Foram encontradas 708 questões.
Paciente de 11 meses, em POT de shunt sistêmico-pulmonar por atresia pulmonar com CIV, apresenta saturação 70%, FC 126bpm em repouso. A mãe apresenta o resultado de cateterismo cardíaco solicitado em consulta anterior: VCS 9mmHg; PSVD 45mmHg; APD 7mm; APE 8mm; indice de Nakata 190. Com base no exposto, é correto afirmar que
Provas
Com base na patologia ilustrada a seguir, qual defeito associado é mais comumente encontrado?


Provas
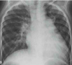
Com base no raio-x ilustrado a seguir, qual patologia é mais provável de ser encontrada?

Provas
A figura a seguir é tipicamente encontrada em qual dos seguintes pós-operatórios?

Provas
Uma gestante no 3º trimestre passa por consulta com obstetra e ele, ao observar taquicardia mantida do feto, encaminha para realização de ecocardiograma fetal. Ela usa AAS 100mg∕dia desde o 2º trimestre pelo risco de pré-eclâmpsia e relata que sofreu uma queda há 3 dias e vinha em uso de nimesulida intercalado com ibuprofeno e pomada de diclofenaco. Há 1 dia, também iniciou cetoprofeno. O ecocardiograma fetal evidencia constrição do canal arterial. Dos medicamentos em uso, podem estar envolvidos na lesão, EXCETO
Provas
Paciente, em pós-operatório tardio de correção total de Tetralogia de Fallot, encontra-se assintomático, exceto pela redução progressiva da tolerância aos exercícios físicos. Ecocardiograma de controle evidencia disfunção sistólica leve do VD e insuficiência pulmonar moderada a importante. A ressonância nuclear magnética mostra volume diastólico final 170ml∕m2 do ventrículo direito. Em relação ao manejo desse paciente, é correto afirmar que
Provas
Constitui fator de risco para evolução desfavorável em pós-operatório tardio de Fallot:
Provas
Uma valva atrioventricular em overrinding é comumente associada a qual tipo de comunicação interventricular?
Provas
Sobre a patologia ilustrada na seguinte figura, é correto afirmar que

Provas
Referente à cardite reumática, é correto afirmar que
Provas
Caderno Container