Foram encontradas 60 questões.
A doença de Huntington (DH) é uma doença neurodegenerativa hereditária caracterizada por sintomas neuropsiquiátricos, um distúrbio do movimento (mais comumente coreiforme) e comprometimento cognitivo progressivo. Sobre a coreia de Huntington, assinale a alternativa correta.
Provas
A respeito da paralisia supranuclear (PSP), há sinais de alarme (“redflags”) para suspeição desse diagnóstico. Em relação à PSP, assinale a alternativa incorreta.
Provas
Em consultório, paciente é trazida por familiares com queixa de que tem ficado cada vez mais quieta e com esquecimentos frequentes. Ao exame, fez um Mini-Exame do Estado Mental (MEEM) com pontuação de 17/30. Ela não conseguia fazer as inversões em série e não conseguia encontrar a palavra vigiar. O exame de memória estava intacto na recordação tardia, no entanto, seu exame de linguagem foi bastante anormal. Ela apresentava pausas para encontrar palavras, hesitações e frequentes erros parafásicos fonêmicos, mas nenhum agramatismo ou dificuldade em compreender palavras isoladas ou comandos simples. Tinha grande dificuldade com a repetição, quebrando rapidamente se uma frase tivesse mais do que algumas palavras. Foi incapaz de dar nomes a mais de sete animais em 1 minuto ou nomear mais de sete dos 20 objetos. Na tarefa de nomeação, cometeu erros parafásicos fonêmicos, como “campbell” para camelo e “volcan” para vulcão. Restante do exame neurológico normal. Assinale a alternativa correta.
Provas
Homem de 75 anos, vítima de queda de 3 metros de altura, seguida de perda de consciência, vômitos e cefaleia. Chega à emergência apresentando-se: sonolento, expressando sons incompreensíveis, respondendo a estímulos verbais (abre o olho quando contactado) e localiza a dor. Pupilas anisocóricas, SO2: 85%, PA: 110 x 75 mmHg.
Ainda sobre o caso anterior, paciente evoluiu no pós-operatório em UTI com: PAM 95mmHg, FC 83, no monitor de pressão intracraniana mostrava 30mmHg. Assinale a alternativa que apresenta a conduta correta para o paciente.
Provas
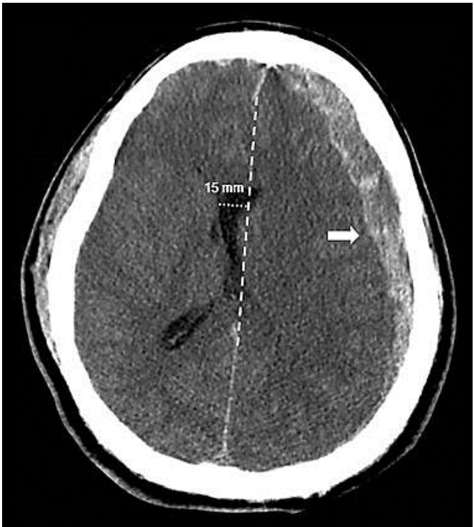
Homem de 75 anos, vítima de queda de 3 metros de altura, seguida de perda de consciência, vômitos e cefaleia. Chega à emergência apresentando-se: sonolento, expressando sons incompreensíveis, respondendo a estímulos verbais (abre o olho quando contactado) e localiza a dor. Pupilas anisocóricas, SO2: 85%, PA: 110 x 75 mmHg.
Sobre o caso anterior, o paciente encaminhado para realização de tomografia de crânio (imagem).

Tomografia de crânio
Sobre o diagnóstico mais provável e a melhor conduta sugerida ao paciente, assinale a alternativa correta.
Provas
Homem de 75 anos, vítima de queda de 3 metros de altura, seguida de perda de consciência, vômitos e cefaleia. Chega à emergência apresentando-se: sonolento, expressando sons incompreensíveis, respondendo a estímulos verbais (abre o olho quando contactado) e localiza a dor. Pupilas anisocóricas, SO2: 85%, PA: 110 x 75 mmHg.
Sobre traumatismo cranioencefálico, analise as afirmativas abaixo.
I. Paciente vítima de TCE moderado tem indicação de fazer uma TC de crânio controle após 24h apenas se apresentar lesão em TC de crânio prévia.
II. O trauma sofrido pela paciente é classificado como grave pois pontua 12 na Escala de Coma de Glasgow (ECG).
III. Todo paciente vítima de TCE com ECG <12 tem indicação de TC.
IV. Uma equimose periorbital (sinal do guaxinim) é um sinal clássico de lesão de base de crânio
Assinale a alternativa correta.
Provas
Rubinstein-Taybi é um distúrbio do desenvolvimento neurológico congênito raro, caracterizado por dismorfismos craniofaciais, malformações esqueléticas e atraso no crescimento e desenvolvimento psicomotor, e tem sido associado a um risco aumentado (5%) de tumores benignos e malignos do SNC. Assinale a alternativa que apresenta corretamente o tumor mais comum associado a este distúrbio.
Provas
Em 2016, a OMS modificou a classificação dos tumores primários do sistema nervoso central considerando marcadores histológicos, integrando parâmetros fenotípicos e genotípicos. Sobre os glioblastomas, assinale a alternativa correta.
Provas
Mulher de 47 anos cursou com ptose palpebral em olho direito e diplopia binocular, associado à fraqueza muscular de predomínio distal e cervical, caracterizando os sintomas como flutuantes, com piora ao final do dia. Realizada eletroneuromiografia sugerindo distúrbio leve de junção neuromuscular, compatível com suspeita de Miastenia Gravis. Introduzido Mestinon com alguma melhora, entretanto paciente referia piora sustentada do quadro clínico. Considerando hipótese de miastenia congênita, assinale a alternativa correta em relação ao provável gene alterado e tratamento adequado para o caso.
Provas
A respeito da paralisia do plexo inferior, tipo Dejerine-Klumpke (plexo braquial), assinale a alternativa incorreta.
Provas
Caderno Container