Foram encontradas 708 questões.
Paciente masculino de 40 anos, assintomático, em exame de rotina, traz exame anterior com diagnóstico de rins em “ferradura”. Nesse caso, o que você espera encontrar?
Provas
A pediatra de plantão faz contato com um radiologista para discutir o caso de um lactente de 16 meses, apresentando choro e flexão dos membros inferiores em direção ao abdome e fezes na fralda com aspecto de “geleia de framboesa”. O radiologista prontamente atende, certo de que
Provas
Uma mãe leva ao pronto atendimento um lactente do sexo masculino, 3 meses de idade, primogênito, relatando irritabilidade, vômitos não biliosos e aumento do volume (distensão) do abdome superior. A pediatra faz contato com o radiologista para solicitar seu parecer e a indicação dos exames de imagem e acrescenta que palpa uma “massa” no quadrante superior direito do abdome. Nesse caso, o radiologista responsável
Provas
O fechamento precoce das suturas cranianas é conhecido como cranioestenose, a qual pode acontecer em suturas únicas ou múltiplas. Sabendo disso, relacione a sutura à deformidade encontrada se seu fechamento for precoce e assinale a alternativa com a sequência correta.
1. Sutura sagital.
2. Sutura metópica.
3. Sutura coronal (unilateral).
4. Suturas coronais.
5. Sutura Lambdoide.
A. Braquicefalia.
B. Plagiocefalia anterior.
C. Plagiocefalia posterior.
D. Trigonocefalia.
E. Escafocefalia.
Provas
Na avaliação por imagem do acidente vascular encefálico, é imprescindível o conhecimento da anatomia vascular arterial do encéfalo. Sobre esse assunto, é correto afirmar que
Provas
A ressonância magnética é o exame de escolha para a avaliação das alterações da esclerose múltipla no sistema nervoso central. Acerca do tema, assinale a alternativa correta.
Provas
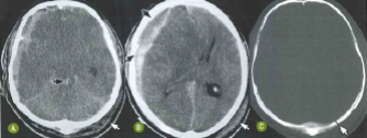
Paciente de 26 anos foi vítima de acidente automobilístico com traumatismo cranioencefálico. Nas imagens tomográficas a seguir, pode-se observar

Provas
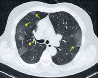
Paciente de 72 anos apresenta anosmia, febre e tosse há 3 dias. A principal hipótese diagnóstica é Covid-19. Quais achados na imagem tomográfica a seguir corroboram para esse diagnóstico?

Provas
Assinale a alternativa que NÃO apresenta um possível achado do TEP crônico na tomografia.
Provas
O Tromboembolismo Pulmonar (TEP), na sua fase aguda, é muito bem avaliado na tomografia de tórax com contraste. O RX apresenta baixas especificidade e sensibilidade, mas, quando realizado, pode apresentar qual dos seguintes achados?
Provas
Caderno Container