Foram encontradas 60 questões.
Na avaliação do balanço sagital, consideramse diversos ângulos entre vértebras. Um dos parâmetros utilizados é o eixo de prumo a partir de C7. Sobre este parâmetro, assinale a alternativa correta.
Provas
Homem de 26 anos, vítima de acidente durante escalada em montanha, apresenta déficit para flexão e extensão do punho e dos dedos da mão direita. Assinale a alternativa que apresenta as raízes nervosas que sofreram lesão neste paciente.
Provas
Considere a seguinte descrição histopatológica de uma neoplasia: células arredondadas, uniformes, distribuídas em lóbulos separados por capilares finos, com citoplasma claro e núcleo central semelhante a “ovo frito”. Assinale a alternativa que apresenta a neoplasia descrita.
Provas
Leia o seguinte trecho:
“Uma malformação artério-venosa não rota de 2 cm, com nidus compacto, localizada nas proximidades da incisura pré-occipital esquerda, com drenagem venosa pela veia de Labbé para o seio transverso, nutrida preferencialmente por ramo direto da artéria cerebral posterior, num paciente de 46 anos, deve ser classificada como grau na classificação de Lawton-Young”.
Assinale a alternativa que preencha corretamente a lacuna.
Provas
Mulher de 38 anos apresenta, há um mês, quadro progressivo de hemiparesia à direita, hemitremor à direita, oftalmoparesia e ptose palpebral à esquerda. Assinale a alternativa que apresenta a provável estrutura comprometida nesta paciente.
Provas
Homem de 63 anos, hipertenso, diabético, foi admitido com quadro de cefaleia súbita, náuseas, vômitos e rebaixamento do nível de consciência por hemorragia subaracnoide aneurismática (Hunt Hess 3). Exame físico de admissão sem déficits focais. Foi submetido a clipagem microcirúrgica de aneurisma de comunicante posterior. No pós-operatório imediato, apresentava hemiplegia à direita, sem alterações do nível de consciência e sem alterações de linguagem. Assinale a alternativa que apresenta a possível etiologia para o quadro descrito.
Provas
Sobre critérios para o diagnóstico de neurofibromatose tipo 1, assinale a alternativa incorreta.
Provas
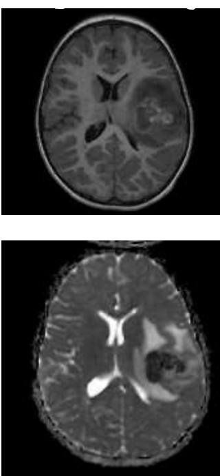
Sobre a lesão demonstrada no exame de ressonância magnética apresentado abaixo, assinale a alternativa que contenha o diagnóstico etiológico e a localização da lesão.

Provas
Considere o seguinte padrão de resultado de imunoistoquímica para tumor intracraniano ressecado cirurgicamente: GFAP (-); EMA (+); Sinaptofisina (-) e MIB-1 (+). Assinale a alternativa que apresenta corretamente a neoplasia compatível com este resultado.
Provas
Assinale a alternativa que apresenta o gene cuja mutação está envolvida na recidiva de meningiomas, conferindo-lhe maior risco de mortalidade.
Provas
Caderno Container