Foram encontradas 60 questões.
O Tumor muscular liso de potencial maligno incerto do corpo uterino é uma categoria heterogênea. Em relação a esta entidade patológica, assinale a alternativa correta.
Provas
À microscopia, neoplasia mesenquimal benigna trifásica, constituída por células fusiformes musculares brandas, vasos hialinizados de paredes espessadas e tecido adiposo maduro. Este tumor pode ocorrer em diversas localizações. Assinale a alternativa que apresenta qual a localização mais frequente deste tumor.
Provas
Homem, 25 anos, com nódulo bem delimitado de 1 cm, sem topografia especificada. Recebido fuso de pele com lesão nodular central. Observe a figura abaixo. Assinale a alternativa que apresenta o diagnóstico.

Provas
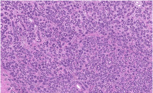
Assinale a alternativa que apresenta qual variante de Carcinoma papilífero da tireóide tem prognóstico pior.
Provas
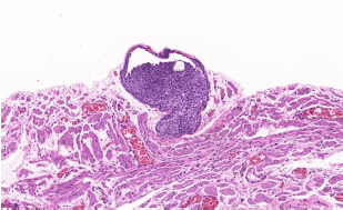
A presença desta pequena coleção de células ilustrada na imagem abaixo tem relação com . Assinale a alternativa que preencha corretamente a lacuna.

Provas
Homem, 39 anos, com relato de lesões placas violáceas nos membros inferiores. Assinale a alternativa que apresenta o diagnóstico que a figura abaixo ilustra.

Provas
Mulher, 20 anos, com nódulo palpável na mama esquerda. Assinale a alternativa que apresenta o diagnóstico que a figura abaixo ilustra.

Provas
Mulher, 57 anos, com tumor pélvico extenso, invadindo osso sacro. A neoplasia apresenta citoplasma amplo, claro, com aspecto fisalíforo. O estudo imuno-histoquímico revelou expressão positiva para citoqueratina, EMA e proteína S100. Assinale a alternativa que apresenta o diagnóstico mais provável.
Provas
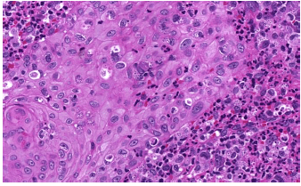
Homem, 52 anos, com lesão de pele que evoluiu com ulceração. Observe a imagem abaixo. Assinale a alternativa que apresenta o diagnóstico que a figura ilustra.

Provas
A análise histopatológica das lesões melanocíticas está em constante atualização. Sobre o assunto exposto, assinale a alternativa correta.
Provas
Caderno Container