Foram encontradas 60 questões.
Assinale a alternativa que apresenta indicação de tratamento cirúrgico na neurocisticercose.
Provas
Assinale a alternativa que apresenta fatores de comprovado nexo causal com a origem de meningiomas.
Provas
A imunoterapia tem melhorado o prognóstico de pacientes com metástase cerebral de câncer de pulmão, e a investigação molecular de cada paciente permite indicar drogas que melhoram a sobrevida significativamente. Assinale a alternativa que contenha um gene associado a melhor prognóstico em pacientes com metástase cerebral de câncer de pulmão.
Provas
Sobre as artérias de anastomose do sistema carotídeo com a fossa posterior na circulação fetal, assinale a alternativa incorreta.
Provas
Em relação às zonas seguras de acesso ao tronco cerebral, assinale a alternativa incorreta.
Provas
Lesão com efeito expansivo que se apresenta hipodensa na tomografia, na ressonância mostra-se hipointensa em T1 e FLAIR, hiperintensa em T2 e com restrição à difusão. Assinale a alternativa que corresponda a essa descrição imaginológica.
Provas
Sobre as craniossinostoses, assinale a alternativa correta.
Provas
Leia o seguinte trecho:
“Nas abordagens occipitais inter-hemisféricas transtentoriais para tumores da pineal, hemianopsia homônima contralateral pode ser uma complicação advinda de lesão da ”.
Assinale a alternativa que preencha corretamente a lacuna.
Provas
Lactente de 9 meses de vida apresenta hidrocefalia secundária a tumor do tecto mesencefálico. Não foi operado ainda, nem para o tumor nem para a hidrocefalia. De acordo com o escore preditor de sucesso da terceiroventriculostomia endoscópica, assinale a alternativa que apresenta a pontuação deste paciente.
Provas
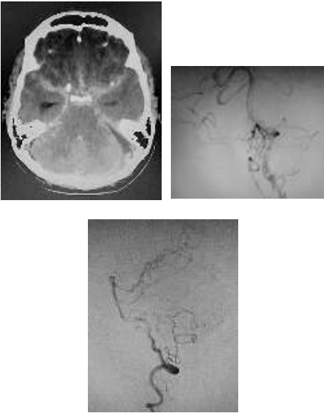
Homem de 53 anos apresentou cefaleia súbita, vômitos e alteração do nível de consciência. Após intubação orotraqueal e suporte clínico, foi realizada tomografia de crânio seguida de angiografia digital cerebral (imagens abaixo).

Assinale a alternativa que apresenta o melhor tratamento para esse caso.
Provas
Caderno Container