Magna Concursos

Foram encontradas 60 questões.

3028017 Ano: 2023
Disciplina: Medicina
Banca: IBFC
Orgão: EBSERH
Provas:

Assinale a alternativa que descreve corretamente as patologias neurológicas mais frequentes na população com HIV / AIDS.

 

Provas

Questão presente nas seguintes provas
3028015 Ano: 2023
Disciplina: Medicina
Banca: IBFC
Orgão: EBSERH
Provas:

As cranioestenoses são alterações do desenvolvimento craniano caracterizado pelo fechamento prematuro de uma ou mais suturas cranianas. O fechamento prematuro da sutura sagital causa uma cranioestenose denominada:

 

Provas

Questão presente nas seguintes provas
3028013 Ano: 2023
Disciplina: Medicina
Banca: IBFC
Orgão: EBSERH
Provas:

Paciente de 7 anos, sexo feminino, é atendida em unidade de urgência com episódios recorrentes de cefaleia e déficit motor dimidiado temporário. Em investigação complementar realiza estudo angiográfico que demonstra os achados de imagem abaixo.

Enunciado 3028013-1

Baseado no caso e nas imagens apresentadas, assinale a alternativa correta.

 

Provas

Questão presente nas seguintes provas
3028009 Ano: 2023
Disciplina: Medicina
Banca: IBFC
Orgão: EBSERH
Provas:

Paciente do sexo feminino, 33 anos, obesa, apresentando queixa de turvação visual progressiva e cefaleia de difícil tratamento. Foi avaliada por oftalmologista que descreve edema de papila. Realizou RM de crânio com os achados abaixo.

Enunciado 3028009-1

Assinale a alternativa que corresponde ao provável diagnóstico para o caso acima

 

Provas

Questão presente nas seguintes provas
3027994 Ano: 2023
Disciplina: Medicina
Banca: IBFC
Orgão: EBSERH
Provas:

Com base na imagem de ressonância magnética a seguir e seus conhecimentos de neuroanatomia radiológica, assinale a alternativa que descreve corretamente o nome e a função da estrutura indicada pelo número 5

Enunciado 3027994-1

 

Provas

Questão presente nas seguintes provas
3027986 Ano: 2023
Disciplina: Medicina
Banca: IBFC
Orgão: EBSERH
Provas:

Analise a imagem abaixo.

Enunciado 3027986-1

Assinale a alternativa que apresenta a estrutura vascular apresentada pela seta.

 

Provas

Questão presente nas seguintes provas
3027984 Ano: 2023
Disciplina: Medicina
Banca: IBFC
Orgão: EBSERH
Provas:

A figuras abaixo retrata a imagem do “Homúnculo de Peinfield” que representa a somatotopia (correspondência ponto a ponto de uma área do corpo com um ponto específico do sistema nervoso central) das áreas corticais primárias sensitiva e motora. O conhecimento do suprimento arterial destas estruturas é imperativa para o correto entendimento dos Acidentes Vasculares Encefálicos (AVEs) e sua clínica característica.

Enunciado 3027984-1

Com base nos seus conhecimentos sobre neuroanatomia e sobre o suprimento da porção medial do homunculo de peinfield (Correspondente à área somatotópica de quadril, perna e pé) no cortex sensitivo/motor, assinale a alternativa correta.

 

Provas

Questão presente nas seguintes provas
3027981 Ano: 2023
Disciplina: Medicina
Banca: IBFC
Orgão: EBSERH
Provas:

Criança de 7 anos, com histórico recente de diplopia por alteração da mobilidade ocular extrínseca foi encaminhada para realização de ressonância nuclear magnética de crânio em contexto de investigação diagnóstica, apresentando a seguinte imagem:

Enunciado 3027981-1

Baseado nas características epidemiológicas e os achados de seu exame de imagem, e considerando a classificação dos tumores do sistema nervoso central da OMS (2021), assinale a alternativa correta.

 

Provas

Questão presente nas seguintes provas
3027979 Ano: 2023
Disciplina: Medicina
Banca: IBFC
Orgão: EBSERH
Provas:

De acordo com a classificação da OMS (2021) para gliomas do sistema nervoso central, assinale a alternativa correta.

 

Provas

Questão presente nas seguintes provas
3027976 Ano: 2023
Disciplina: Medicina
Banca: IBFC
Orgão: EBSERH
Provas:

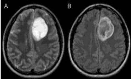
Durante a avaliação de uma ressonância magnética de um paciente com um tumor de origem glial recidivado (já diagnosticado por histopatologia), o radiologista se depara com o seguinte aspecto de imagem na avaliação das sequencias T2 e Flair.

Enunciado 3027976-1

Analise a importância do achado de imagem e assinale a alternativa correta.

 

Provas

Questão presente nas seguintes provas