Foram encontradas 180 questões.

Na parte superior do anúncio, há um comentário escrito à mão que aborda a questão das atividades linguísticas e sua relação com as modalidades oral e escrita da língua. Esse comentário deixa evidente uma posição crítica quanto a usos que se fazem da linguagem, enfatizando ser necessário
Provas
Questão presente nas seguintes provas
Um novo método para produzir insulina artificial que utiliza tecnologia de DNA recombinante foi desenvolvido por pesquisadores do Departamento de Biologia Celular da Universidade de Brasília (UnB) em parceria com a iniciativa privada. Os pesquisadores modificaram geneticamente a bactéria Escherichia coli para torná-la capaz de sintetizar o hormônio. O processo permitiu fabricar insulina em maior quantidade e em apenas 30 dias, um terço do tempo necessário para obtê-la pelo método tradicional, que consiste na extração do hormônio a partir do pâncreas de animais abatidos.
Ciência Hoje, 24 abr. 2001. Disponível em: http://cienciahoje.uol.com.br (adaptado).
A produção de insulina pela técnica do DNA recombinante tem, como consequência,
Provas
Questão presente nas seguintes provas
O gráfico mostra o percentual de áreas ocupadas, segundo o tipo de propriedade rural no Brasil, no ano de 2006.
De acordo com o gráfico e com referência à distribuição das áreas rurais no Brasil, conclui-se que
Provas
Questão presente nas seguintes provas
Até o século XVII, as paisagens rurais eram marcadas por atividades rudimentares e de baixa produtividade. A partir da Revolução Industrial, porém, sobretudo com o advento da revolução tecnológica, houve um desenvolvimento contínuo do setor agropecuário. São, portanto, observadas consequências econômicas, sociais e ambientais inter-relacionadas no período posterior à Revolução Industrial, as quais incluem
Provas
Questão presente nas seguintes provas
Texto para a questão.
A população mundial está ficando mais velha, os índices de natalidade diminuíram e a expectativa de vida aumentou. No gráfico seguinte, são apresentados dados obtidos por pesquisa realizada pela Organização das Nações Unidas (ONU), a respeito da quantidade de pessoas com 60 anos ou mais em todo o mundo. Os números da coluna da direita representam as faixas percentuais. Por exemplo, em 1950 havia 95 milhões de pessoas com 60 anos ou mais nos países desenvolvidos, número entre 10% e 15% da população total nos países desenvolvidos.

Suponha que o modelo exponencial y = 363e0,03x, em que x = 0 corresponde ao ano 2000, x = 1 corresponde ao ano 2001, e assim sucessivamente, e que y é a população em milhões de habitantes no ano x, seja usado para estimar essa população com 60 anos ou mais de idade nos países em desenvolvimento entre 2010 e 2050. Desse modo, considerando e0,3 = 1,35, estima-se que a população com 60 anos ou mais estará, em 2030, entre
Provas
Questão presente nas seguintes provas
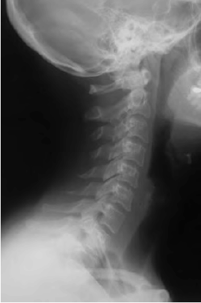
Considere um equipamento capaz de emitir radiação eletromagnética com comprimento de onda bem menor que a radiação ultravioleta. Suponha que a radiação emitida por esse equipamento foi apontada para um tipo específico de filme fotográfico e entre o equipamento e o filme foi posicionado o pescoço de um indivíduo. Quanto mais exposto à radiação, mais escuro se torna o filme após a revelação. Após acionar o equipamento e revelar o filme, evidenciou-se a imagem mostrada na figura abaixo.
Dentre os fenômenos decorrentes da interação entre a radiação e os átomos do indivíduo que permitem a obtenção desta imagem inclui-se a
Provas
Questão presente nas seguintes provas
Segundo Aristóteles, “na cidade com o melhor conjunto de normas e naquela dotada de homens absolutamente justos, os cidadãos não devem viver uma vida de trabalho trivial ou de negócios — esses tipos de vida são desprezíveis e incompatíveis com as qualidades morais —, tampouco devem ser agricultores os aspirantes à cidadania, pois o lazer é indispensável ao desenvolvimento das qualidades morais e à prática das atividades políticas”.
VAN ACKER, T. Grécia. A vida cotidiana na cidade-Estado.
São Paulo: Atual, 1994.
O trecho, retirado da obra Política, de Aristóteles, permite compreender que a cidadania
Provas
Questão presente nas seguintes provas

O mapa acima representa um bairro de determinada cidade, no qual as flechas indicam o sentido das mãos do tráfego. Sabe-se que esse bairro foi planejado e que cada quadra representada na figura é um terreno quadrado, de lado igual a 200 metros.
Desconsiderando-se a largura das ruas, qual seria o tempo, em minutos, que um ônibus, em velocidade constante e igual a 40 km/h, partindo do ponto X, demoraria para chegar até o ponto Y?
Provas
Questão presente nas seguintes provas
Apesar do aumento da produção no campo e da integração entre a indústria e a agricultura, parte da população da América do Sul ainda sofre com a subalimentação, o que gera conflitos pela posse de terra que podem ser verificados em várias áreas e que frequentemente chegam a provocar mortes. Um dos fatores que explica a subalimentação na América do Sul é
Provas
Questão presente nas seguintes provas
A primeira metade do século XX foi marcada por conflitos e processos que a inscreveram como um dos mais violentos períodos da história humana. Entre os principais fatores que estiveram na origem dos conflitos ocorridos durante a primeira metade do século XX estão
Provas
Questão presente nas seguintes provas
Cadernos
Caderno Container