Foram encontradas 60 questões.
Assinale a alternativa que identifica o animal cuja principal complicação com sua picada é o choque anafilático.
Provas
Assinale a alternativa que apresenta a(s) hepatite(s) viral(is) crônica(s) que, após tratamento adequado, pode(m) obter resposta virológica sustentada (RVS).
Provas
Para responder à questão, considere o caso a seguir.
Paciente do sexo masculino, 37 anos, apresenta quadro clínico de febre vespertina e diária (38 ºC), emagrecimento de 10 kg, sudorese noturna e tosse seca há 3 meses. Após 35 dias do início do tratamento adequado desse quadro surgem dormência, formigamento e perda da força muscular nas extremidades dos membros.
A droga que deve ser associada ao tratamento do paciente, devido ao aparecimento desse novo sintoma, é
Provas
Para responder à questão, considere o caso a seguir.
Paciente do sexo masculino, 37 anos, apresenta quadro clínico de febre vespertina e diária (38 ºC), emagrecimento de 10 kg, sudorese noturna e tosse seca há 3 meses. Após 35 dias do início do tratamento adequado desse quadro surgem dormência, formigamento e perda da força muscular nas extremidades dos membros.
O tratamento adequado deve ser o uso diário de
Provas
Em relação à COVID 19, no momento atual, o Brasil enfrenta uma situação de
Provas
A primeira meta internacional para a segurança do paciente é
Provas
Considere o caso apresentado a seguir, para responder à questão.
Mulher, 45 anos, dá entrada ao Pronto-Socorro com queixa de febre há 5 dias (38,5ºC), que melhora com uso de antitérmico, acompanhada de cefaleia intensa, mialgia generalizada e surgimento de hemoptise há 1 dia.
Assinale a alternativa que apresenta a descrição mais correta da prova do laço dessa paciente.
Provas
Considere o caso apresentado a seguir, para responder à questão.
Mulher, 45 anos, dá entrada ao Pronto-Socorro com queixa de febre há 5 dias (38,5ºC), que melhora com uso de antitérmico, acompanhada de cefaleia intensa, mialgia generalizada e surgimento de hemoptise há 1 dia.
Assinale a alternativa que apresenta corretamente o principal diagnóstico para o caso apresentado.
Provas
Para responder à questão, considere o caso apresentado a seguir.
Mãe leva ao pediatra filho que está apresentando febre alta (39 ºC) e manchas no corpo bastante pruriginosas. Ao exame físico, o profissional conclui que se trata de um caso de varicela e que a criança não deve frequentar a escola por um período.
O período que a criança deverá permanecer em casa devido ao risco de transmissão é
Provas
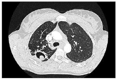
Paciente do sexo masculino com 53 anos de idade procura pneumologista devido ao surgimento de hemoptise há, aproximadamente, 3 meses. Relata que os episódios têm sido mais frequentes e com maior volume de sangue eliminado. A tomografia de tórax do paciente é apresentada a seguir.

A melhor conduta terapêutica para esse paciente é
Provas
Caderno Container