Foram encontradas 1.510 questões.
Sobre os principais componentes de um tomógrafo: gantry, computador e painel de operação, é correto afirmar que
Provas
Questão presente nas seguintes provas
Sobre os princípios físicos de ressonância magnética, é correto afirmar que
Provas
Questão presente nas seguintes provas
Sobre os exames e aplicações clínicos de radiosótopos, é correto afirmar que
Provas
Questão presente nas seguintes provas
Sobre os princípios básicos de radioproteção, é determinado em lei que
Provas
Questão presente nas seguintes provas
Referente ao exame radiológico de tórax, assinale a alternativa correta.
Provas
Questão presente nas seguintes provas
Assinale a alternativa que descreve corretamente o exame UIV (Urografia Intravenosa Geral).
Provas
Questão presente nas seguintes provas
São contraindicações absolutas para realização de estudo de ressonância magnética:
Provas
Questão presente nas seguintes provas
Sobre os meios de contraste utilizados em ressonância magnética, é correto dizer que
Provas
Questão presente nas seguintes provas
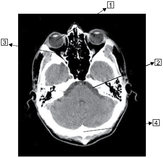
Observe a imagem a seguir.

Assinale a alternativa que corresponde às estruturas identificadas na imagem.
Provas
Questão presente nas seguintes provas
Para facilitar a descrição das posições dos vários órgãos ou de outras estruturas dentro da cavidade abdomino pélvica, esta deve ser dividida em quadrantes ou regiões. Assinale a alternativa correta.
Provas
Questão presente nas seguintes provas
Cadernos
Caderno Container