Foram encontradas 60 questões.
Analise a imagem abaixo.

Assinale a alternativa que descreve o diagnóstico demonstrado pela Angiografia Cerebral.
Provas
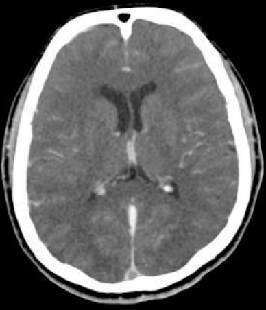
Paciente do sexo masculino, 50 anos, hipertenso não controlado, dá entrada em serviço de emergência hospitalar com quadro de cefaleia súbita aguda e rebaixamento do nível de consciência. A TC de crânio realizada na unidade demonstra o seguinte achado:

Sobre este caso, assinale a alternativa correta.
Provas
A Norma Operacional de Controle Disciplinar da Empresa Brasileira de Serviços Hospitalares (EBSERH) tem como objetivo estabelecer os procedimentos relativos à apuração de possível irregularidade. De acordo com a mencionada norma operacional, assinale a alternativa que apresenta uma circunstância atenuante:
Provas
Segundo o Regulamento de Pessoal da EBSERH, licença é o afastamento de empregado do serviço ativo assegurado por lei ou autorizado pela Empresa. Sobre o assunto, assinale a alternativa que apresenta corretamente a modalidade e prazo da licença prevista do regulamento.
Provas
De acordo com o Estatuto Social da Empresa Brasileira de Serviços Hospitalares (EBSERH), assinale a alternativa que apresenta incorretamente um dos objetos sociais da EBSERH.
Provas
Assinale a alternativa que corresponde às características de sinal em T1 e T2 (respectivamente) da ressonância magnética nas hemorragias intraparenquimatosa na fase hiperaguda (<24h – oxihemoglobina).
Provas
Sobre a Esquizencefalia, assinale a alternativa incorreta.
Provas
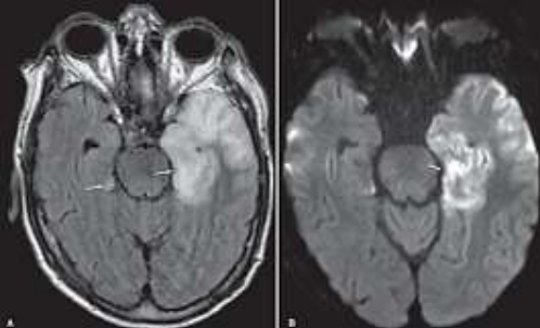
Paciente de 8 anos, com histórico de febre, cefaléia, crises convulsivas reentrantes e rápida progressão para rebaixamento do nível de consciência. Realizada punção lombar que demonstrou celularidade elevada com predomínio de linfócitos com glicose e proteínas normais. Realizou ressonância magnética do crânio que demonstrou os achados abaixo.

Baseado no caso clínico e nos achados de imagem, assinale a alternativa correta.
Provas
Paciente de 26 anos com epilepsia refratária ao tratamento medicamentoso, submetido à investigação complementar com ressonância magnética do crânio. No momento assintomático.

O provável diagnóstico para o caso é:
Provas
Paciente de 25 anos, sexo feminino, previamente hígida, fazendo uso apenas de anticoncepcional oral, é internada em uma unidade de urgência com cefaleia de forte intensidade, refratária ao tratamento medicamentoso. Realizou exame de imagem (Tomografia computadorizada de crânio com contraste) que demonstrou o seguinte achado:

Assinale a alternativa que apresenta o diagnóstico mais provável baseado na história clínica e achado de imagem.
Provas
Caderno Container