto período do curso de medicina começou
a frequentar a sala verde de uma grande emergência durante
estágio oficial. Uma semana depois apresentou quadro clínico
composto por espirros, congestão nasal, secreção nasal
(rinorreia), dor de garganta, tosse, estado febril, cefaleia e malestar.
Ao exame físico observou-se inflamação conjuntival, edema de mucosa nasal, eritema de arcos faríngeos e adenopatia discreta. Pulmão limpo na ausculta. O diagnóstico clinico foi o resfriado comum.
Assinale a opção que apresenta o agente mais frequentemente encontrado no resfriado comum e o principal tratamento indicado.
Ao exame físico observou-se inflamação conjuntival, edema de mucosa nasal, eritema de arcos faríngeos e adenopatia discreta. Pulmão limpo na ausculta. O diagnóstico clinico foi o resfriado comum.
Assinale a opção que apresenta o agente mais frequentemente encontrado no resfriado comum e o principal tratamento indicado.
Provas
Questão presente nas seguintes provas
Médico R1 sofreu ferimento em dedo indicador da mão
esquerda, com agulha grossa utilizada durante treinamento para
punção da veia subclávia em um paciente com aids já
diagnosticada
Nesse caso, o esquema antirretroviral para profilaxia pósexposição de risco (PEP) à infecção pelo HIV indicado pelo Ministério da Saúde é
Nesse caso, o esquema antirretroviral para profilaxia pósexposição de risco (PEP) à infecção pelo HIV indicado pelo Ministério da Saúde é
Provas
Questão presente nas seguintes provas
Uma mulher com 23 anos de idade, nascida em família na qual o
movimento antivacina é uma realidade, apresentou febre baixa
de três a quatro dias de evolução, associada a mialgia, anorexia,
mal-estar e cefaleia. Procurou o pronto-socorro devido a quadro
de dor abdominal de grande intensidade em fossa ilíaca direita
com descompressão dolorosa. Queixou-se também de dor
mamária.
O exame físico detectou aumento do volume, sensibilidade dolorosa à palpação superficial, coloração avermelhada e calor. Relatou ainda dor epigástrica. Outro achado nessa paciente foi dor, aumento da sensibilidade e aumento de volume da glândula parótida, apenas do lado direito.
Exames laboratoriais foram realizados e o hemograma mostrou anemia discreta, leucocitose com linfocitose relativa, aumento da PCR, transaminases aumentadas em duas vezes o valor normal, creatinina normal e ureia com valor aumentado. Bilirrubinas normais. Amilase aumentada cinco vezes e lipase normal. EAS sem alterações.
Baseado no conjunto dos sintomas e nos exames laboratoriais a principal hipótese diagnóstica é
O exame físico detectou aumento do volume, sensibilidade dolorosa à palpação superficial, coloração avermelhada e calor. Relatou ainda dor epigástrica. Outro achado nessa paciente foi dor, aumento da sensibilidade e aumento de volume da glândula parótida, apenas do lado direito.
Exames laboratoriais foram realizados e o hemograma mostrou anemia discreta, leucocitose com linfocitose relativa, aumento da PCR, transaminases aumentadas em duas vezes o valor normal, creatinina normal e ureia com valor aumentado. Bilirrubinas normais. Amilase aumentada cinco vezes e lipase normal. EAS sem alterações.
Baseado no conjunto dos sintomas e nos exames laboratoriais a principal hipótese diagnóstica é
Provas
Questão presente nas seguintes provas
No sarampo, a análise histopatológica dos órgãos linfoides
apresenta hiperplasia folicular acentuada, grandes centros
germinativos e células gigantes multinucleadas com inclusões
intracelulares, distribuídas aleatoriamente, e que são
características, mas não exclusivas, do sarampo.
Essas células são denominadas
Essas células são denominadas
Provas
Questão presente nas seguintes provas
A análise do líquor encefalorraquidiano permite incrementar o
raciocínio clinico para definição da hipótese acerca do agente
etiológico das meningites.
Dessa forma, a análise laboratorial do líquor de um paciente com doença do sistema nervoso central que mostrou contagem de polimorfonucleares acima de 10.000 células/mm3 , glicose 30 mg/dL, proteínas 140 mg/dL e pressão liquórica elevada é mais compatível com
Dessa forma, a análise laboratorial do líquor de um paciente com doença do sistema nervoso central que mostrou contagem de polimorfonucleares acima de 10.000 células/mm3 , glicose 30 mg/dL, proteínas 140 mg/dL e pressão liquórica elevada é mais compatível com
Provas
Questão presente nas seguintes provas
Os escorpiões estão “tomando conta” das grandes cidades brasileiras, advertiram os pesquisadores em um artigo científico publicado recentemente na revista “Frontiers in Public Health”. Ele informa que mais de 1,1 milhão de picadas foram registradas entre 2014 e 2023, de acordo com dados do Ministério da Saúde do Brasil, o que significa um aumento de 155% nos relatos de picadas de 2014 a 2023. A rápida urbanização e as mudanças climáticas estão provocando um aumento no número de aparecimento de escorpiões em grandes centros urbanos em geral e, consequentemente, o perigo de picadas desse aracnídeo muitas vezes venenoso.
O envenenamento por picada de escorpião (escorpionismo) é um problema global atual, afetando várias regiões do mundo, incluindo a África, o Oriente Médio, o sul da Índia e América Latina. Nas Américas, o Brasil, o Paraguai, a Bolívia, o México, as Guianas e a Venezuela testemunharam um aumento alarmante do escorpionismo nas últimas décadas, evoluindo para uma crise de saúde pública significativa”, diz o artigo.
Estudos em animais mostram evidências do envolvimento de mediadores da inflamação, como interleucina-1 beta, prostaglandina-2, e muitos outros, por meio de uma reação neuroimune sistêmica, que seria responsável tanto pelo envolvimento do coração quanto do pulmão, sendo causador do edema agudo (Reis et al., 2020).
Após intervalo de minutos até poucas horas podem surgir, principalmente em crianças, os seguintes sintomas: sudorese profusa, agitação psicomotora, tremores, náuseas, vômitos, sialorréia, hipertensão ou hipotensão arterial, arritmia cardíaca, insuficiência cardíaca congestiva, edema pulmonar agudo e choque. A presença dessas manifestações indica a suspeita do diagnóstico de escorpionismo, mesmo na ausência de história de picada ou de identificação do animal. Apesar de a intensidade das manifestações clínicas depender da quantidade de peçonha inoculada, os adultos apresentam quadro local benigno, enquanto crianças constituem o grupo mais suscetível ao envenenamento sistêmico grave.
Entre a espécies listadas a seguir, assinale a que apresenta maior risco de complicações sistêmicas e óbitos de acordo com o Ministério da Saúde.
Provas
Questão presente nas seguintes provas
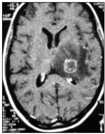
Uma paciente com 23 anos de idade foi admitida na emergência com quadro de crise convulsiva tônico-clônica generalizada. Sua mãe relatou que, nos últimos 15 dias, a paciente apresentou febre vespertina e cefaleia holocraniana. Procurou atendimento médico em duas ocasiões, nas quais foram prescritos apenas sintomáticos.
Ao exame, a paciente se encontrava emagrecida, hipocorada, desidratada, acianótica, anictérica, afebril, com dispneia e esforço respiratório. Candidíase oral e leões múltiplas por molusco contagioso em região genital. Diarreia. PA 90 x 55 mmHg, FC 110 bpm, FR 22 irpm, sat. O2 70. Gasometria revelou acidose metabólica. A paciente foi submetida à sedação, TOT e acoplada à VM. Toda medicação de suporte foi instituída, em especial a fenitoína venosa. Hemograma revelou anemia e linfopenia.
A imagem da tomografia de crânio com contraste revelou lesão anelar captante de contraste com edema perilesional e efeito de massa apagando parcialmente o ventrículo esquerdo e leve desvio da linha média.
O teste rápido para detecção do HIV foi reator. A mãe relatou que a paciente é alérgica à sulfa.
Baseado no relato, na imagem da tomografia computadorizada do crânio, e considerando a infecção oportunista neurológica grave mais comum na aids, assinale a opção que apresenta o diagnóstico e o tratamento específico mais indicado para o caso.
Ao exame, a paciente se encontrava emagrecida, hipocorada, desidratada, acianótica, anictérica, afebril, com dispneia e esforço respiratório. Candidíase oral e leões múltiplas por molusco contagioso em região genital. Diarreia. PA 90 x 55 mmHg, FC 110 bpm, FR 22 irpm, sat. O2 70. Gasometria revelou acidose metabólica. A paciente foi submetida à sedação, TOT e acoplada à VM. Toda medicação de suporte foi instituída, em especial a fenitoína venosa. Hemograma revelou anemia e linfopenia.
A imagem da tomografia de crânio com contraste revelou lesão anelar captante de contraste com edema perilesional e efeito de massa apagando parcialmente o ventrículo esquerdo e leve desvio da linha média.
O teste rápido para detecção do HIV foi reator. A mãe relatou que a paciente é alérgica à sulfa.
Baseado no relato, na imagem da tomografia computadorizada do crânio, e considerando a infecção oportunista neurológica grave mais comum na aids, assinale a opção que apresenta o diagnóstico e o tratamento específico mais indicado para o caso.
Provas
Questão presente nas seguintes provas
Cadernos
Caderno Container