Foram encontradas 100 questões.
O processamento do filme radiográfico pode ser realizado por dois sistemas: manual e automático. O processamento manual ocorre em etapas.
Provas
Questão presente nas seguintes provas
Pré-sal: combustível para a educação
Maria Izabel Azevedo Noronha
A descoberta de reservas de petróleo na região pré-sal da plataforma marítima brasileira representa uma nova era econômica para o nosso país. Apenas no campo de Tupi, na Bacia de Santos, as estimativas apontam para a existência de um volume de cinco a oito bilhões de barris de petróleo. Trata-se de uma formidável conquista do nosso país, graças ao empenho de nossos técnicos, às políticas energéticas que vêm sendo implementadas e ao desenvolvimento de uma tecnologia de exploração em águas profundas que é única no mundo.
Entretanto, para que o novo salto que se projeta para a economia brasileira nos próximos anos resulte em melhoria real na qualidade de vida do nosso povo, resgatando a maioria da população de séculos de carências, miséria e abandono, é necessário que os vultosos recursos que advirão da exploração dessa riqueza recém-descoberta revertam em investimentos nas áreas sociais, sobretudo e prioritariamente na educação.
Alguns segmentos conservadores (...) criticam o volume de investimentos necessários para a exploração das reservas do pré-sal — algo como R$ 2 trilhões até 2017. Esquecem, providencialmente, que as reservas descobertas, segundo alguns especialistas, têm o potencial comercial estimado de até 100 trilhões.
Acreditamos que o povo brasileiro merece, sim, que se façam investimentos dessa ordem, os quais, naturalmente, serão maiores ou menores de acordo com a confirmação dos volumes de petróleo de cada reserva. O fundamental é que os royalties e as receitas resultantes da tributação desse verdadeiro tesouro sejam revertidos para aquele setor que pode fazer com que o Brasil dê o salto definitivo para o futuro, que é a educação.
É possível inferir que a autora, ao utilizar-se da palavra entretanto para iniciar o segundo parágrafo, acredita que
Provas
Questão presente nas seguintes provas
A imagem radiográfica está relacionada com as Leis da Ótica Geométrica. Sendo assim, observe o esquema abaixo e responda à questão.

Calcule o coeficiente de ampliação da imagem (valor aproximado).
Provas
Questão presente nas seguintes provas
Observe as orações:
I- Quando há cumprimento dos deveres, vive-se em paz.
II- Pescam-se milhares de peixes nos caudalosos rios brasileiros.
III- Trata-se de casos muito delicados os daqueles jovens rebeldes.
II- Pescam-se milhares de peixes nos caudalosos rios brasileiros.
III- Trata-se de casos muito delicados os daqueles jovens rebeldes.
Há emprego da voz passiva sintética em:
Provas
Questão presente nas seguintes provas
Observe atentamente a imagem radiográfica abaixo e em seguida responda à questão.

Assinale a alternativa que apresenta, em ordem numérica crescente, as estruturas assinaladas na imagem radiográfica anteriormente apresentada.
Provas
Questão presente nas seguintes provas
- Leia:
Buscando reconciliar-se comigo após um desentendimento, meu amigo propôs:
— A partir de hoje, vamos tentar manter uma relação mais cardíaca.
Achei boa sua proposta, mas, mesmo sem querer contrariá-lo, respondi que aquilo era impossível. Isso porque ele deveria ter dito
Provas
Questão presente nas seguintes provas
Qual a incidência mamográfica complementar, utilizada para visualizar o tecido mamário medial de ambas as mamas em uma incidência?
Provas
Questão presente nas seguintes provas
Em qual alternativa a mudança de lugar do pronome destacado na frase não pode gerar outro sentido?
Provas
Questão presente nas seguintes provas
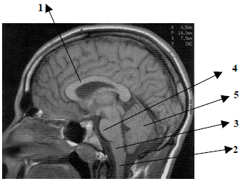
Observe atentamente o corte sagital apresentado na imagem abaixo e assinale a alternativa que apresenta a identificação correta das estruturas assinaladas.

Provas
Questão presente nas seguintes provas
Qual o exame indicado nos casos de estenose ductal e microlitíase das glândulas parótidas, submandibulares e sublingual?
Provas
Questão presente nas seguintes provas
Cadernos
Caderno Container