Foram encontradas 1.592 questões.
- Legislação Radiológica e Segurança no TrabalhoNormas de Radioproteção
- Protocolos de Exames de Medicina NuclearBases Físicas e Tecnológicas
Provas
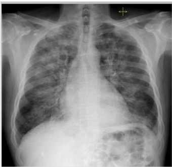
Analise a seguinte imagem.

Considerando a radiografia de tórax anterior, é correto afirmar que
Provas
Na dosimetria de feixes de fótons, aplicando o protocolo IAEA TRS-398, algumas correções devem ser feitas, pois o fator de calibração da câmara é válido somente para as condições de referência aplicadas durante a calibração da câmara. Analise os seguintes fatores.
I. Temperatura, humidade e pressão.
II. Recombinação iônica.
III. Qualidade do feixe.
IV. Efeito de polaridade.
V. Taxa de dose.
Dentre os fatores listados, quais ocorrem devido à diferença de condições citadas anteriormente?
Provas
Provas
Provas
Provas
Provas
Provas
A figura a seguir representa as curvas característica de dois filmes: A e B.

Com base nas curvas anteriores, assinale a afirmativa correta.
Provas
- Legislação Radiológica e Segurança no TrabalhoNormas de Radioproteção
- Protocolos de Exames de Medicina NuclearBases Físicas e Tecnológicas
Provas
Caderno Container