Foram encontradas 60 questões.
Mulher de 19 anos de idade relata quadro de febre, cefaleia e vômitos há 2 dias, evoluindo com agitação, alteração de comportamento e crise convulsiva nas últimas horas. Ao exame físico: confusa, desorientada, agitada e agressiva; PA: 121 x 78 mmHg, FC: 112 bpm, FR: 20 ipm; SatO2: 96% e T: 38,4 ºC; escala de Glasgow: 12, mas sem déficit neurológico focal; fundo de olho sem papiledema; pele: sem lesões. A principal hipótese diagnóstica é
Provas
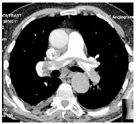
Considere a angiotomografia de tórax com contraste a seguir.

Constitui uma complicação aguda e frequente nesse paciente:
Provas
Homem de 37 anos de idade, com histórico de grave hipertensão, relata quadro de astenia, fraqueza, perda de peso e mal-estar de início há 1 mês. Há 5 dias evolui com piora clínica, cefaleia e turvação visual. Não há febre, dor torácica ou déficit neurológico focal. Ao exame físico: desidratado (+/4+), hipocorado (+/4+); PA: 246 x 156 mmHg, FC: 92 bpm, FR: 20 ipm e SatO2 de 94%; tórax: crepitações discretas em bases. Exames séricos: hemoglobina: 10,8 g/dL, leucócitos: 12 600/mm3 e plaquetas: 92 000/mm3; ureia: 68 mg/dL, creatinina: 2,2 mg/dL; sódio: 138 mEq/L, potássio: 3,1 mEq/L.
Mais provavelmente, o diagnóstico da síndrome apresentada pelo paciente pode ser confirmado por
Provas
Constitui uma complicação frequente da hipofosfatemia grave:
Provas
Mulher de 63 anos de idade, com antecedente de infarto do miocárdio há 2 anos, apresenta quadro súbito de palpitação, tontura e mal-estar. Ao exame físico: ansiosa, agitada e sudorética; PA: 72 x 52 mmHg, FC: 165 bpm; SatO2: 82%; extremidades com má-perfusão periférica. O monitor mostra o traçado a seguir (DII).

Nesse momento, a conduta inicial correta é
Provas
Mulher de 62 anos de idade apresenta quadro de febre, vômitos, queda do estado geral e dor abdominal difusa há 2 dias. Há histórico de cirrose causada por hepatite C, escore de Child-Pugh B. Ao exame físico: PA: 92 x 56 mmHg, FC: 118 bpm, FR: 22 ipm, SatO2: 93% e afebril; abdome: com ascite, doloroso difusamente. Exames séricos: albumina sérica: 3,2 g/dL; desidrogenase lática (DHL) sérica: 189 U/L e glicemia: 89 mg/dL. A paracentese realizada mostra: células: 17 860/mm3 (neutrófilos: 77%); albumina: 2,7 g/dL, DHL: 3 360 U/L e glicose: 28 mg/dL. O diagnóstico mais provável é
Provas
Paciente apresenta quadro de dor precordial há cerca de 3 horas, em aperto, irradiada para membros superiores, associada a sudorese e náuseas. O ECG é apresentado a seguir; V1 a V6 sem alteração relevante.

Mais provavelmente, a artéria acometida é
Provas
Homem de 33 anos de idade apresenta quadro de mialgia intensa, fraqueza muscular e oligúria 1 dia após realizar uma maratona. Não há comorbidades. Ao exame físico: hemodinamicamente estável, com ausculta pulmonar normal, sem déficit neurológico focal e dor à palpação de grandes grupos musculares.
Considerando a principal hipótese diagnóstica, constitui o tratamento inicial mais eficaz:
Provas
Homem de 61 anos de idade é atendido com quadro de dor torácica anginosa e falta de ar intensa iniciada há 2 horas. Ele tem histórico de hipertensão e nega febre. Ao exame físico: confuso, sonolento, sudorético e com cianose de extremidades; PA: 195 x 105 mmHg, FC: 128 bpm, FR: 44 ipm; ausculta pulmonar com crepitações bilaterais até ápices, sendo optado por intubação orotraqueal.
A droga que, mais provavelmente, pode ser deletéria para o paciente é
Provas
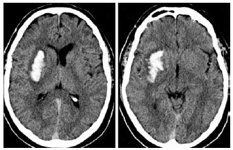
Considere a tomografia sem contraste apresentada a seguir.

O diagnóstico mais provável é
Provas
Caderno Container